您好! 请 登录 | 注册

叶定伟教授宝刀出手,带领团队突破手术极限

2021年09月01日 9852人阅读 返回文章列表

8月的一天中午,在大多数人午饭时间,复旦大学附属肿瘤医院浦东院区78号手术室内却异常紧张而又忙碌。十余位顶尖医务工作者都在紧锣密鼓的准备着一场“硬仗”。这是由泌尿男生殖系统肿瘤首席专家叶定伟教授领衔,泌尿外科张海梁、曹达龙教授担纲,麻醉科孙教授、顾教授等保驾护航,护理部顾老师、石老师等精准辅助的一台超高难度右肾癌根治性切除+下腔静脉III级癌栓取出术。这一“突破禁区”的手术的顺利完成,彰显了复旦大学附属肿瘤医院泌尿外科肾癌诊室团队应对肾癌伴高位腔静脉癌栓的“回天有术”,也给患者带来了根治肿瘤的希望。

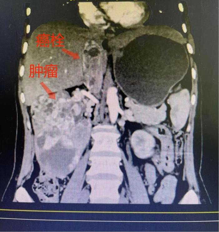
该患者是一位中年女性,正值壮年。早在今年2月份,患者因“右侧腰部胀痛”于外院体检查出右侧肾脏长了一个12*8cm的巨大肿瘤,更严重的是患者还伴有右肾静脉、下腔静脉癌栓,腔静脉癌栓最高处已到达膈肌水平,已达到了传统观念下的“手术禁区”!患者突患大病,四处求医,然而均被告知病情棘手无法手术切除,生存时间不久。后患者抱着最后一丝希望,在病友的介绍下于2021年3月1日踏进了叶定伟教授的诊室。叶定伟教授对患者进行了详细的问诊与检查,并仔细阅片后,联合复旦大学附属肿瘤医院泌尿肿瘤多学科团队(MDT)之力,建议患者先行肾脏肿瘤穿刺明确病理,再针对性的进行靶向治疗,最后把握机会进行手术治疗。叶教授的一番话也让病人求医近一个月来首次见到了曙光。患者随即住院进行了穿刺,明确了病理类型为肾透明细胞癌,接着开始靶向治疗。当患者于2021年7月20日再次踏入叶教授诊室复查时,下腔静脉癌栓已显著退缩,患者终于搏得了手术切除肿瘤并取出癌栓的机会,对外科医生的真正挑战也正式开始了!叶定伟教授、张海梁教授和曹达龙教授会同麻醉科、护理部等多次讨论确定了手术方案。最终,团队仅用时2个多小时即完成了肾脏肿瘤的完整切除和下腔静脉癌栓的完整取出。当叶教授给患者家属看标本,描述术中情况,宣布手术非常成功的一刹那,患者家属的感激之情溢于言表。患者恢复良好,在术后第三天即可自己下床活动,术后第五天顺利出院。“你们团队不但能做别人不敢做、不能做的,还能做的那么好,真的太厉害了!真的是我们家的恩人!”患者家属质朴的言语是对复旦大学附属肿瘤医院叶定伟教授团队的最大肯定。也唯有数十年如一日的磨练技艺,不断突破,才能hold住手术台上那惊心动魄的2小时,给患者全新的生命重启。

复旦大学附属肿瘤医院泌尿外科创建于2002年,在创始人兼学科带头人叶定伟教授的带领下,目前已成为国内规模最大、影响力最强、辐射面最广的泌尿男生殖系肿瘤诊治和研究中心,是教育部平台肿瘤学重点建设发展学科,中国抗癌协会泌尿男生殖系统肿瘤专业委员会主任委员单位,中国临床肿瘤学会前列腺癌专家委员会主任委员单位,上海市泌尿肿瘤研究所和复旦大学前列腺肿瘤研究所挂靠和所长单位,国家卫健委全国县域医疗服务能力提升项目前列腺癌工作牵头单位,中国肿瘤医院泌尿肿瘤协作组(UCOG)牵头单位。团队愿景是以规范手术为基础,以MDT为特色,临床和科研共强,国际化水平高,国际领先的泌尿肿瘤诊治、预防、康复和研究中心,得到国际同行的广泛关注和认可。由叶定伟教授领衔的肾脏肿瘤团队包括正教授5名,副教授7名,每年肾癌手术病例数900余例,位列申康数据市级医院前茅,早期肾癌术后的5年生存率达到93%,整体肾癌患者平均3年生存率达82.3%,5年生存率77.1%,疗效与欧美顶尖癌症中心旗鼓相当,实现肾癌诊疗数量与质量双重“飞跃”。对于局部晚期和晚期肾癌,叶定伟教授的肾癌治疗团队充分整合泌尿外科、肿瘤内科、放疗科、核医学科、病理科和影像科中泌尿肿瘤顶尖专家,利用线上线下MDT平台,采取以规范手术为主,综合放疗、介入治疗、生物靶向和免疫治疗、新药以及新技术临床实验等多种手段,使晚期肾癌的5年生存率已达28%,高于国际水平的10-20%。

复旦肿瘤泌尿肿瘤团队牵头制定《泌尿男生殖系统肿瘤多学科团队综合诊治组织与实施规范中国专家共识》、《中国晚期肾癌靶向治疗不良反应管理专家共识》,参与NCCN肾癌亚太共识的制定。近10年团队在Nature communications、Cancer Research、Clinical Cancer Research、J Immunother Cancer、Clinical and Translational Medicine、 Cancer Letters等权威期刊共发表肾癌领域SCI论文共计112篇,累计影响因子总计572.8分,国内核心期刊论文50余篇;获得肾癌科研基金近3000万元;获批国家专利局实用新型专利、发明专利等10余项;牵头肾癌多中心临床研究10余项,多项临床试验入组人数全球第一,并且是国内泌尿外科唯一成功通过美国FDA稽查的临床研究中心。


4