您好! 请 登录 | 注册

阳了以后,新发现的肺结节或磨玻璃结节如何处理?

2023年01月01日 6240人阅读 返回文章列表

阳了以后,新发现的肺结节或磨玻璃结节如何处理?

同济大学附属上海市肺科医院 胸外科  谢冬

近期,随着新冠感染的普遍性,很多患者阳了之后, 非常紧张,非常焦虑,害怕有大白肺,就在当地医院拍了CT,结果大白肺,没有看到,意外地发现肺上有新发结节,或新发磨玻璃结节,再到网上一查,就更加焦虑了。

其实,这波omicron感染,确实肺炎比例比想象中要高,但很多都不会是大白肺,多数表现为双肺散发磨玻璃影,当然,也有单独的磨玻璃结节,特别容易表现为混合密度磨玻璃结节。其实很多新发的磨玻璃结节都是新冠肺炎,不用过于紧张,如果感染面积不大,一般临床上,也不需要特异性治疗,休息观察就行了。

可以考虑3个月以后复查一次薄层平扫CT。


编辑

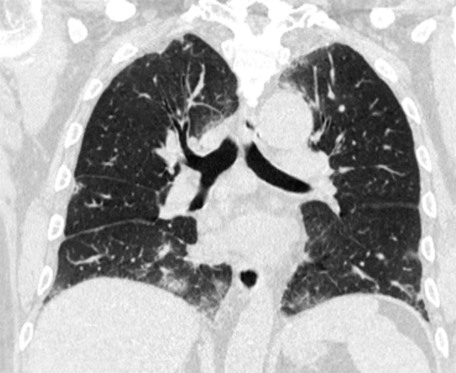
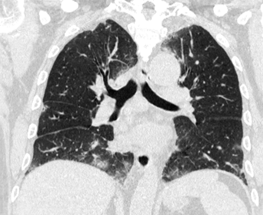
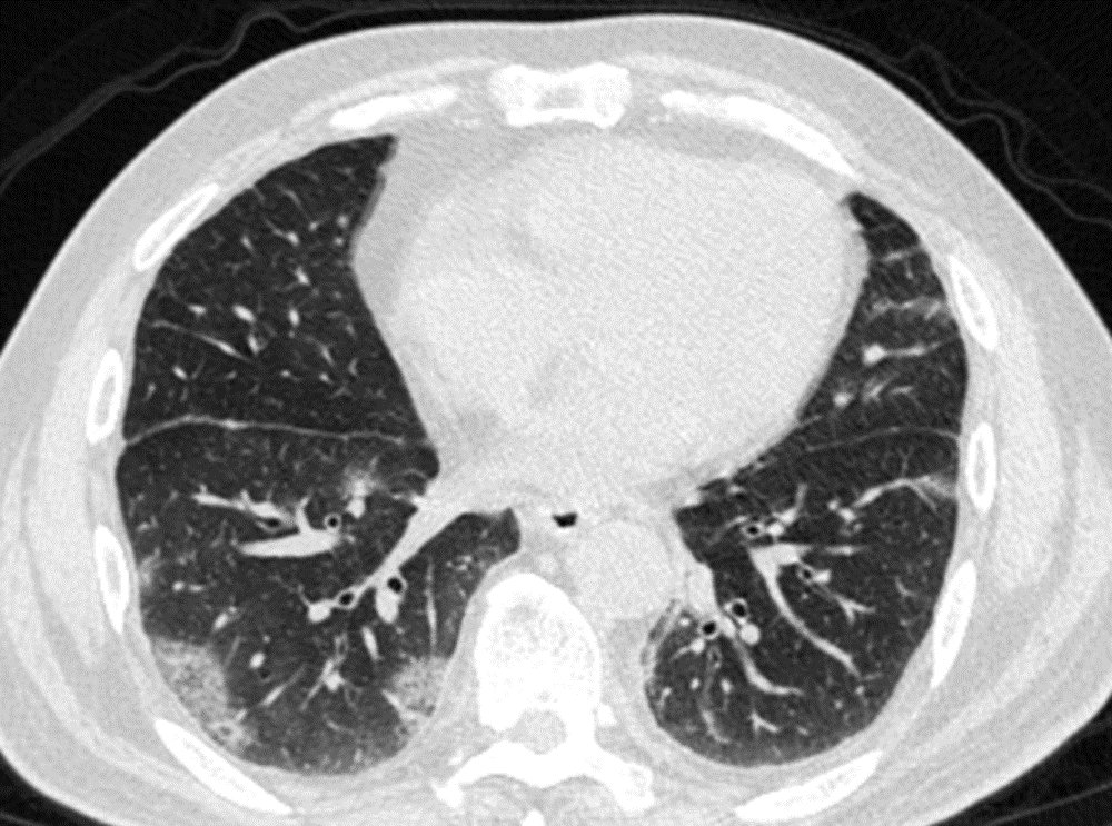
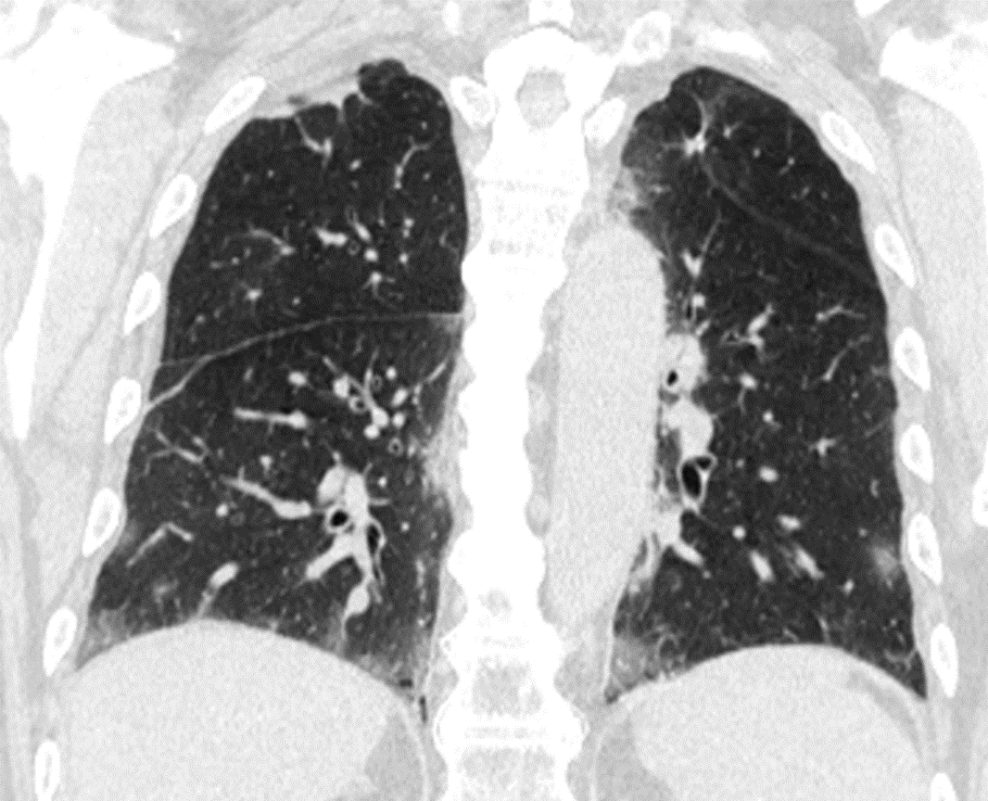
