您好! 请 登录 | 注册

椎基底动脉冗长扩张症的治疗

2022年02月18日 8370人阅读 返回文章列表

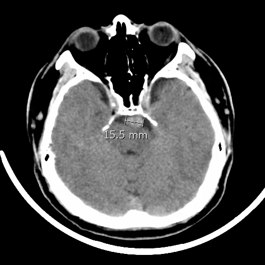
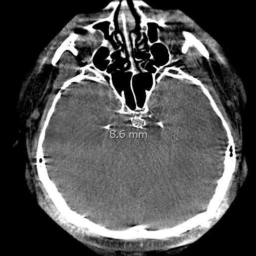
椎基底动脉冗长扩张症,是最棘手最复杂的脑血管病之一。患者从外地千里迢迢(3900余公里,仅高铁41小时)赶来东方医院诊治,期间症状不断加重(图2非真实大小)。术后一周复查:1、右侧肢体肌力明显改善;2、右侧肢体和枕部麻木症状明显改善;3、饮水呛咳缓解;4、共济失调明显改善;5、流涎消失;6、消失的味觉再次恢复。术后一周复查:血管修复良好(图5)。期待患者早日康复,早日奔赴工作岗位,保一方平安。
患者的信任和医者的努力是我们战胜病魔的法宝之一

0