您好! 请 登录 | 注册

射频消融治疗晚期肺癌典型病例—小李飞针(3)

2019年01月10日 8681人阅读 返回文章列表

射频消融是否只是用于肺结节,或者小病灶呢,当然不是。不论是指南还是多年的临床实践都告诉我们,射频消融不仅仅可以用于早期肺磨玻璃灶(早期肺癌),还可以用于2-3cm,甚至5-7cm的病灶。对于这部分中晚期肺癌患者,我们可以采用多根消融针,一次穿刺的办法。一次性快速消融,不仅效果好,而且副作用轻微。
这是一位晚期肺癌的患者,平时生活很不规律,抽烟喝酒,什么刺激来什么。钱是赚了不少,可惜身体早早就不行了。刚过50岁,就发现了肺癌,而且是恶性程度最高的,低分化癌!!肺上病灶4cm,可是已经骨转移了。开刀当然不现实了,刚开始他想放疗,可是一看要20几次,还有放射性肺炎,马上打了退堂鼓。而且这个时候,因为病灶侵犯胸膜,出现剧烈胸痛,要吃吗啡才能缓解。怎么办?怎么办?怎么办!患者家属找到我的时候,无奈的问我。

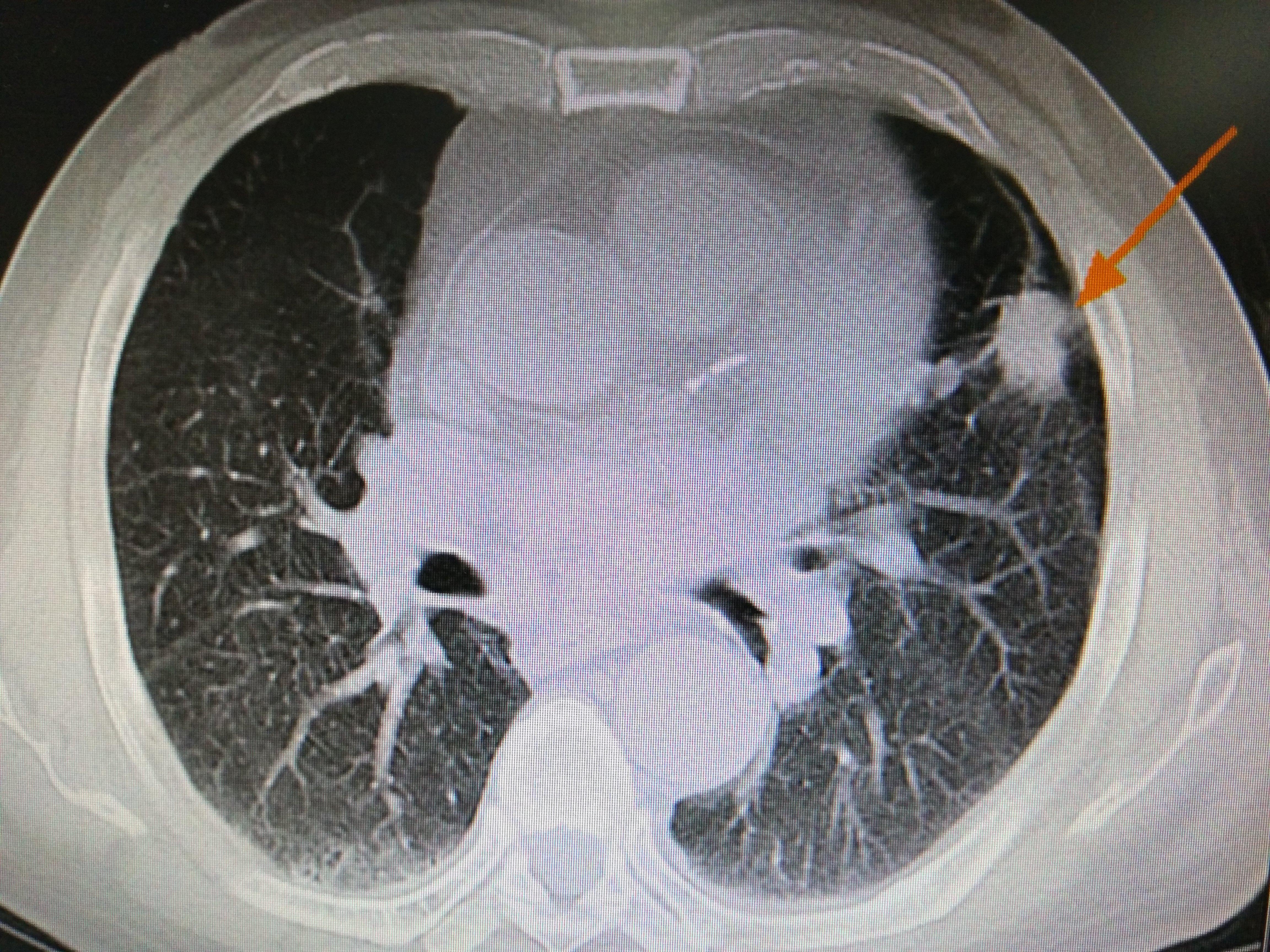
肿瘤比较局限,贴近胸膜,引起胸痛。

怎么办,当然是首选射频消融,两根消融针,形成立体靶向消融场。4cm结节,一次治疗搞定!20min,几乎无痛,无创伤!治疗后,胸痛是立马缓解,不需要吃止痛片。肿块很快就缩小。再配合线粒体靶向治疗。病灶一直持续缩小,处于稳定状态。

射频治疗2月后。

可以说低分化癌,治疗能达到缓解症状又杀灭肿瘤缩小病灶,射频消融绝对是居功至伟。后续的线粒体靶向治疗可以进一步提高自身的抗肿瘤免疫,达到标本兼治的效果。

2