您好! 请 登录 | 注册

今日下午,2例腹膜后肿瘤手术成功开展

2021年08月06日 8042人阅读 返回文章列表

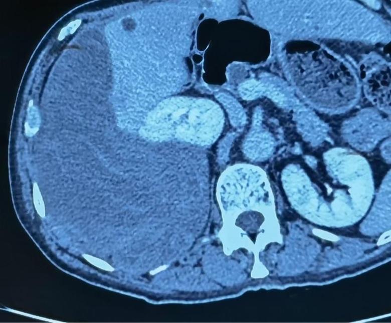
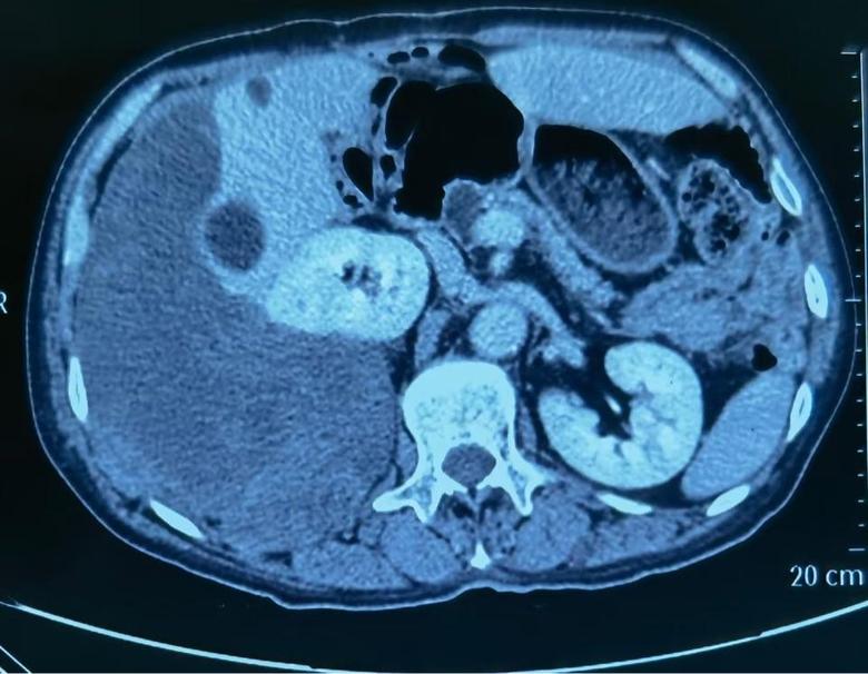
病例1



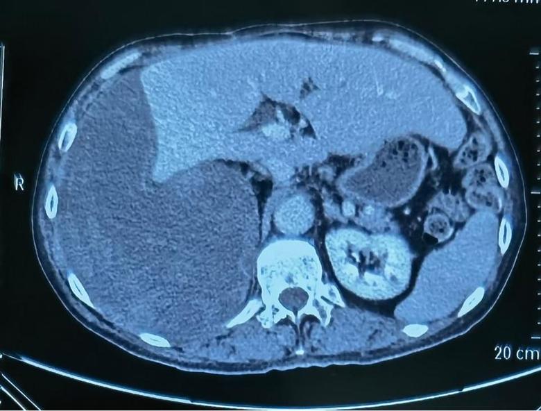
病例2

   今日下午,2例巨大腹膜后肿瘤手术在我科顺利开展,腹膜后肿瘤发病率低,手术难度大,手术风险大,国内开展相关手术单位为数不多,我院腹膜后肿瘤手术量连续数年位居国内前列,在腹膜后肿瘤领域团队具有丰富经验,巨大腹膜后肿瘤手术开展,表明该类手术在我院已经成为常态。并且将继续保持国内在领先水平。

1