您好! 请 登录 | 注册

儿童颈部最常见的占位-甲状舌骨囊肿

2023年01月07日 43人阅读 返回文章列表

甲状舌管囊肿
1.胚胎学与发病机制
甲状舌管囊肿(Thyroglossalductcyst,TGDC)是甲状腺发育过程中产生的畸形,在胚胎第3周,甲状腺始基开始下降,形成一条与始基相连的细管,叫甲状舌管,沿颈部中线下降,直至气管的前方,末端向两侧膨大,形成甲状腺的左右两个侧叶。在正常的情况下,到胚胎第6周,甲状舌管的上皮开始萎缩退化,上端在舌根部形成一盲孔,舌盲孔与口腔相通。若发育障碍,第8周后,甲状舌管仍未闭合或退化不全,甲状舌管就可在自舌根盲孔到胸骨上切迹之间颈中线的任何部位形成囊肿。由于舌骨的发育晚于甲状舌管的形成,而且舌骨是由两侧鳃弓在中线融合而成,所以未退化的甲状舌管可在舌骨腹侧或背侧,亦可能贯穿于舌骨中。有研究显示,舌骨远端的多分支状的甲状舌管可能会在舌骨水平合并为一个单一导管,然后过了舌骨之后,可能会再次发出导管小分支。
2临床表现
TGDC是最常见的颈部肿块,发病率约7%,少数可癌变,多见于儿童和青少年,颏下或颈前正中无痛性肿块是最常见临床表现,肿块可呈圆形或者类圆形,边界清楚,表面光滑,触摸可有柔韧感,囊肿较固定,不能上下或左右推动(图1)。因与舌骨相连,故其特征性表现为肿块可随吞咽及伸舌动作而上下移动,并可能在舌骨与囊肿间触到一坚韧的索条。发生在舌根部,婴幼儿可引起呼吸喘鸣、吞咽困难和呼吸窘迫。一般发展缓慢,当有感染时,可迅速增大,但一旦感染被控制后,则迅速缩小。囊肿的头端可能有细小的导管直通盲孔,咽部细菌经盲孔入侵囊肿引起继发感染或形成脓肿,可因自行穿孔、破溃流脓或切开引流形成瘘,称甲状舌管瘘。囊内为清亮粘液或粘液胶样物质,继发感染者为脓性分泌物。
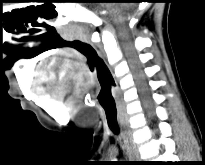
1.3CT影像特征性表现
颈前中线或稍偏侧自舌盲孔到甲状腺径路上的任何位置的类圆形或者圆形囊性肿块,低密度、边界清楚、壁薄的囊性肿块,与舌骨相连(图2)。如伴感染或者出血,密度可增高,囊壁可增厚呈不均匀强化。
1.4病理
病灶多有完整的包膜,囊壁可衬有假覆层纤毛柱状上皮、复层鳞状上皮等上皮细胞,上皮内有丰富的淋巴组织,合并感染可有炎性细胞,囊壁或瘘管为结缔组织构成,囊壁可有甲状腺组织,囊内容物多为无色黏液样、胶冻样物质,其内有含蛋白质或胆固醇等。
1.5治疗进展
手术是首选的治疗方式,Sistrunk术式为治疗TGDC的标准化手术方式,即完整摘除囊肿的同时,切除舌骨中段,向上游离舌骨舌肌,将其与肿物一并切除,烧灼舌骨舌肌残端,确保完整切除甲状舌管的细小分支(图3)。

术前可见颈部中线肿块,可随吞咽及伸舌动作而上下移动。
囊性低密度肿块(白色箭头),大小约2.1*3.1*1.6cm,边缘光滑、边界清、与舌骨(黑色箭头)关系密切。
行Sistrunk术式:术中见囊肿连接舌骨,切除舌骨中段(白色箭头),烧灼舌骨舌肌残端。

0