您好! 请 登录 | 注册

换个3D打印个性化颈椎枕,好的颈椎也可以睡回来!

2019年08月16日 8397人阅读 返回文章列表

随着科学技术的进步,电脑和手机在人们的日常生活中扮演着越来越重要的角色,工作时低头看电脑,下班后低头看手机以成为大多数人的常态,这也导致越来越多的人出现颈椎曲度变直,甚至出现酸胀、疼痛乃至眩晕的症状。

2014年底,美国的Kenneth医生曾发表一篇关于低头角度与颈椎压力的文章,其中的一张图片曾被各大新闻媒体广泛引用。

我们将图中计量单位换算成千克后,正常情况、15°、30°、45°和60°时,颈椎所对应承受的重量分别为4.5-5.5kg、12kg、18kg、22kg和27kg。这样的重量可以说是“颈椎不能承受之重”,日积月累的作用之下,不加以注意必然导致颈椎自然曲度变直。

人体脊柱曲度

人体脊柱在正常情况下会存在四个生理性弯曲,又称为生理曲度,分别是颈曲、胸曲、腰曲和骶曲。颈椎、腰椎凸向前,胸椎、骶骨凸向后。

人体颈椎生理性前凸,颈椎的第4、5椎间盘前厚后薄,从而能够形成自然曲度,进而增加颈椎的弹性,在弹跳、撞击等外力作用下起到缓冲作用保护大脑。

颈椎曲度改变

颈椎自然曲度变直不仅会降低对大脑的保护作用,当颈椎曲度变直时,支配关节突关节的神经受到刺激,导致神经的水肿和纤维化,同时引起关节周围肌肉收缩。颈神经长期慢性的损伤可导致所支配颈部肌群的痉挛和纤维化,从而卡压臂丛神经或刺激交感神经,引起椎孔外神经卡压。

颈椎周围软组织和颈椎的关系犹如弓与弦,当颈部肌群发生挛缩和纤维化后,还可引起颈椎骨性结构的改变,进而导致颈髓受压,引发颈椎病。好比一把弓的弓弦丧失弹性,导致弓的结构改变甚至破坏。

颈椎曲度测量

那么怎样的颈椎曲度才算正常?我们又该如何测量颈椎曲度呢?这里向大家介绍几种常用的测量方法:

Borden氏测量法测量颈椎生理曲线的深度

这种方法是目前颈椎测量公认客观、准确的测量方法, 虽有相关文献报道存在着一些缺陷, 但目前研究仍不能找到一种经大规模基础和临床研究所证实的更行之有效的方法, Borden氏测量法在颈椎曲度测量中仍占据着不可替代的地位。

自枢椎(第二颈椎)齿突后上缘到C7椎体后下缘画一直线为A线, 沿颈椎各椎体后缘画一连线为B线, 在A、B线间最宽处的垂直横交线为C线, 即为颈椎生理曲线的深度。

C为正值时称"前凸",为颈椎正常生理弧度;C为零时称"变直",即颈椎生理弧度变直;C为负值时称"反弓",Borden氏测量法正常C值为12±5mm。

cobb角法测量法测量颈椎夹角

常采用C2-C7(第二颈椎至第七颈椎)Cobb角测量,有文献称此法较为可靠,不受放大因素的影响。

在颈椎侧位X线片, 测量C2与C7两椎体下缘延长线,再作这两条直线的垂线,取垂线相交所成锐角作为颈椎的曲度,正常角度一般为22+5°。

Harrison测量颈椎夹角

在颈椎侧位X线片,做 C2 及 C7 椎体后缘的平行线,其相交所成的锐角为颈椎角(CSA)。正常角度一般大于34°。

同时,颈椎曲度与年龄也有很大的相关性,一般随着年龄的增长而减少。对于青年来说,颈椎曲度的改善与颈部症状、体征的缓解和消失呈明显正相关;随着年龄的增大,骨质疏松、椎体增生、韧带钙化等问题日益显著,颈椎的生理应力状况改变,颈椎曲度只参与部分受力,但颈椎曲度的改善往往也能够使颈部的症状得以缓解。

