您好! 请 登录 | 注册

一人同时患肝胆两种癌

2021年09月03日 7974人阅读 返回文章列表

专家简介:施宝民,中德双博士、博士后、主任医师、教授、博士研究生导师。现任同济大学附属同济医院普外科主任、同济医院大外科副主任。擅长普外科各种疑难杂症的诊治,尤其是肝胆胰脾良恶性肿瘤、各类胆石症、门静脉高压症的外科治疗及胃肠肝胆外科疾病的微创外科治疗。

一位77岁的老阿婆因食欲不振、虚弱乏力6个月,通过朋友介绍、慕名来到上海市同济医院找到肝胆外科施宝民教授就诊。


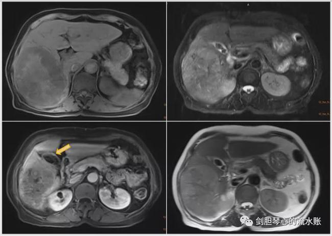
当时检查发现患者呈消瘦状态,腹部无明显阳性体征。血常规、肝肾功能正常,肿瘤标志物CEA、CA-199、CA-125正常,而肝癌的特异性指标AFP> 1210ng/mL,明显升高。腹部增强CT检查发现肝右叶有直径13cm大小的占位性病变,考虑肝癌;腹部MRI检查同时提示为肝右叶巨大肝癌、多发胆囊结石及胆囊壁局部增厚结节(如图1)。

考虑病人有肝硬化、年龄大、肿瘤巨大且推移下腔静脉明显,先做了经动脉栓塞化疗术(TACE),4周之后对侧肝增大、肿瘤的相对体积比变小以后,实施了标准的合并胆囊的右半边切除+肝门部淋巴结清扫术。术后病理证实,患者肝脏为中分化肝细胞癌,胆囊病变是具有内分泌倾向的低分化胆囊腺癌。术后顺利恢复出院。随诊2年未见复发及转移。

这种情况临床上称之为“多原发性癌”。多原发癌指同一患者同时或先后发生2个或2个以上原发性恶性肿瘤,好发于消化系统、呼吸系统和泌尿系统。根据两癌间隔时间,可以分为同时性多原发癌(两癌间隔时间≤6个月)和异时性多原发癌(两癌间隔时间﹥6个月)。本例属于同时性多原发癌。

肝癌是常见肿瘤之一,胆囊癌发病率逐年增高,但仍属于少见癌种。同时性肝癌合并胆囊癌的双原发癌则很罕见,施宝民教授团队经过文献复习,在所查到的国内外中英文杂志里,总共报道15例肝胆双原发癌(国外6例,国内9例)。

通过总结分析,将该病例情况发表于2020年的学术期刊《BMC surgery》,题目为“Synchronous hepatocellular carcinoma and gallbladder adenocarcinoma with neuroendocrine differentiation: a case report and literature review(一例同时性肝细胞癌及胆囊腺癌伴有神经内分泌分化病例报道及文献复习)”。

在报道的所有病例中,该例患者是肝脏肿瘤体积最大、胆囊癌恶性程度最高的,而生存期却是在有记录的病例中是最长的。

双原发癌发病率较低,尚缺乏大样本的研究资料。及早明确诊断非常重要,因为不同类型的癌症需要制定不同的治疗方案;癌症的多原发性其本身并不意味疾病的预后更差,生存期仍然取决于恶性程度更高的那一个肿瘤;根据每一个肿瘤的分期、病理类型以及病人的身体状况,仍然可以制定合适的治疗方案。回到此患者,肝功能无显著异常,检查亦未见周围器官浸润及远处转移,心肺功能没有不耐受手术的情况,虽然其肝脏肿瘤较大、胆囊癌恶性程度高,但结合诊疗规范予以相应的治疗方案,患者仍能取得相对良好的预后。

如何早诊早治多原发癌呢?

在诊断一个原发恶性肿瘤时,需考虑合并其他原发癌的可能性,多原发癌有时候会被误诊为一种原发肿瘤的转移,毕竟同时原发的几率比较低,如果将第二种癌诊断为转移癌,有时候会放弃根治性手术机会。该病例肝癌属于中晚期、而胆囊癌属于早期。虽然胆囊癌是低分化腺癌,一般来讲比肝癌预后更差、生存期更短,但属于早期效果就大不一样了,所以该病例按照肝癌合并胆囊癌的根治性手术,术后2年无瘤生存,效果甚至超过了单纯一种癌的情况。所以对同时性双原发癌的治疗应按单发癌、分主次和先后进行积极治疗,而对于原发恶性肿瘤远处转移者多以姑息性治疗,或者先降期治疗再评估有没有手术机会。

治疗建议:

多原发癌患者的种类较多、个体差异较大,针对此类患者,应早期及时进行多学科讨论,制定出相对最优的方案,经过积极治疗,以争取最好的疗效、使患者受益。


0