复杂颈椎病的前路微创手术
2022年03月16日 7938人阅读 返回文章列表
患者颈部疼痛,上肢酸痛麻木,行走不稳,经过颈椎磁共振+颈椎CT检查,颈6-7椎间盘脱出导致椎管狭窄,颈5-6层面后纵韧带骨化及大量骨赘,均采用前路单间隙减压微创术式,避免了椎体切除,术中出血少、手术时间短、术后三天出院,不适症状完全消失!磁共振显示颈6-7椎间盘脱出占满整个椎管空间,脊髓完全受压
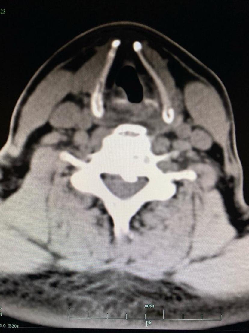
CT显示颈5-6层面后纵韧带骨化及大量骨赘
CT平扫显示压迫脊髓的骨化物
脱出的椎间盘及骨化物全部去除,术中出血共30ml
采用颈前路微创手术致压物完全去除,位置良好,术后不适症状完全消失,三天康复出院
浙公网安备
33010902000463号