您好! 请 登录 | 注册

破裂的大脑中动脉动脉瘤二期支架植入

2022年02月18日 7808人阅读 返回文章列表

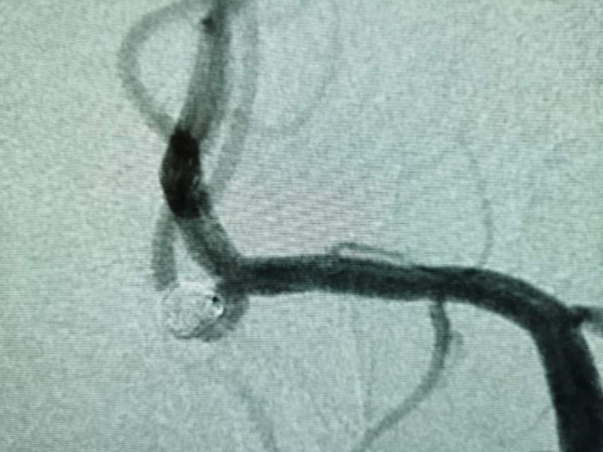
患者,中年男性,颅内动脉瘤破裂出血,急性期给予单纯弹簧圈大部致密栓塞(瘤颈少许残留),降低了急性期破裂出血的风险,急性期免除了使用抗血小板的顾虑和担心(如果使用支架),为了预防远期的复发,二期植入支架,就会安全多了

0