您好! 请 登录 | 注册

神经内镜下经鼻蝶微创切除脑垂体瘤一例--肿瘤医院脑脊柱外

2018年07月17日 8198人阅读 返回文章列表

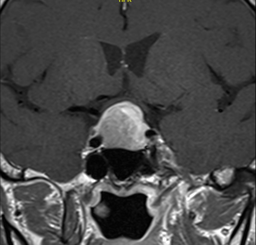
患者为63岁患者,因头痛伴有视物模糊2个月前来就诊,检查头颅MRI检查发现鞍区占位性病变,肿瘤大小2.3cm,向上生长压迫视交叉,两侧侵犯海绵窦。

T1IWI

T2WI

增强冠状位

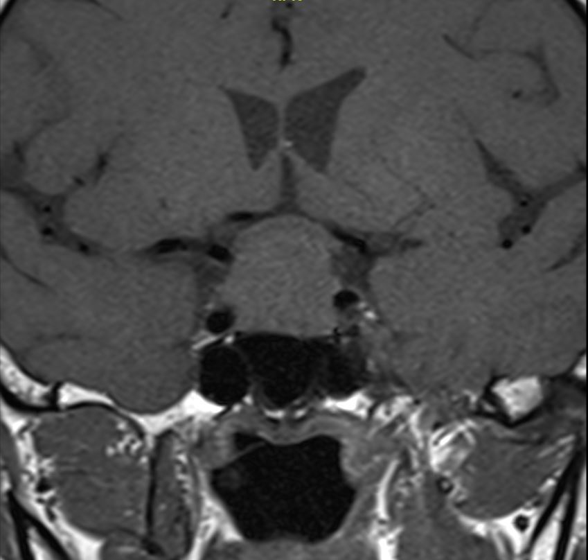
增强矢状位

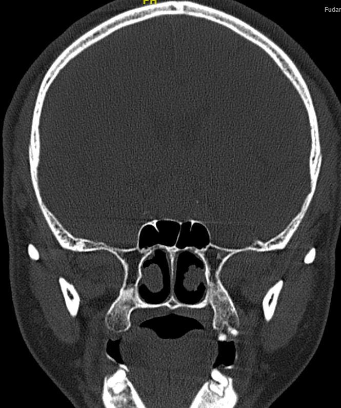
冠状位骨窗

术前激素检查结果如下:


术前考虑垂体腺瘤,拟内镜下经鼻蝶垂体腺瘤切除术。

手术顺利,手术时间3个小时,术中无脑脊液漏

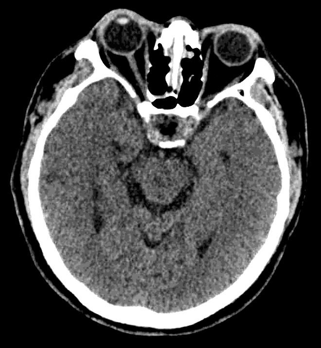
术后即可复查头颅CT示:术区干净,无出血。

术后激素复查:正常

术后复查示:肿瘤切除满意,无残留及复发。

术后病理提示:垂体腺瘤。

患者术后恢复顺利,无发热,无脑脊液鼻漏,术后6天后顺利出院。

垂体腺瘤症状多样化,头痛、头晕、视物模糊、月经紊乱、不孕、体型改变等症状出现时,及时神经外科就诊,以免耽误治疗。

0