您好! 请 登录 | 注册

3D打印矫形鞋垫治疗青少年下肢不等长导致的脊柱侧弯案例分享

2021年03月22日 8257人阅读 返回文章列表

  下肢不等长(leg length discrepancy,LLD)也称“长短腿”,是常见的骨科疾病,形成原因有先天发育畸形、先天关节畸形、骨关节感染、创伤、骨肿瘤、脊髓灰质炎后遗症等所致,但是,也有一些病人病因不明,属于特发性。“长短腿”不仅直接影响步态的异常,长此以往,还容易继发骨盆倾斜、脊柱侧弯、腰痛、关节过度磨损、患侧肢体肌肉骨骼发育不对称等问题。

长短腿的治疗方法需根据具体病因与差异程度进行选择,临床可以常规完善双下肢负重位X片检查,通过测量判断长短腿的程度及原因。如果下肢没有明显的发育异常,可选择配制矫形鞋垫和足跟垫;尤其青少年时期,对于下肢不等长的治疗采用保守方案:如补高鞋垫,以纠正身体平衡为主,预防和矫正可能出现的骨盆倾斜和脊柱侧弯。



案例分享


初诊:


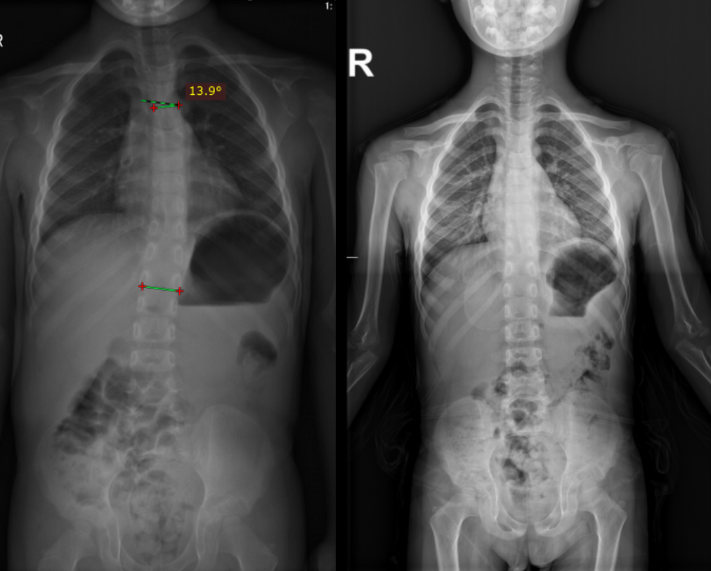
患者男,7岁,家族遗传性骨骼发育不良,体态姿势不正遂至本院就诊。2020年8月拍摄脊柱全长X线片,显示双下肢不等长、双髋关节、脊柱畸形,骨盆倾斜并引起脊柱侧弯,影像检查显示Cobb角胸弯13.9°。 


矫形鞋垫


根据患者的年龄与发育情况分析定制3D打印个性化矫形鞋垫,通过三维扫描与计算机辅助设计与3D打印技术结合。根据下肢力线和骨盆影响给予矫形鞋垫右脚补高,恢复骨盆平衡,预防脊柱侧弯进一步发展并进行随访观察。


复查


2021年2月,矫形鞋垫佩戴6个月后至医院复查,再次拍摄脊柱全长与下肢力线片,显示脊柱恢复正常生理曲线,治疗效果较好。根据患者的复查和身体生长状况,为其重新制作矫形鞋垫。


总结


有研究表明,无论是结构性的还是功能性的长短腿、足内外翻等下肢生物力学异常均会影响到骨盆的位置[1-2]。骨盆的异常会导致脊柱发生侧弯。对AIS患者的治疗不应仅从躯干等单一方面出发,应考虑躯干、骨盆、下肢等的异常生物力学,打破脊柱侧弯患者骨骼肌肉系统原有的异常模式而阻止侧弯进一步恶化。 

上海九院3D打印中心通过三维扫描、足底压力测试结合3D打印技术,将3D打印优势充分的运用到扁平足、长短腿等患者的个性化定制和生产中,通过使用移动设备扫描足底,创建数字模型,然后利用工程软件设计,将数据传输到辅助加工的设备,即可制作出个体化的矫形鞋垫,具有制作精度高、效率快、方便、快捷等优点,3D打印个性化矫形鞋垫对下肢不等长引起脊柱侧弯的患者表现出良好的治疗效果。


0