您好! 请 登录 | 注册

脊髓血管畸形的治疗

2021年08月11日 8462人阅读 返回文章列表

诊断和评估

一直保持对此类脊髓血管畸形的高度警惕,尤其是在排除退变、肿瘤及脱髓鞘性疾病后,根据临床症状及检查予以鉴别是诊断此类疾病的关键。  磁共振是诊断脊髓血管畸形的首选影像学检查方法。在磁共振上,绝大多数患者都表现为脊髓高信号,这与脊髓后表面sDAVFs相关的弥漫性静脉淤血导致的脊髓水肿有关。脊髓水肿可能是仅有的影像学特征,因而医生应该始终将硬脊膜动静脉瘘的鉴别诊断放在心中。

硬脊膜动静脉瘘一般在MRI不表现为强化,或仅表现为不均匀强化。环形强化很罕见,一旦出现,其与脊髓肿瘤的鉴别诊断很困难。

髓周动静脉瘘在磁共振上可表现为明显的迂曲血管流空影。以及由于急性/亚急性髓内出血或水肿导致的脊髓局灶性水肿。球状的流空影提示动脉瘤或静脉曲张。

尽管磁共振对于动静脉瘘的诊断至关重要,但仍无法定位瘘口的位置,因而脊髓血管造影很有必要。目前快速对比增强MRA序列和CT血管造影能够发现80%的患者瘘口所在节段。MRA能够敏感地发现造影剂第一次通过静脉的图像,从而可准确诊断或估计dAVF瘘口的位置。

大部分患者仍需行脊髓血管造影(DSA),这仍然被视为诊断脊髓动静脉瘘的金标准。而无创血管造影至少可以通过引导聚焦造影、缩短检查时间、减少射线暴露及造影剂用量和降低操作风险来起到补充作用。

数字减影脊髓血管造影不仅能够明确dAVF诊断,而且可以评估血管构筑,从而精确定位瘘口位置。这对于病变的精确定位、制定手术或介入治疗计划尤为重要。造影必须准确辨别所有供血动脉以及引流静脉,脊髓前动脉造影剂注射后的延迟性静脉回流提示静脉高压,从而增加脊髓动静脉瘘诊断的可靠性。

脊髓血管造影应评估亚当凯维奇动脉(Adamkiewicz动脉)是否显影以及椎管内静脉系统是否早显或停滞。脊髓后动脉和肋间动脉也要进行选择性地检查。髓内T2相改变和迂曲静脉的位置不一定与瘘口在同一水平。若DSA阴性需要进一步行双侧髂内动脉造影

罕见情况下,硬脊膜动静脉瘘可异常复杂,涉及多个节段的供血动脉,这些病变往往多发于颅颈交界区,会导致脑干水肿或缺血(盗血现象)。

3:图中磁共振所示图片来自一名表现为一过性下肢轻瘫症状的52岁男性。首次MRI检查除马尾部位血管扩张外未发现其它明显异常(左侧最上图,箭头)。胸部磁共振显示出硬膜内脊髓背侧血管增多(右上图)。脊髓血管造影显示L1脊膜动静脉瘘并脊髓背侧扩张的动脉化静脉(第二排;红色箭头指示瘘口,蓝色箭头指示脊髓背侧动脉化的静脉)。术中探查发现瘘口引流静脉位于脊髓背侧L1神经根入口处(第三排;神经根入口处位于吸引头尖端)。术中先行临时阻断夹阻断瘘口,双极电凝处理瘘口处引流静脉,断开动静脉间异常交通(底图),然后去除临时阻断夹,硬膜水密缝合。

