您好! 请 登录 | 注册

什么是PSMA检查,它在前列腺癌评估中有何价值?

2020年07月26日 11603人阅读 返回文章列表

    前列腺癌易发生局部侵犯、淋巴以及骨转移,因此前列腺癌的早期诊断以及治疗对于患者预后至关重要,基于靶病灶制定精准治疗方案是提高患者预后的有效治疗措施。

    目前常用的前列腺癌分期的检测手段包括骨扫描、CT以及MRI,但这些检查手段对于淋巴结直径在1cm 之内的肿瘤转移灶是无法检测的,而1cm 以下淋巴结转移灶在27%前列腺癌患者中存在,所以这些检查手段在检测前列腺癌转移灶,指导手术以及放射治疗的价值有限,需要更好的检测手段来定位和发现较小的转移灶。

    今天就给大家来科普一下PSMA-PET/CT以及PSMA-SPECT在临床检测上的优势作用以及应有价值。


1.什么是PSMA?

    PSMA临床上叫做 前列腺特异性膜抗原,可不要和PSA(前列腺特异性抗原)混为一谈哦,它在大多数前列腺癌细胞表面过度表达,且在低分化、转移性和雄激素非依赖型前列腺癌细胞中的表达进一步增加,因此可以在影像学手段上予以标记,并指导肿瘤位置,从而作为治疗靶点。


2.PSMA-PET/CT的应用及优势

1) PSMA-PET/CT的应用

    PSMA的细胞外活性部分(叶酸水解酶Ⅰ)可被 11 C18 F89 Zr64 Cu86 Y68 Ga等多种放射性核素标记 , 而68 Ga18 F是靶向PSMA的优良显像剂,68 Ga-PSMA18 F-PSMA具有良好的生物学分布及对PCa细胞亲和力高,进行PET/CT显像时,能够得到反映PCa病灶在体内分布的影像。

    国内目前能开展PSMA-PET/CT检查的中心较少,且基本为 68 Ga-PSMA-11 PET/CT

2) PSMA-PET/CT的优势

   PSMA-PET/CT具有更高的灵敏度、特异度及转移灶的早期检出率,可对PCa进行精准分期,在PSA 水平较低时也能够有效发现转移病灶

对于接受前列腺根治术后生化复发的前列腺癌患者,

PSMA-PETPSA 水平0.2~0.5ng/ml,对于转移灶发现率为50%~57.9%

PSA水平 0.5~1.0ng/ml,对于转移灶发现率为58.3%~72.2%

PSA水平1.0ng/ml,对于转移灶发现率为75%

 

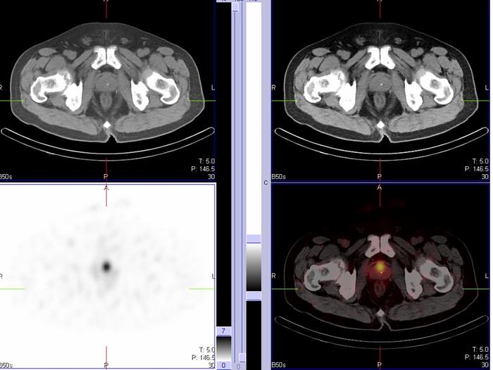
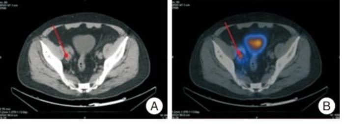
3.PSMA-SPECT/CT的应用及优势

PSMA-SPECT/CT技术是一种前列腺特异性膜抗原-单光子发射计算机断层摄影术,联合同机CT扫描图像融合技术的检查,与目前影像学检查比较,能够更好地发现前列腺癌转移灶,且精准指导靶病灶治疗,进而使患者获益。

PSMA-SPECT/CT检查也能够在PSA较低水平时精确发现盆腔淋巴结转移灶,指导手术或药物治疗及其治疗后评价,应用PSMA-SPECT/CT技术,准确率也能78%以上。更关键的是PSMA-SPECT/CT非常便宜,在上海肿瘤医院,该项检查仅1350/次,而PSMA PET-CT在上海的收费标准是7000/次。从性价比以及长期的治疗后定期随访来看PSMA-SPECT/CT的优势明显。

当很多单位都在宣传PSMA PET-CT有多好多准确之时,作为医生,我思考更多的是,罹患大病的病人,已经在医疗重压之下,怎么样取得经济和医疗的平衡,我认为PSMA SPECT/CT让每一个患者负担的起,又不失准确和敏感。

所以,如果有需要PSMA检查的患友,可以和我联系,或者来我门诊进一步咨询和沟通。


0