您好! 请 登录 | 注册

右侧三叉神经痛微创手术

2022年07月19日 4378人阅读 返回文章列表

手术者:郑学胜,李帅

病史:

患者,女,63岁,右侧面颊部间歇性疼痛6年,加重1月,刀割样疼痛,早期卡马西平有效,现已无效,并且引起肝损和白细胞血小板下降。现疼痛严重影响进食、洗脸、刷牙。

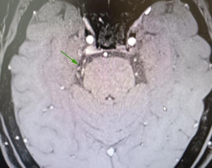
术前MRI显示:右侧三叉神经旁边有血管影

经过术前准备,于2022-7-8行右侧三叉神经显微血管减压术(MVD)

显露责任血管:小脑上动脉 

 

在责任血管和三叉神经之间置之垫片

探查三叉神经尾端和其它区域,未发现其它血管压迫,手术结束

 

术后情况:

术后面部疼痛已完全缓解。神志清、四肢、言语、听力、面肌活动都正常,无其它不适。


0