4:图中所示来自一名急性轻偏瘫和复视的54岁女性患者。磁共振显示右下桥脑缺血性梗死(最上排图)。头颈部血管造影显示颈部硬脊膜动静脉瘘。供血动脉起自椎动脉C3段,静脉沿颈髓和脑干表面向头端引流。给予患者行颈部椎板切开术和硬脊膜动静脉瘘断开术。术中发现三条起源于C2神经根前方的供血动脉予以电凝切断。切断引流静脉前先采用临时阻断夹阻断静脉,电生理监测脊髓无异常神经活动改变后,在背侧神经根入口水平予以切断。患者术后轻瘫症状明显好转。6个月后随访复查MRI已经显示缺血灶未进一步扩大。

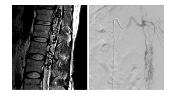
5:磁共振矢状位(左)和脊髓血管造影前后位(右)显示髓周动静脉瘘。注意到马尾区域粗大迂曲扩张的髓周血管流空影。患者行导管内栓塞治疗。由于涉及马尾区域,如采用开放手术很难全切病变。

治疗模式

硬脊膜动静脉瘘和髓周动静脉瘘的治疗都可采用显微手术离断以及血管内液体栓塞的办法治疗。显微手术由于治疗效果确切而被广泛应用,但近年来血管内治疗技术的发展使得其在动静脉瘘治疗中的适应症越来越宽。相对于某些颅内动静脉瘘难以到达,脊膜动静脉瘘一般通过显微手术都可到容易达到。

显微手术是一种很好的选择,原因是:1).  硬脊膜动静脉瘘和髓周动静脉瘘的血管直径相对较细,且走形迂曲难以进行导管的超选,造成瘘口部位难以到达;2). 动静脉瘘供血动脉一般与脊髓主要供血动脉(脊髓前动脉、脊髓后动脉,Adamkiewicz动脉)关系密切,栓塞可能会损伤这些主要脊髓供血动脉而导致脊髓缺血;3).  大多数瘘口都位于脊髓后方,手术容易到达。

手术的治疗目的是减缓或终止脊髓神经功能的进一步损害,通过栓塞或手术阻断异常交通血管(供血动脉远端或引流静脉近端),甚至直接手术去除动静脉瘘处病变血管达到治疗目的。

一旦诊断明确很少采取保守观察治疗,因为这一疾病进行性发展的概率很高。

在致残前实施早期干预可获得良好的预后。功能的恢复遵循特定的规律;运动功能首先恢复,其次是感觉,然后是肠道、膀胱和性功能。然而在进行栓塞治疗的患者中,仅有三分之二可获得运动功能的恢复,三分之一可以获得感觉功能的改善。

更少比例的患者可获得肠道、膀胱及性功能的恢复。术后症状改善后再次加重提示动静脉瘘再通(经过血管内栓塞治疗)或再次形成异常交通。

医生在选择治疗方式的时候应充分考虑病变的血管构筑和医生团队本身的治疗经验。对于I型脊髓血管畸形即背侧型硬脊膜动静脉瘘,显微手术通常是最有效和效果最持久的选择。

替代治疗

部分学者倾向于采用血管内方式来治疗硬脊膜动静脉瘘,尤其是在目前Onyx胶广泛应用的时代。这些学者把血管内栓塞治疗动静脉瘘作为第一选择,只有在栓塞无法操作或再通的患者身上才会采用手术治疗。

血管内治疗的确有其优势,其中包括微创和手术风险小,而且血管内栓塞的方法也可立即进行术后抗凝,尤其是对于围手术期即发现脊髓静脉丛血栓形成的患者,这是一个重要考虑因素。

然而,这一治疗方式同样具有误栓脊髓正常供血动脉,从而引起脊髓缺血的风险。尤其在栓塞Adamkiewicz动脉供血的脊髓节段时风险尤其大,因为其供血区域远端缺乏侧枝血管供应。

