您好! 请 登录 | 注册

冠状切口右侧单额开颅额底入路--前颅底脑膜瘤切除术

2019年07月15日 8234人阅读 返回文章列表

冠状切口单额颅底开颅是经典的神经外科手术入路,能充分暴露前颅底、鞍区及额叶病变,该手术方式的灵活性及成熟性仍备受神经外科医生青睐。

患者男性,62岁,因头痛头晕伴嗅觉减退数年入院。复旦大学附属肿瘤医院神经外科高阳

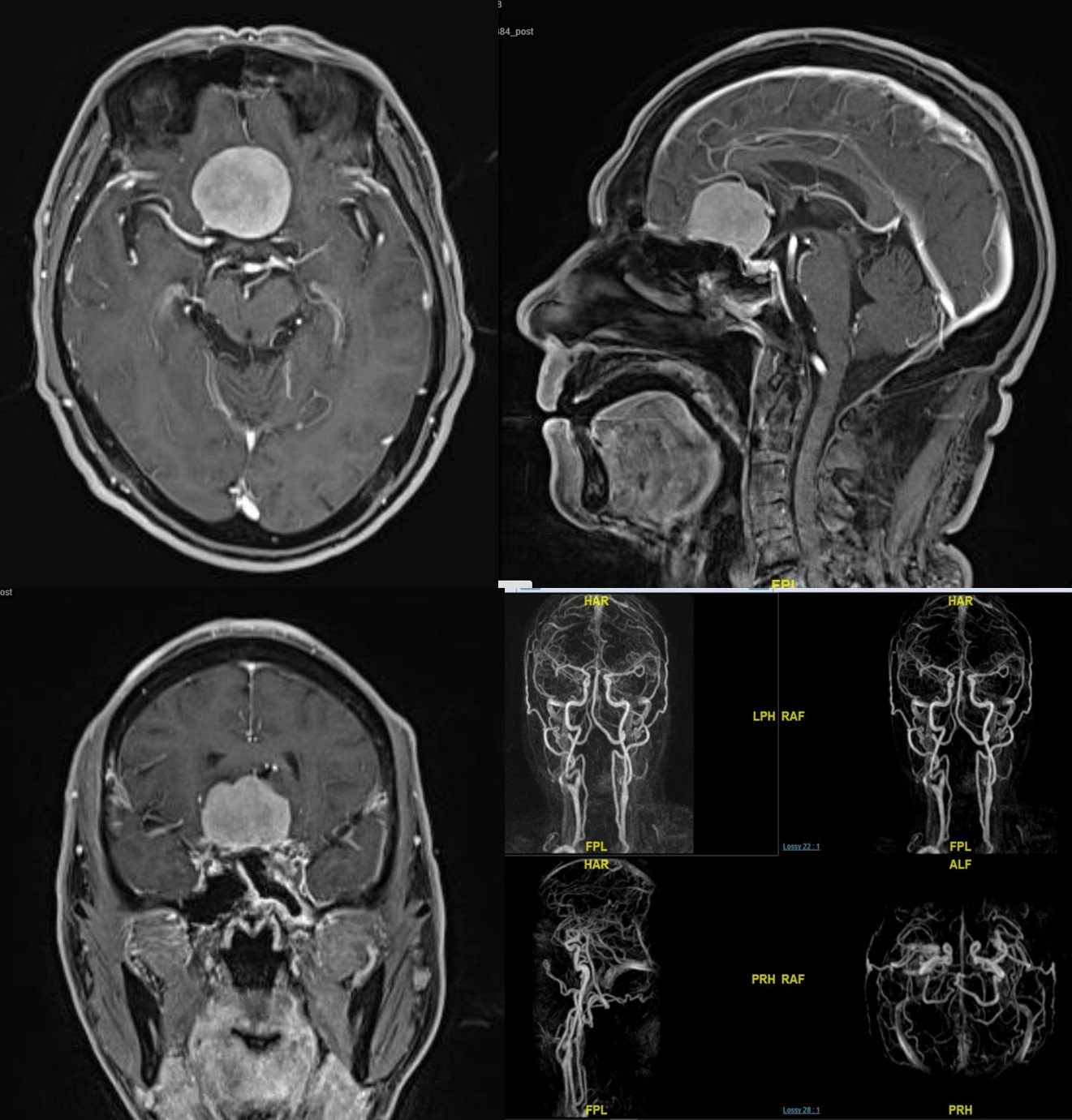
查头颅MRI示:前颅凹蝶骨平台占位性病变,均匀强化,脑膜尾征明显。

手术过程:冠状切口,切口右侧到耳屏前,左侧切口适当缩小,满足眉弓暴露,注意保护面神经额支及眶上神经,严格按帽状腱膜下分离,切开骨膜,在关键孔、中线前方及后方打孔,游离右额骨瓣,开放额窦骨蜡严密封闭,悬吊硬脑膜,金刚钻磨除眉弓内板及前颅底部分骨棘,打开蛛网膜,缓慢释放脑脊液,脑板移向前颅底内侧,暴露肿瘤,电凝分离肿瘤基底部,断其血供,然后分块切除,瘤内减压,CUSA配合使用分离肿瘤内的穿支血管,最后沿肿瘤边界实现肿瘤全切。

