您好! 请 登录 | 注册

“天上”真的会掉石头砸着“脑袋”吗?

2022年10月26日 706人阅读 返回文章列表

“天上”真的会掉石头砸着“脑袋”吗?
下面我们先看个故事:
河南59岁男性患者,不喝酒不吸烟,没有“三高”(高血压、糖尿病和高血脂),没有房颤和血管夹层,生活惬意……
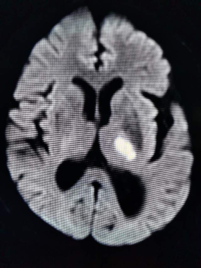
最近,老王突发右侧肢体活动障碍和言语不清,患者和家属都感觉有点离谱,立即送往医院,外院检查发现左侧侧脑室旁可见新鲜“脑梗塞”,血管似乎也可以,没啥明显的异常,保守治疗后无缓解。

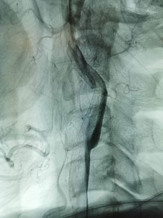
进一步行DSA检查后发现:左侧颈内动脉起始部有一个颈动脉蹼。这个血管内的“蹼”,是一个薄片状的结构,类似掌部的“蹼”,它会在颈内动脉起始部产生“扰流效应”,瘀滞的血流存在栓子形成和脱落的风险………,冲散的栓子可以“天女散花”,也可以“天上掉下石头”,这不,这位兄弟就被掉下的石头砸到颅内的功能区了,手脚语言都砸坏了。

向家属讲明来龙去脉之后,家属和患者本人积极寻求进一步的治疗。于是限期给予病变简单外科干预,消除了潜在的风险,远端的有效血流也相对增加了(有利于功能恢复),再也不用担心“天上”掉石头下来砸着“脑袋”了。

术后患者的右侧肢体肌力有所改善,讲话明显清晰,语速尚慢,相信经过康复,会慢慢好起来~~~

1