您好! 请 登录 | 注册

我是怎么在门诊判断一个小磨玻璃结节是浸润性腺癌的

2021年12月15日 10543人阅读 返回文章列表

一个年轻女性,门诊找我看病。她的CT是江苏省人民医院的。我仔细看了看手机上打开的江苏省人民医院二*维码薄层CT,说:“你的磨玻璃结节小于8毫米,但是已经接近8毫米,它是一个混合磨玻璃结节,里面有点状实性成分,CT值我在手机上面测不了。估计你的磨玻璃结节起码是微小浸润性腺癌。你有糖尿病,由于糖尿病患者免疫力比正常人差,因此,你出现肺结节的几率高于正常人。所以我先给你开两周的莫西沙星看看。这个抗生素效果比较好。吃完抗生素后来我们医院复查,看看结节有没有缩小或消失,当然这两种情况都非常少见。”

3个月后病人在我们医院复查CT,第二次来挂我的号。我在门诊仔细看它的薄层CT,我说:“在电脑上比手机上看清楚多了。你看,你的磨玻璃结节有明显的胸膜凹陷。你仔细看看,橙色箭头指示的的正常肺裂位置。蓝色箭头指示的是磨玻璃结节将肺裂向结节的方向牵拉,引起肺裂凹陷。这是恶性肺结节的一个重要表现。”

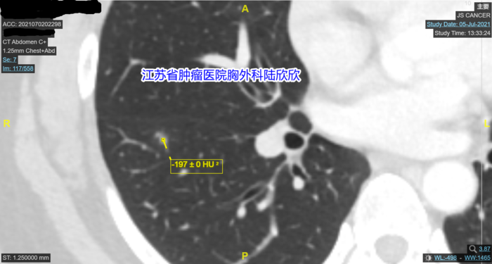
我再观察,发现结节的外形有点不规则,这也是肺癌的一个表现。我测量了磨玻璃结节内部多点的CT值,我说:“你的结节最大CT值是-192,磨玻璃结节周围有环状强化,内部有点状实性成分。所以这个混合磨玻璃结节不可能是原位癌,磨玻璃结节如果是原位癌的话,密度很均匀,一般没有实性成分,形状接近于球形。你的磨玻璃结节密度不均匀,而且有点状实性成分,局部形状不规则,所以可以排除原位癌。那么有没”有可能是微小浸润性腺癌呢?最大CT值我测给你看,大约-192。磨玻璃结节中微小浸润性腺癌的CT值要高一些,一般在-560到-460之间。磨玻璃结节中浸润性腺癌的CT值要更高一些,一般在-460以上,平均值-260左右你的磨玻璃结节最大CT值我刚才测量了,大约-192,CT室医生测量平均CT值-378,所以这个磨玻璃结节应该超过了微小浸润性腺癌的阶段,现在估计已经到了浸润性腺癌的阶段。所以,我的结论和省人民医院和我们医院影像科的看法不一样,他们都认为很可能是微小浸润性腺癌,我认为最可能的诊断是浸润性腺癌。当然也不能排除炎性病变,不过可能性很小。另外,这个结节贴近肺裂胸膜,如果是恶性的磨玻璃结节,比较危险,将来有侵犯胸膜的危险。最好手术切除。手术可以基本上治愈。


下图是我当时写的的门诊病历:前面写的外院的诊断意见。后面写的我的详细分析,在门诊认为病变很可能是浸润性腺癌,是微小浸润性腺癌的可能性很小,可排除原位癌的诊断。

后来病人一家人商量后决定住院,我开了核酸检查,安排病人住院。

最大CT值-192的图我一时找不到了。我下面有两张图。最大CT值是-197和-212,和-192已结很接近了。


住院手术后的病理如下:

可见此结节是早期浸润性腺癌,在浸润性腺癌的5种亚型之中,病理分型是贴壁生长型,这是腺癌最好的亚型。虽然距离胸膜很近,但是还没有侵犯斜裂的胸膜。术后不需要化疗或放疗。

文章末尾有视频可以动态看此磨玻璃结节。

下面的文章电子链接可以直接点击跳转:

我是怎么术前判断一个小磨玻璃结节是浸润性腺癌的

我是怎么在门诊判断一个实性结节是良性结节的


0