您好! 请 登录 | 注册

胸外科奇事五:以为患有肺癌,结果没有肺癌却有食管癌和淋巴瘤

2021年01月18日 8190人阅读 返回文章列表

一个病人,门诊来就诊时,当地医院以为有一个较大的肺癌,认为要肺穿刺检查。如下图。箭头指示处好像是一个肺癌。

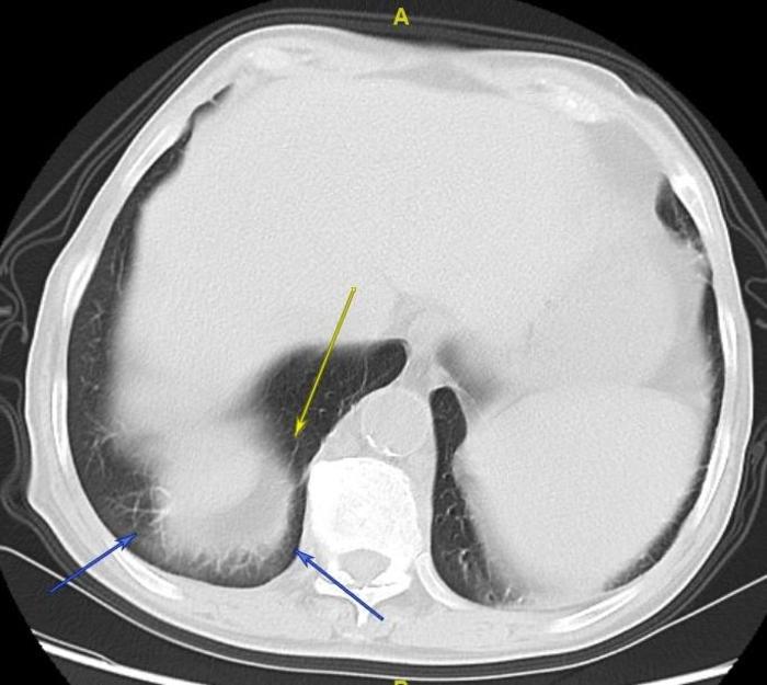
我一看,认为是肝脏的伪影,认为没有肺肿瘤。进行了薄层CT。果然,如下图,箭头指示处是肝脏形成的伪影,肝脏向右后方突起,局部狭窄。


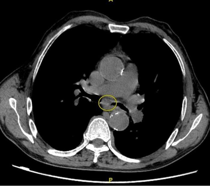
如下图,CT发现隆突下淋巴结肿大。圆圈内为隆突下淋巴结。

这个病人,没有肺癌,会不会有食管癌呢?

上图箭头指示的是食管粘膜面粗糙,小颗粒样隆起。



上图为胃镜病理,早期的原位癌。

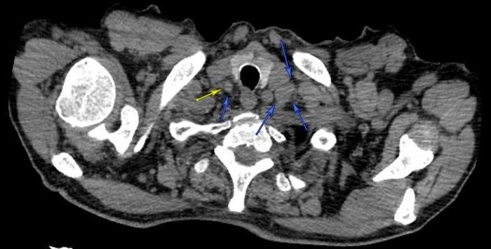
这个病人双侧锁骨上淋巴结肿大。如下图。


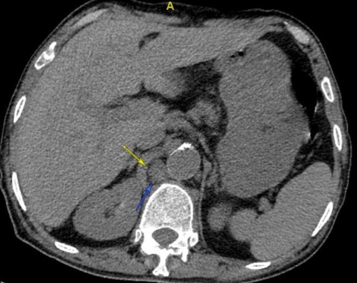
腹部的胃左淋巴结肿大,如下图。


还有腹主动脉旁淋巴结肿大,如下图。



肿大淋巴结向下蔓延到盆腔里面的淋巴结肿大,向上蔓延到下颌下淋巴结肿大。

到处都是淋巴结肿大,最后颈部几次淋巴结穿刺未能确诊。

最终病理为小B细胞淋巴瘤。如下图。

所以,这个病人因为肺癌要做肺穿刺检查就诊,最后发现没有肺癌,却同时有淋巴瘤和食管癌。是一个罕见的病人。这是一个很奇怪的病人。我把它放在胸外科奇事序列里面。






0