您好! 请 登录 | 注册

科普堂——听神经瘤

2019年07月15日 8326人阅读 返回文章列表

简介:

听神经瘤是指起源于听神经鞘的肿瘤,为良性肿瘤,确切的称谓应是听神经鞘瘤听神经瘤极少真正发自听神经,而多来自前庭上神经,其次为前庭下神经,一般为单侧,两侧同时发生者较少复旦大学附属肿瘤医院神经外科高阳

听神经瘤是常见颅内肿瘤之一,占颅内肿瘤的8%11%,占桥小脑角肿瘤的7595%。多见于成年人,高峰在3050岁,15岁以下和65岁以上少见,无性别差异。左、右发生率相仿,偶见双侧性。临床以桥小脑角综合征和颅内压增高征为主要表现。

解剖:

听神经包括前庭神经和耳蜗神经,与面神经共同走行于内听道中。周围毗邻小脑、脑干、颅神经。

临床症状:

  • 耳鸣或发作性眩晕,一侧听力进行性减退至失聪。

  • 进食呛咳,声嘶,咽反射消失或减退,同侧角膜反射减退或消失,面瘫等。

  • 走路不稳,眼球水平震颤,肢体运动共济功能失调。

  • 头痛,呕吐,视乳头水肿。

检查:

头颅增强MRI、头颅骨窗CT、听力检测、前庭功能试验(冷热水试验、前庭神经直流电刺激试验)、脑干听觉诱发电位(BAEP)、面神经功能试验、听觉脑干反应(ABR)等。

治疗:

  • 首选手术治疗:显微镜下或者内镜辅助尽可能安全、彻底地切除肿瘤,避免周围组织的损伤。手术入路主要有:乙状窦后入路、经中颅窝入路、经迷路入路。

  • 放射治疗:立体定向放射治疗(γ-刀、X-),可以用于肿瘤体积较小(<2cm)、术后残余复发或者身体条件差不能手术者。

  • 药物治疗:药物治疗还处于探索阶段。分子生物学发现merline在神经鞘瘤发生发展的重要作用以及可干扰靶点提供一定的治疗手段。例如贝伐株单抗、PTC299、曲妥株单抗、厄洛替尼、拉帕替尼等。

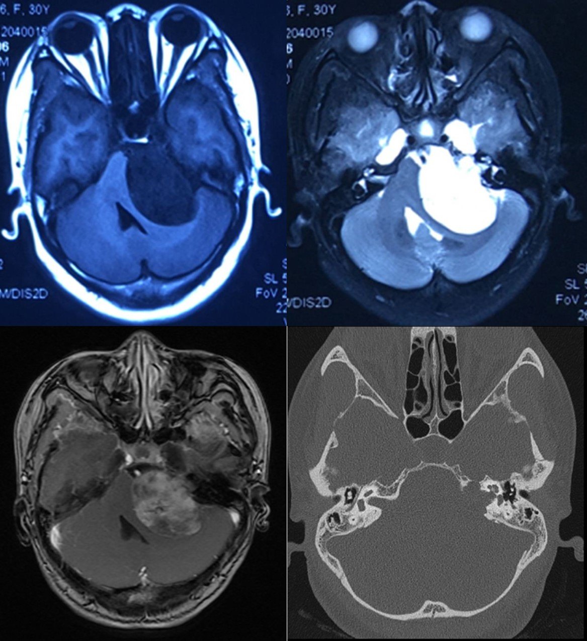
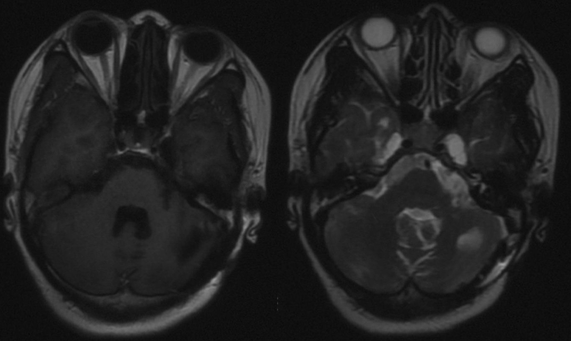
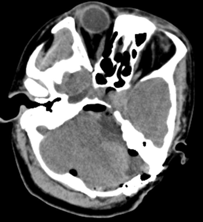
病例:女,30岁,因眩晕、进食呛咳伴一侧听力进行性下降入院。

头颅MRI示:左侧桥脑小脑角占位性病变,短T1长T2,不均匀强化,脑干、小脑及四脑室受压明显。CT显示左侧内听道扩大。

手术:乙状窦后入路听神经瘤切除术

术后患者恢复顺利,面神经完整保留

术后即刻头颅CT检查

术后随访头颅MRI。

当前浏览器不支持播放视频,建议使用火狐或者谷歌浏览器

0