血管内栓塞治疗在用于动静脉瘘治疗时应采用液体栓塞材料。而且对于供血动脉远端有分支供应脊髓的动静脉瘘患者应设为血管内栓塞的相对禁忌症。

放射治疗也曾用于治疗动静脉瘘,但由于没有深入研究及应用,目前也不推荐期作为常规方式用于治疗动静脉瘘。

手术治疗的适应症

1.    无法进行供血动脉血管内栓塞治疗,

2.    术前已经评估认为侧枝循环丰富,栓塞治疗后再通可能性大,

3.    栓塞治疗后血管再通,

4.    脊髓中央前动脉供血的I型腹侧硬脊膜动静脉瘘,栓塞误伤中央前动脉风险大。

笔者倾向于采用显微手术处理I型动静脉瘘因为手术风险小且疗效确切同时可保留供应脊髓的侧枝血管。对于其它类型的处理取决于术者的个人经验及病变的位置和血管构筑。

脊髓髓内血管畸形的细节见于相关章节

术前考虑

手术时机目前仍有争议。然而对于破裂的动静脉瘘,则倾向于选择予以手术断开瘘口。笔者喜欢在术后检查患者神经功能的改善情况以便于确认手术的有效性。

在进行影像学诊断后,可根据患者的脊髓功能进行分类。主要对脊髓动静脉瘘的的评分系统是Aminoff-Logue评分系统。

 


Aminoff-Logue评分表

   



类别

   

   



0

   

正常

   



1

   

下肢乏力,异常的站姿或步态,但运动正常

   



2

   

活动轻度受限

   



3

   

需一根手杖、棍或其他支撑辅助行走

   



4

   

需两根手杖、棍或其他助步器

   



5

   

无法行走,限制于轮椅或床

   


 

显微手术切断硬脊膜动静脉瘘(I型)

对于大多数动静脉瘘后正中入路足可安全地暴露术野范围。笔者喜欢在不破坏侧方小关节及关节囊的情况下尽量向侧方咬除椎板增加暴露。椎板间的黄韧带要处理完全。

笔者建议可向病变上下各延伸一个节段来增加暴露以便进行临近节段的探查,这是因为部分动静脉瘘可能会累及临近神经根。在处理胸段脊髓腹侧髓周动静脉瘘时往往需要部分内侧小关节和椎弓根切除来进一步增加暴露。椎板开窗术和半椎板切开术可以作为潜在的选择方案,但笔者一般不采用。

在肥胖患者中,术中定位复杂的胸段动静脉瘘往往非常困难。对于复杂病例,笔者往往术前与脊髓造影医生仔细讨论病变血管构建及位置。术前可行病变临近椎弓根附近的畸形供血动脉超选并以可电解式弹簧圈栓塞作为标记。另外,可术前在累及的神经根相对应的椎弓根处注射X线不可透的药物以便术中在侧位下定位。

笔者建议可采用浸泡过凝血酶的明胶海绵对硬膜外出血进行压迫止血,彻底的硬膜外止血有助于为硬膜打开后的显微外科操作提供清晰干净的视野。

硬脊膜动静脉瘘通常是在通过扩大的双侧椎板切除以及硬脊膜打开后很容易识别。需要强调的是动静脉瘘本身是在神经根袖套附近的硬膜内,引流静脉往往伴随神经根向脊髓背侧走行。因此,手术需要处理的地方就是硬膜内的引流静脉(分叉之前),手术的目的是在尽可能靠近硬膜的地方夹闭或断开引流静脉。

如果有必要,可以术中行吲哚菁绿(ICG)动态血管造影来帮助确定瘘口及引流静脉的位置。

6:术中ICG动态血管造影(右上角图)显示在造影动脉期,引流静脉在其余动脉显影前已经显影。

在术前血管造影已经发现多支动脉供血或者瘘有硬膜内外累及时,直接离断或电凝瘘口非常必要,而此时术中ICG可以起到定位及确认断开的作用,具有重要意义。

  术中需要常规应用术中的运动及感觉诱发电位,当临时阻断动静脉瘘时,如果脊髓诱发电位显示脊髓功能出现障碍,可立即将阻断夹去除以避免脊髓损伤,这一操作在处理髓周动静脉瘘时尤其重要。

阻断瘘口会使动脉化的引流静脉由红色变为蓝紫色。术中可用荧光血管造影来确认是否成功阻断(ICG或荧光素)