手术时间:3.5小时

术中可见大脑镰、双侧视神经、视交叉、两侧颈内动脉、嗅神经,垂体柄、鞍隔、蝶骨平台、鞍隔孔及大脑前动脉,神经、动脉完整保留。

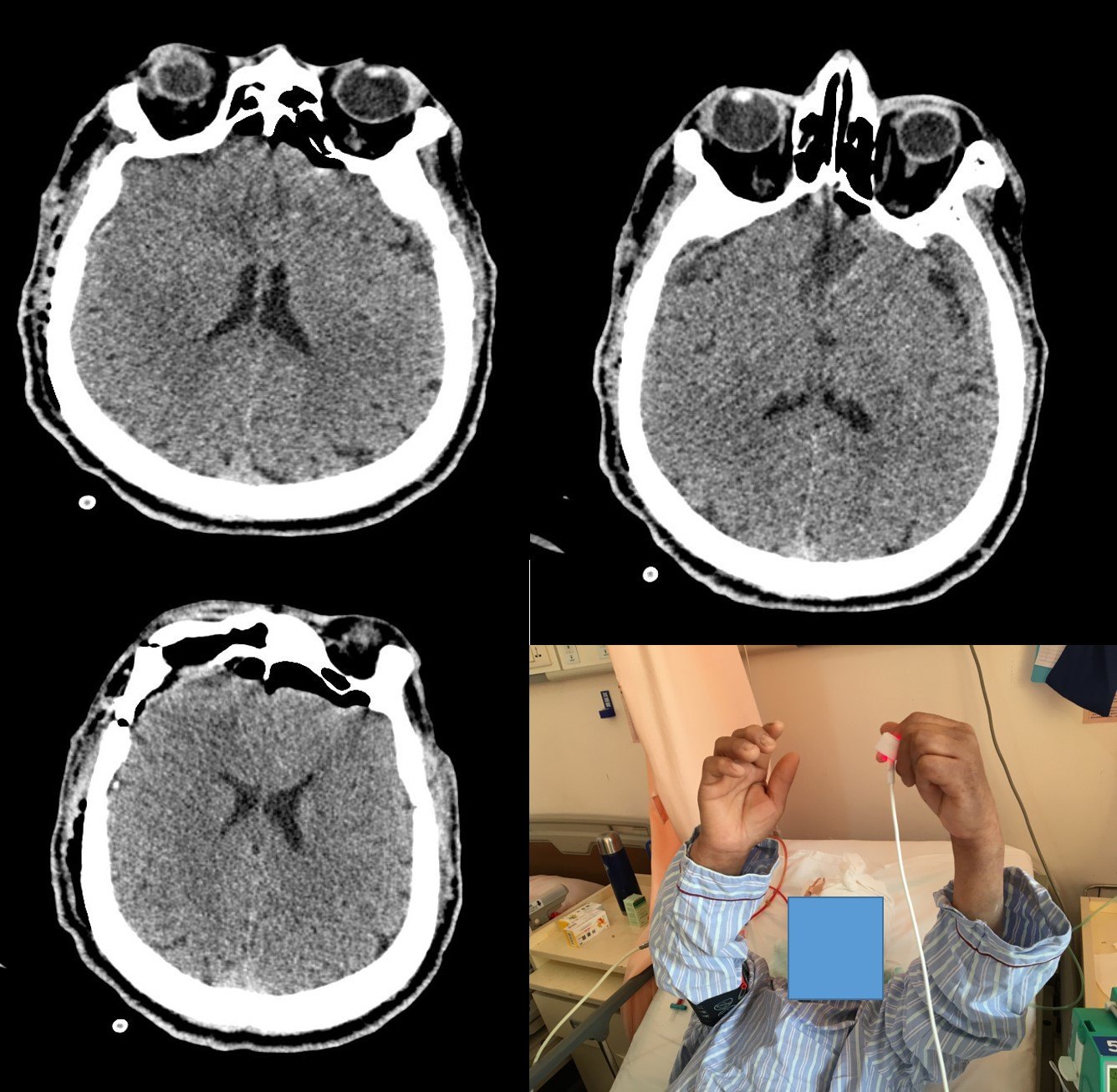
术后即刻CT示:术区干净,无渗血及水肿表现,中线结构居中。

术后第一天患者清醒,对答流利,视物可,四肢自主活动。

冠状切口单额入路中:手术切口的设计,神经(面神经额支、眶上神经、嗅神经及视神经)的辨识及保护、额窦严密封闭、脑脊液缓慢释放、额叶无损伤牵拉、血管(大脑前动脉及穿支动脉)的保护显得尤为重要。

当前浏览器不支持播放视频,建议使用火狐或者谷歌浏览器

0