您好! 请 登录 | 注册

头颈部淋巴管畸形

2023年01月07日 113人阅读 返回文章列表

1、胚胎学与发生机制
淋巴管畸形(Lymphaticmalformations,LMs)是由于淋巴管先天发育异常,原始淋巴囊未能向中央静脉引流所致。也可继发于外伤或手术。瘤体主要由增生、扩张及结构紊乱的淋巴管组成,可向周围浸润生长。LMs可能还与染色体异常有关,病理生理机制还尚未完全阐明。
2、临床表现
LMs约占婴幼儿良性肿瘤的5%,好发于颈后三角区,向下可达肩、腋下和胸上部,甚至延伸至上纵隔内,约有80~90%的病例发生在2岁以内,无性别差异。头颈部LMs约75%~80%为囊状淋巴管瘤,LMs可以是圆形、分叶形或海绵状,表面皮肤色泽正常、外表多光滑、无痛、呈充盈状态、触之极度柔软、波动感明显、边缘较清晰、透光试验提示阳性(图5A),但如果肿物部位较深或有内出血和感染则失去透光性。当有感染或囊内出血发生时,肿物可突然增大,张力变大,触之较韧,同时可引起面容改变、呼吸困难、吞咽困难、面瘫、声嘶等表现。可呈单房或多房,多房之间液体多有相通,囊壁和分隔均菲薄,其内含有无色透明或淡黄色清亮淋巴液,伴出血时可呈血性浆液。根据形态学,LMs可分为大囊型(直径>2cm)、微囊型(直径<1cm)、混合型。
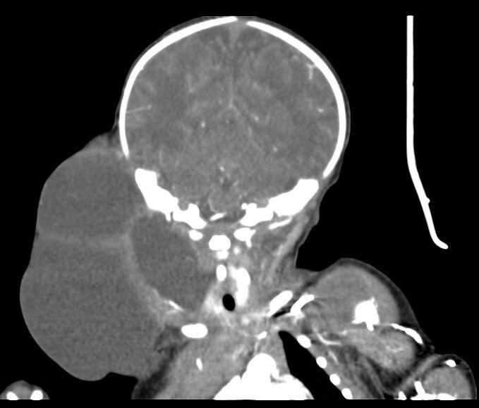
3、CT影像特征性表现
典型特征为沿疏松结缔组织间隙呈“爬行性”生长,大小不等,其形状与周围组织间隙相吻合,与周围肌肉或脂肪等组织结构分界清晰。邻近血管或肌肉有包饶或移位现象,范围可上达颌下间隙甚至颞部,下至纵膈,向外可达腋窝。CT上表现边界清楚、单囊或多囊、水样密度肿块、密度均匀,囊壁多菲薄或不能显示。单囊型主要表现为圆形或类圆形,而多囊型则呈现出不规则形,或可见囊内分隔呈网状轻度强化(图5B~C),增强囊壁及分隔轻度强化,囊内不强化。当伴有囊内出血时,可见囊内增高的片状密度影,可能出现“液-液平面”征像,上层液体为低密度,下层液体为血细胞沉积的缘故,呈高密度。
4、病理
LMs的组织病理学特征为淋巴管异常扩张或形成囊腔。各囊腔之间液体自由流通,仅少数囊腔互不沟通。镜下见囊壁呈薄层纤维结缔组织,其内衬以内皮细胞,外侧为胶质及平滑肌,个别可见神经、血管、脂肪组织及淋巴细胞等,囊内含清亮淋巴液或淡黄色液体,合并出血时为血性浆液。不同分型的LMs在病理方面几乎没有差异。
5、治疗进展
虽然是良性肿瘤,但它们很少自发消退,加上其浸润性难以与头颈部重要的神经血管区分,使得完整手术切除十分困难。临床常见治疗方式有:手术、硬化剂、激光疗法、射频消融术或者上述方法联合。对于病变局限的,或者单房无分隔的LMs,可以选择手术也可以硬化剂治疗。如患儿已经存在呼吸梗阻情况,向淋巴管囊内注射硬化剂时,可能会导致病变区肿胀,压迫气道加重呼吸困难,甚至死亡。对于巨大的、合并囊内出血的或者浸润头颈部重要神经血管的LMs,推荐手术联合博来霉素灌洗术腔,对于口腔、舌、咽部的LMs,射频消融具有独特的优势

(A)右侧颈部巨大囊性占位,质地柔软,波动感明显,透光试验阳性。囊内为淡黄色清亮淋巴液。

  (B)CT显示右侧颈部约7.5*8.6*9.4cm均质、低密度囊状肿块,增强后未见强化,形态不规则,内部见条状分隔。  

(C)术中见囊内网格状分隔。

0