您好! 请 登录 | 注册

在后疫情后卒中时代,对于所谓的“后遗症”,除了康复,我们还能干点啥?

2022年12月09日 461人阅读 返回文章列表

今日话题:在后疫情后卒中时代,对于所谓的“后遗症”,除了康复,我们还能干点啥?
老年男性,3个月前考虑“脑梗塞”出现“听力下降和走路不稳”,错过了溶栓,也不可能取栓,因为后面进一步完善的动脉血管检查也还行,后面就在外进行抗血小板、针灸和中药治疗,治疗了将近3个月,也没啥效果。老人家走路还是不稳,听力也一天不如一天,家人要大声说话才能勉强交流,也不知道老人家听到还是没听到,女儿甚至都买了助听器来给老人家改善听力了……。毕竟,“走路不稳和听力下降”是严重影响生活质量的事情………。女儿焦急万分,多方打听,经医生推荐,来到我科脑血管病特需门诊,检查发现:梗塞也只是些散在的梗塞、动脉血管也是好的,这“听力下降和走路不稳”确实好像与脑血管没啥关系哈~~~。如果简单的用“脑梗塞后遗症、小穿支事件、脱髓鞘病变、脑萎缩”等等来处理,继续保守和康复,似乎也说的通。但是,老人家的症状还可能会好吗?会不会有潜在的问题还没有发现呢?
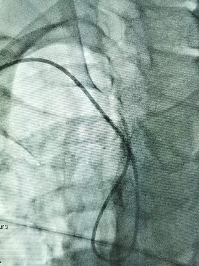
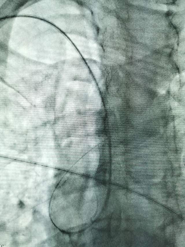
鉴于老人家体质虚弱,走路不方便,疫情期间,家人又不方便陪同,我们采用最微创的远侧桡动脉入路为老人家做了进一步检查,血管真的很扭哈,老人家也听不清楚,检查期间动来动去的,结果发现:下水道(深浅静脉系统有血栓堵塞)不通畅哦,次日给予了药物调整。治疗3天后,老人家听力明显改善,可以和医生自由交流,下床走路也如履平地,完全换了一个人哈~~~
虽然到了后疫情时代,小女儿还是没能有机会陪伴老人家住院。今天小女儿来接老人家出院回家了。一到家,就给我们发来了一段文字如下:“我观察了一下我父亲,走路来说脚步是稳定的,不是踩空的那种样子,听力比入院的时候好了很多,一般音量基本能听见了”~~~,相信老人家后面会越来越好的………
看来,有些似是而非解释不清的症状,有些所谓的“后遗症”,仔细找找原因,还是可以治疗的哦~~~

1