颈椎枕

据估计,近四分之一的人群都会出现颈部疼痛,而糟糕的枕头设计是导致这种极高发病率的重要因素,不适当的枕托对颈椎有不良影响,导致颈部疼痛和颈源性头痛,最终导致睡眠质量差。

特别是颈椎病患者,需要根据患者颈椎病变的程度、肌肉组织损伤及血管神经的改变等,以恢复颈椎生理曲度为原则,挑选一个适合颈椎生理曲度的枕头。

这种生理曲线既保证了颈椎外在的肌肉平衡,又保持了椎管内的生理解剖状态,同时质地柔软,透气性好的,以中间低,两端高的元宝形为佳,也可以对头颈部起到相对制动与固定作用,可减少在睡眠中头颈部的异常活动。


个性化设计颈椎枕

一个颈椎枕的选择更加重要,有些颈椎枕常存在质地过软、矫正作用差的问题,没有个性化矫形规划,软材料也会导致矫正力度和矫正结果比较随缘。选择不合适的枕头大小,可能导致颈部疼痛或加重。

每个人的颈椎曲度不同,颈椎软组织情况各异,部分患者处于颈椎病的不同阶段,因此需要进行个性化3D打印颈椎枕设计,进行颈椎曲度与颈椎周围肌腱、韧带等软组织弹性的个性化矫正。

上海第九人民医院3D打印中心,通过对颈部进行光学扫描与颈椎侧位X光检查,测量颈椎曲度,由专业矫形器师结合患者的情况设计个性化颈椎枕,部分或全部3D打印工艺制作完成,矫正颈椎的生理曲度。患者适配后拍摄X光片,做到精准矫正与治疗,避免使用不适和矫枉过正。

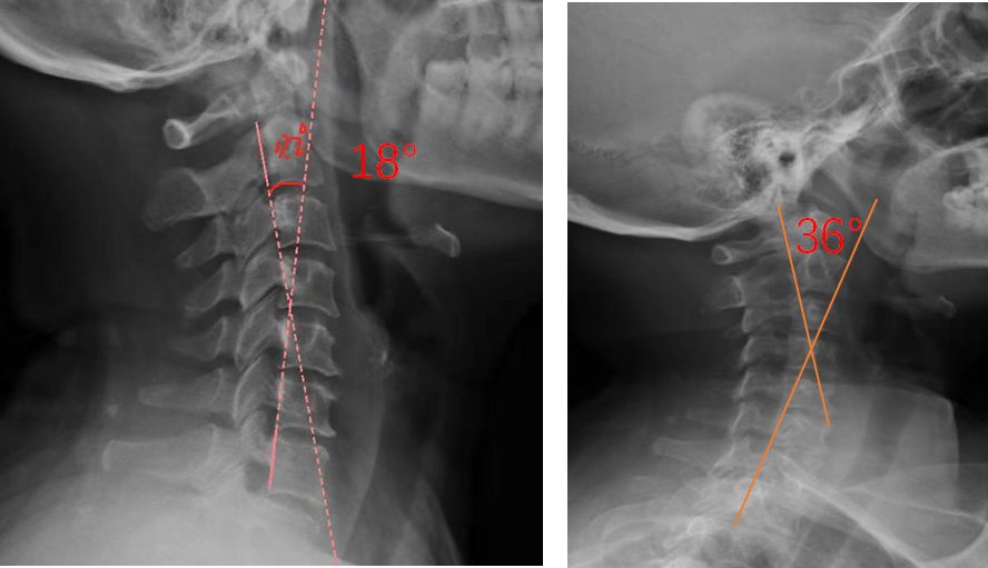
颈椎枕案例

患者适配前后侧位X光,佩戴前18°,适配后36°

对于颈椎病患者,合理设计的颈椎枕,能够紧密适合颈椎,矫正颈椎生理曲度;再根据颈椎曲度改善情况,随时间慢慢调整3D打印颈椎枕曲度,使变直的颈椎逐渐形成正常的生理曲度,改善颈肩痛的症状

使驾车、打电脑等低头工作生活一天的人们,在睡眠之中通过个性化3D打印颈椎枕的使用,解除颈椎肌肉、韧带的疲劳,逐渐改善颈椎曲度,提高睡眠质量。


1