您好! 请 登录 | 注册

一样的疾病,不一样的治疗

2022年09月25日 750人阅读 返回文章列表

今天,我们通过三个具体的病例,来看看同样的脑血管狭窄的疾病,是否也要采取相同的治疗呢?

这三个患者都是进展性卒中,表现为颅内反复的脑梗塞,认知能力受到不同程度的影响~~~

1、第一个患者:我们给予一期外科干预后,一个月后检查发现,狭窄的部位比术后即刻有改善,继续药物治疗,暂时无需手术,出院继续随访;
                                     术前
  
                            术后即刻
               一个月后随访好转,继续观察


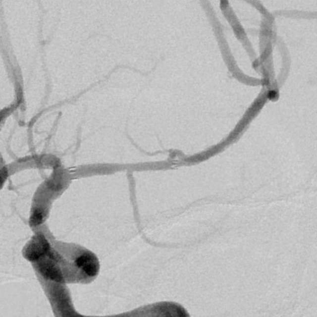
​2、第二个患者:我们给予一期外科干预后,一个月后检查发现,狭窄的部位和术后即刻相比是稳定的,二期安全的植入支架,血流完全恢复正常,顺利出院;

 
                                   术前

 
                                  术后即刻
术后一个月随访稳定,给予支架植入,血流恢复正常,分支血管保留良好
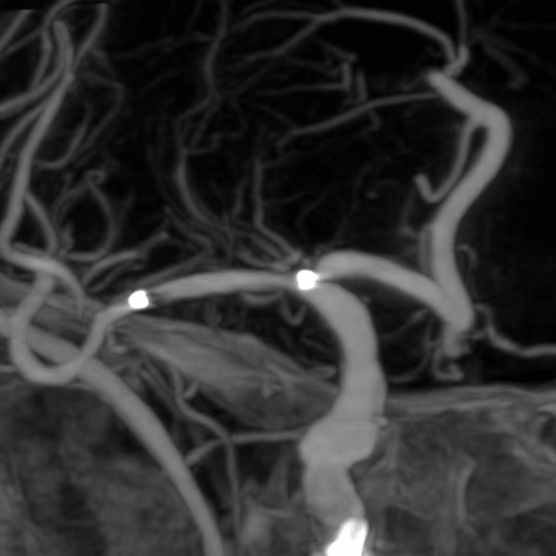
3、第三个患者:我们给予一期外科干预后,一个月后TTP检查发现,狭窄的部位和术后即刻相比是变差的,但与第一次术前相比好转。继续药物治疗狭窄部位存在进行性闭塞的风险。于是二期安全的植入支架,血流完全恢复正常,顺利出院。

 
一期干预后,一个月复查所见狭窄区为长节段、多发部位狭窄,与术后即刻相比变差了
  

继续药物治疗存在狭窄部位闭塞的风险,果断给予支架植入
  
支架植入后,重建后血管的形态,血流完全恢复,顺利出院

结论:同样的疾病,不一样的治疗。

根据病变动态演变的具体情况,采取个体化的治疗措施,才是相对更为安全、有效的办法~~~

  
上海市东方医院神经外科(国家神经介入建设中心),是您值得信赖的脑血管病中心~~~




0