您好! 请 登录 | 注册

痔疮?直肠癌?原来元凶还有他——骶前肿瘤

2020年10月15日 8158人阅读 返回文章列表

B超盆腔低回声?MR考虑细胞神经瘤?直肠指检触及巨大肿物?让余先生担忧不已的元凶到底是什么?


一团疑云

一团疑云 是此是彼?


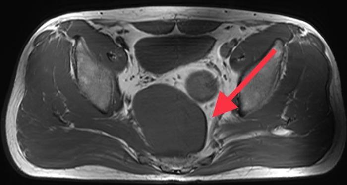
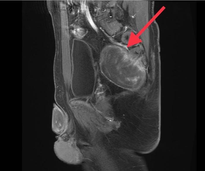
近日,余先生行色匆匆地来到同济大学附属东方医院胃肠肛肠外科傅传刚教授特需就诊,他自述自己既没有排便习惯的改变,身体也没有其它不舒服,但就是10天前在外院做B超检查时发现盆腔低回声,此外MR检查提示骶前直肠后可见一等T1,混T2回声,大小50*72*91mm肿物,结肠镜提示可见腔外压迫。余先生为此感到焦虑,难道自己得的是癌症?还是什么其他的疾病?他思虑万千,恳求傅传刚教授一定要帮他查出自己到底患了什么疾病!


解疑答惑

解惑答疑 寻找真相


傅传刚教授给余先生安排进行了详细查体和辅助检测。查体发现肛门外形正常,直肠指诊后壁齿线上约3cm向上可触及巨大肿物下缘,粘膜完整。盆腔(MRI增强)显示盆底占位,考虑神经源性肿瘤可能。


影像照片


傅传刚教授结合余先生的病史、症状、体征、MR等,诊断明确,傅传刚教授和周主青教授于2020.09.14共同实施腹腔镜骶前肿瘤切除术


进行手术

进行手术 拔除元凶


麻醉成功后,取截石位,常规消毒铺巾。经脐孔上切口置入12mm Trocar 1只导入腹腔镜,下腹部广泛粘连。骶前肿瘤约12*10*10cm。边界清楚,质韧,远端后壁与骶前筋膜粘连。探查见肝脏、脾脏等其他脏器未及明显异常。于左右锁骨中线处脐水平、左右下腹部各做小切口,置入5mm Trocar 3只,右下腹切口置入12mm Trocar一只。超声刀分解粘连,超声刀游离阑尾系膜至根部,距离根部0.5cm切断结扎阑尾并离断,取出标本,残端荷包包埋。切开乙状结肠右侧系膜,分离结肠后间隙,锐性切开直肠右侧系膜向下分离至肛提肌,显露两侧输尿管,并予以保护,避免损伤。沿直肠后间隙锐性向下分离直肠系膜至肛提肌处。显露肿块,沿肿块包膜解剖分离肿块周围间隙,显露并保护双侧腹下神经。终于,历经3个多小时,傅传刚教授将整个大的囊肿成功连根拔除。


术中标本


手术成功

手术成功 解除痛苦




术后第一天查房时,傅传刚教授表示余先生手术非常成功,如果没有3D腹腔镜没有能量外科,像这样的患者大出血的可能性很大,如果右侧动脉出血的话,切除整个骶骨会对周围神经造成损伤,直肠再造口可能,由于现在先进的3D腹腔镜医疗技术再结合我们术前充分充分再充分的准备,“这些原本担心的可能”在余先生身上并没有发生。伤口痊愈后,他不再为此感到烦忧,并可以正常工作生活。


科普小知识

骶前肿瘤:发生在骶骨和直肠间隙的肿瘤,也称直肠后肿瘤,是一种组织来源多样的少见肿瘤。骶前肿瘤通常缺乏典型的临床症状。可能出现的症状主要表现为肛门坠胀、排便困难或充溢性大便失禁、腰骶部胀痛或下肢疼痛、反复发作的肛瘘或脓肿;脑脊膜前膨出可有体位性头痛;巨大肿瘤可以导致肠梗阻,也可以导致产道梗阻,导致危及生命的难产。多数病人无明显症状,或缺乏特异性症状往往不易发现,常因为CT或MRI影像学检查发现肿瘤。


“胃”您守护END“肠”久健康



0