您好! 请 登录 | 注册

精准微创治疗垂体瘤卒中一例—肿瘤医院脑脊柱外科

2019年07月15日 8028人阅读 返回文章列表

青年男性,因头痛伴视物模糊前来就诊,在仔细问诊过程中发现该患者伴有男性功能异常。

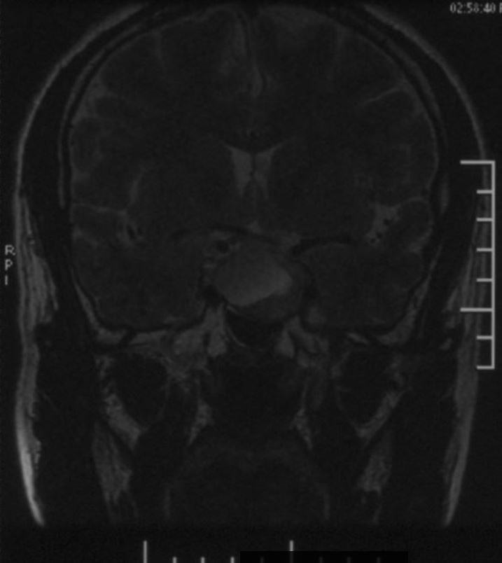
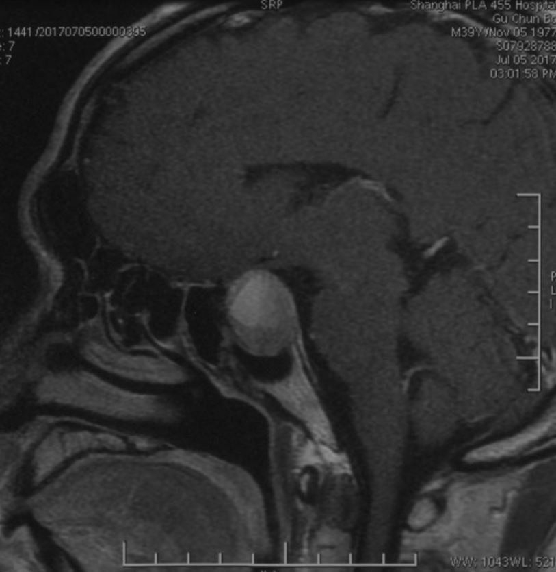
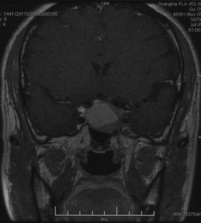
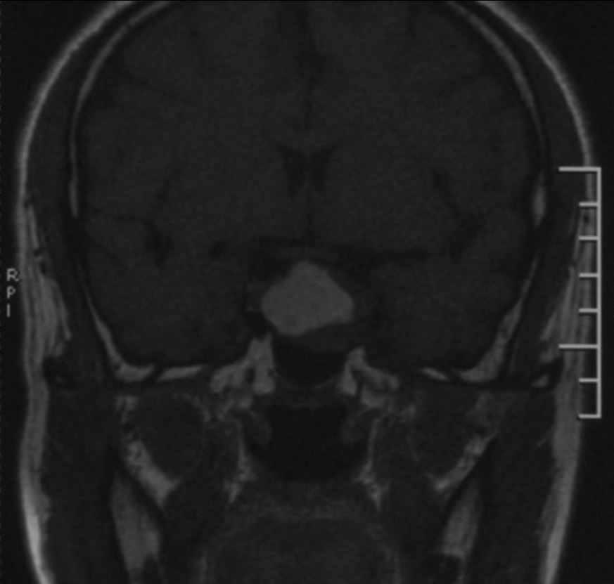
鞍区磁共振检查发现:鞍区肿瘤卒中可能,肿瘤侵犯双侧海绵窦、颈内动脉,鞍隔被顶起,鞍底部分塌陷。复旦大学附属肿瘤医院神经外科高阳

TIWI像

T2WI像

冠状位增强

矢状位增强

术前激素检查:泌乳素(PRL)>4200 mIU/L (正常:72-407mIU/L),无垂体功能低下表现。泌乳素升高见于女性产后哺乳期,本例男性患者PRL异常升高,显然不正常。

我们采用精准微创的经蝶手术入路,切除垂体瘤卒中。

手术顺利,术后第一天复查泌乳素下降到正常范围较低水平。

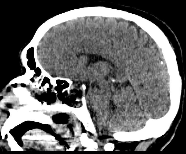
术后即刻CT:术区干净,肿瘤及出血完全切除

术后患者无脑脊液鼻漏,无发热,美观保留,术后第四天自主下床活动,术后第5天自主步行出院。

对于垂体瘤卒中的患者,手术指正明确,要及时治疗,以免病情进一步发展导致生活受影响、视力视野障碍加重、垂体功能低下等严重结果。

当前浏览器不支持播放视频,建议使用火狐或者谷歌浏览器

0