您好! 请 登录 | 注册

牙贴面修复大牙缝,终于不怕说话喷唾沫星子了

2019年06月05日 7814人阅读 返回文章列表

经常会有一些人问关于牙缝的问题:

 

医生,我的牙缝有点大,吃东西老塞牙,怎么办?

 

医生,我压风太大,都不怎么敢小,有什么办法改善吗?

 

医生,我这门牙缝太大,不但说话漏风,还飞唾沫星子,好尴尬,能补起来吗?

 

……

 

嗯,牙缝大的人真的是太多了,但是能重视的却很少,牙缝大不仅影响面容美观,还容易导致发音不清,飞唾沫星子等一些尴尬,甚至还会影响口腔健康。

 

今天要介绍的这位小美女就是因为大牙缝来寻求帮助的:

 

年龄:28

 

3月2日初诊

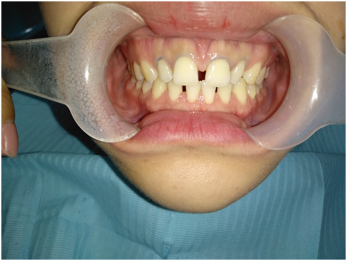
主诉:门牙缝隙太大,每次一笑那条牙缝都特别引人注意,有时候说话漏风,发音不准,总会让别人忍不住笑,虽然知道别人不是故意的,但还是很尴尬;最尴尬的就是有时候跟别人说话会突然飞出唾沫星子,现在经常说话都要用手稍微挡着点嘴。不想再这样尴尬下去,决定来做牙贴面修复。

 

口腔检查:门牙缝隙大,口腔卫生差,牙龈红肿出血严重,牙石(++)。

 

诊断:牙龈炎

 

治疗计划:全口超声波龈上洁治术

 

3月8日复诊

口腔检查:牙缝大 缝隙有2MM ,冷(-),探(-),叩(-),松(-),已牙周未见明显异常。对合牙略伸长。余牙无特殊。咬合未见明显异常。

 

诊断:牙缝隙大

 

治疗计划:牙贴面修复

 

治疗过程:已告知患者各种备选修复材料的优缺点、相应修复费用和修复时间、可能的复诊次数和并发症,患者自愿选择:贴面修复。牙位图基牙预备,必兰局麻下排龈,精修,制取硅橡胶印模,硅橡胶咬合记录比色:2m1色。

 

3月14日正式戴牙贴面

情况:临时冠使用无异常,无冷热刺激痛。

 

粘贴过程:清洁基牙和修复体,试戴修复体边缘密合、邻接良好。调合、抛光,美加贴面粘结套装永久粘固。

 

【重要提醒】

 

牙龈健康是粘接前提,牙龈不能出血

 

牙龈要健康,牙周要健康。

 

这是口腔美学修复的嵌体,任何一种修复方式,需要在牙齿口腔健康的情况下去进行。

 

先将牙龈炎、牙周炎等疾病治疗好后,再进行制备印模和贴面制作。

 

在粘接时,牙龈不能出血,要进行止血,防止导致贴面变色和脱落。

 

所以,想要做牙贴面的牙友,先要保证口腔健康哦!

0