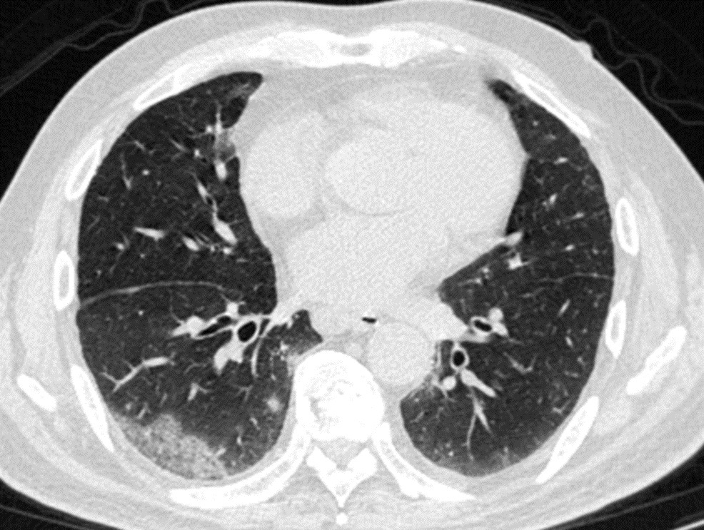
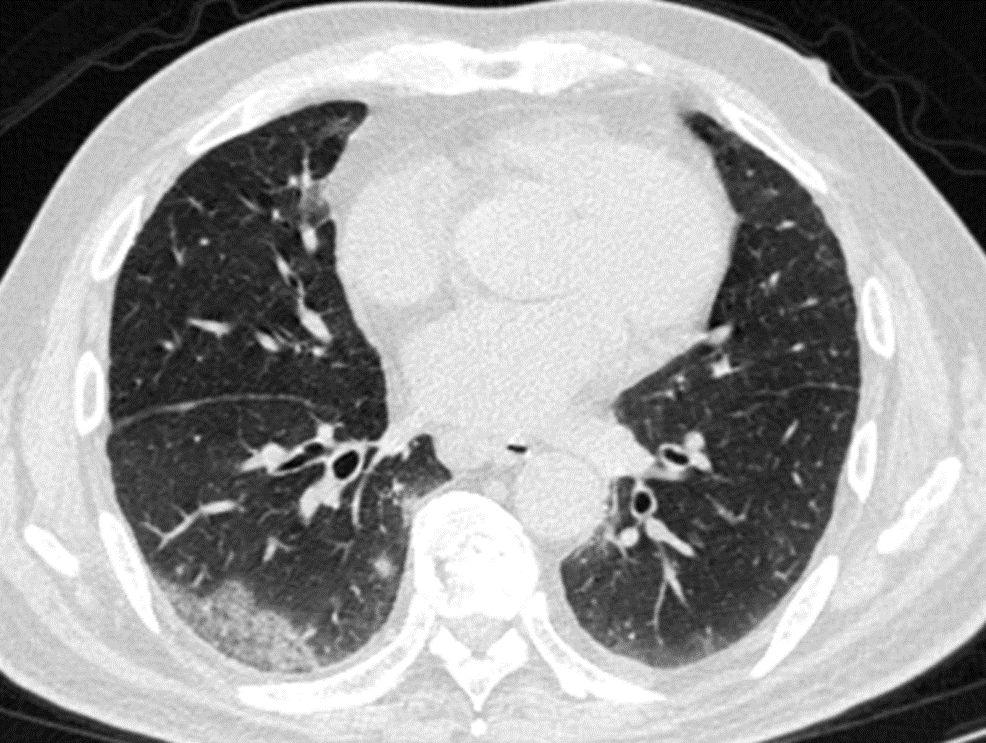
CT提示,右肺下叶多发磨玻璃影。


编辑

编辑



编辑


编辑




编辑



编辑


编辑




编辑


编辑



编辑



编辑



编辑



编辑



编辑




编辑


编辑



编辑



编辑



编辑



编辑



编辑



编辑



编辑



编辑




编辑


编辑



编辑



编辑



编辑



编辑



编辑



编辑



编辑




3