您好! 请 登录 | 注册

罕见的巨大脾动脉瘤的弹簧圈栓塞术

2022年01月15日 8081人阅读 返回文章列表

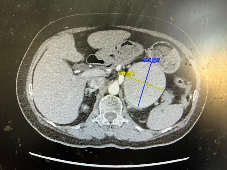
老年女性,做胆囊手术前发现脾动脉巨大动脉瘤,最大直径为8cm~7cm,转入我科急诊处理。

局麻微创行脾动脉瘤弹簧圈栓塞术,手术顺利,费时1小时,危机解除,患者卧床24小时后,顺利出院。

0