您好! 请 登录 | 注册

多发肺结节,肺癌转移了?

2020年10月26日 8566人阅读 返回文章列表

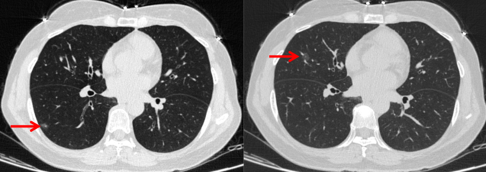
       不少患者做完CT发现自己的肺上不仅有结节,还有好几个结节,听到这个消息,心不禁一下子提到了嗓子眼,那么这种多个肺结节是不是转移呢?
 
       多发性的肺结节指的是两个或更多≤3cm的肺部类圆形阴影,其中长的最大我们一般叫他主病灶,其他的就是次病灶。对于多发肺结节评估一般比较复杂,我们一般要每个结节都仔细的进行评估检查,现在的研究提示多个肺结节大多是多原发的,也就是指每个肺结节相互独立的产生,但是也有很少一部分是肺内转移形成的。
 
       那么,怎么排除多发肺结节有远处转移呢?除了结合患者的临床信息,CT特征,往往还会建议患者做PET-CT以及头颅MRI等检查来排除转移的可能性,除此之外,肺部感染也会出现多发肺结节的。
 
       如果您有任何问题及想法,欢迎评论区留言,我们会定期选取优质问题进行科普,希望对您有所帮助。欲持续获取科普信息,欢迎关注与转发,科普不易,感谢支持!

1