脊髓背侧的迂曲的引流静脉会在成功阻断后萎陷。术中避免分离这些背侧引流静脉以避免脊髓损伤。

术中需仔细检查硬膜内侧瘘(神经袖套)附近的小供血动脉,笔者往往会阻断小硬膜穿支供血动脉。

7:术中的血管荧光造影可用以确认硬脊膜动静脉瘘的成功断开。阻断后脊髓圆锥背侧迂曲的引流静脉在动脉期不显影(黑色箭头),而离端后的动脉化的引流静脉(蓝色箭头)变成蓝紫色。

如硬膜切开后未发现明显动脉化的引流静脉,笔者会检查术前所怀疑的神经根四周,如仍无法发现,则可行侧位X光以确认暴露节段是否正确。正如上述所提及,术中荧光血管造影可用来检查附近 静脉的早期显影。

髓周动静脉瘘的显微外科切除

髓周动静脉瘘或畸形即使在硬膜切开后也不易识别,切断齿状韧带并进一步采用缝线牵拉旋转脊髓/圆锥会暴露腹侧或侧方的病变以及前方供血的血管畸形。脊髓的轻微旋转需要在神经电生理监测下进行。

在分离操作中,断开供血动脉前避免损伤瘘口附近扩张的引流静脉。当近端马尾被血管畸形或瘘所累及时,全切病变往往十分困难。在这些病变中,将病变去动脉化以及电凝萎缩引流静脉即可(原位闭塞技术)。

当处理脊髓前方或后方单支动脉供血的动静脉瘘时,可用临时阻断夹阻断可疑的供血动脉和瘘口,用术中荧光造影来进一步确认。伴行的正常脊髓血管也可同时进行评估,而电生理监测用来常规监测脊髓功能的完整性。

当确认瘘口阻断后,近端的引流静脉予以电凝并切断后移除临时阻断夹,硬膜水密缝合。具有脊髓或神经压迫效应的扩张静脉可用双极电凝来进一步萎陷或直接软膜外切除。

显微外科切除硬膜外动静脉瘘

硬膜外动静脉瘘往往是高流量的血管病变,手术风险相对较大。这些病变需要彻底的离端和切除而非仅电凝髓周静脉,否则瘘将靠硬膜外动脉化的静脉丛继续存在。

术前栓塞可减少术中出血。手术的具体方案制定取决于病变的范围和位置。

体节性或青少年型脊髓血管畸形

这种病变的处理原则是进行稳定病变和症状的姑息手术。建议行分期行血管内部分栓塞,以缩小病变体积、减轻静脉瘀血、降低血流和减少栓塞相关动脉瘤的发生。除非术前评估风险不大,一般不采取开放手术。

球型动静脉畸形

此类II型动静脉畸形是由多条源于脊髓前或后动脉供血的引流入髓内静脉的髓内病变。这些病变为髓内动静脉畸形,将会在脊髓髓内血管畸形章讨论。

闭合切口

硬脊膜要水密缝合。在硬脊膜有缺损的情况下要采用硬膜成形术来进行修补。

术后考虑

术后患者进入ICU病房过夜进行密切观察。术后应该逐渐减少激素的应用。术后脊髓血管造影用以确认脊髓动静脉畸形瘘管成功断开。

患者应在术后24小时内平躺,病头可逐渐抬高。这一操作可降低CSF漏的风险。

影像学随访包括术后13510年的脊髓血管造影,如症状复发需尽早复查。

点睛之笔

l   硬脊膜动静脉瘘是由不同亚型的血管畸形组成,它们具有相似的血管病理解剖学,即神经根动脉和静脉之间的异常连接。

l   推荐在严重神经功能障碍发生前进行早期干预。

l   充分了解脊髓动静脉瘘的血管构筑对有效离断瘘口非常必要

Contributors: Benjamin K. Hendricks, MD, and Marcus André Acioly, MD



0