您好! 请 登录 | 注册

肺癌的巨大淋巴结转移也可以引起吞咽梗阻

2021年03月20日 8240人阅读 返回文章列表

吞咽梗阻常常由食管癌引起。但也有例外。有些肺癌,肿瘤不是很大,但是转移的纵隔淋巴结融合成团,压迫食管,因此这些患者最早的主述不是咳嗽,不是痰中带血丝,而是吞咽梗阻这种病人比较罕见。

上图的左上肺肺癌大约4厘米左右,完全是实质性肿瘤。


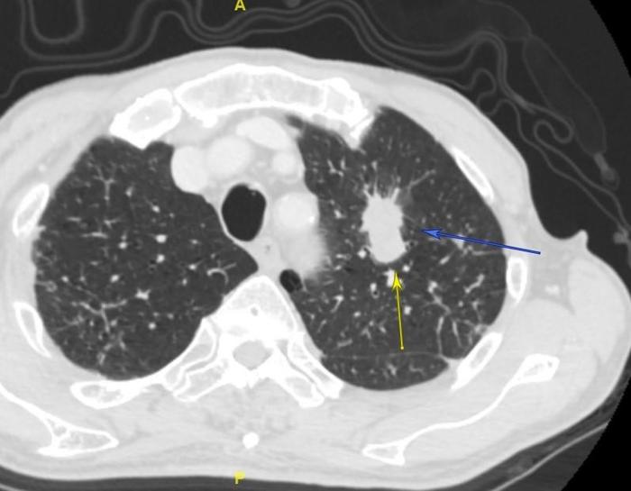
上图可见此患者巨大的转移纵隔淋巴结融合成团,压迫和侵犯肺动脉和食管。3个蓝色箭头指示的是纵隔淋巴结融合成团。黄色箭头指示的是食管受压。


因此,不是发现患者有吞咽梗阻,就是可能有食管癌,还看可能有食管外病变,如肺癌或纵隔肿瘤增大后压迫食管,出现吞咽梗阻。

即使是这么大的肺癌,也是从一个小的磨玻璃结节慢慢长大的。也许20年前,也许30年前,左上肺能够看见1个3-4毫米的纯磨玻璃结节。


可以参考我的其它健康号文章:


无声的杀手--肺磨玻璃结节的发展演变手绘图解

肺癌有什么症状?肺癌的临床表现是什么?


0