您好! 请 登录 | 注册

巨大骶管囊肿合并神经根内疝的微创手术

2023年03月15日 24人阅读 返回文章列表

患者中年男性,因骶尾部、右侧臀部、下肢酸痛1年,加重1月来诊,在当地医院检查发现巨大骶管囊肿,经当地医生推荐,通过网络问诊平台,预约到南京医科大学附属江宁医院神经外科郑学胜主任门诊就诊。

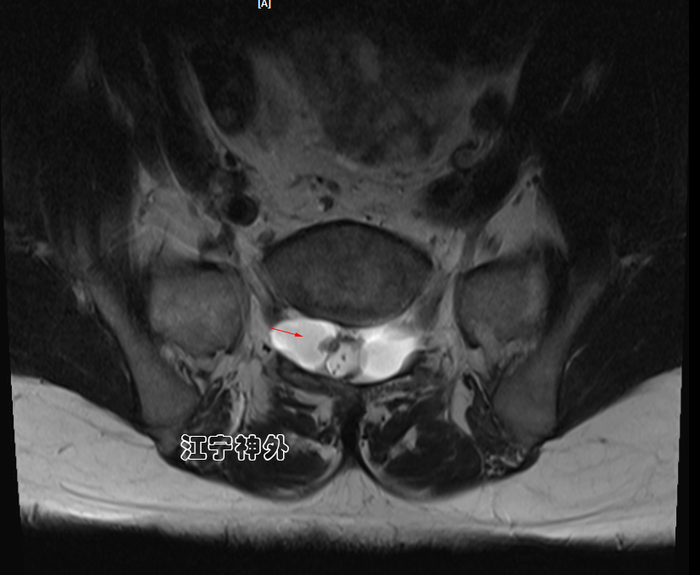
我院术前磁共振检查发现,骶1-3两个巨大骶管囊肿,其中左侧骶管囊肿更大,但症状却是在右侧。

郑主任仔细阅片发现,右侧骶管囊肿虽然比较小,但是其脑脊液漏口处(囊颈)存在一块灰色异常信号,推测可能存在神经根内疝。





另外,由于巨大骶管囊肿的长期压迫,患者的骶骨已被广泛侵蚀破坏,无论是椎体还是椎板骨质都已大量损失,很多部位已经穿通。



经过全面的术前准备,郑学胜团队于2月23日在神经电生理监测下实施骶管囊肿漏口封堵手术。

正如术前所预计的一样,我们果然发现右侧骶管囊肿的漏口很大,除了本来的穿行神经根,还有两根过路的神经根呈M形疝入漏口,并且与漏口粘连严重,形成嵌顿,这也就解释了为什么右侧骶管囊肿比较小,症状却很严重。

在神经电生理监测的护航下,郑主任沉着应对,在高倍显微镜下仔细分离神经根与漏口之间的粘连,然后将疝入的神经根复位到蛛网膜下腔,再通过显微缝合封堵了漏口,全程对神经根没有任何损伤。

术后磁共振显示双侧骶管囊肿封堵良好。并且使用钛板修补了缺损的骶管后壁,避免骶管内容物膨出。



术后患者症状很快就明显改善,两周拆线出院,疗效满意。

郑学胜主任指出,骶管囊肿本质上不是一个囊肿,而是脑脊液漏;当漏口很大的情况下,脑脊液进出的流速快,就可能将周边过路的神经根带入囊肿,形成神经根内疝,如果疝入的神经根太多,挤压在漏口处,形成嵌顿粘连,症状就会明显加重,这个原理和普外科的疝气是相似的,这种情况应及时手术解决,否则神经根可能严重损伤甚至坏死。


0