严重上胸椎黄韧带骨化,胸椎管狭窄症治愈
2021年07月02日 7964人阅读 返回文章列表
患者出现胸背部束带感、双下肢无力、行走困难两年余,因位置较高,胸2-3平面严重黄韧带骨化,继发椎管狭窄,因手术风险极大,多地求医未果,行后路彻底减压后,术后一周恢复良好,康复出院,感谢您的锦旗对我工作的认可!胸椎磁共振显示胸2-3平面黄韧带骨化物压迫脊髓
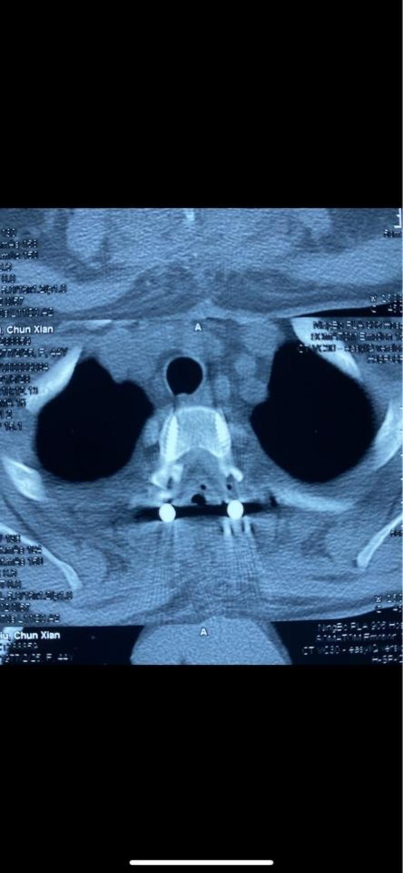
CT显示骨化物占满整个椎管,脊髓严重受压
CT平扫显示胸2-3平面黄韧带骨化占满
术中完全彻底减压,硬膜囊膨隆良好,恢复正常搏动
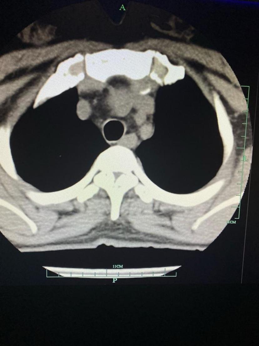
术后CT显示骨化物彻底去除,恢复正常椎管容积
术后CT平扫显示骨化物彻底去除,减压充分
术后一周康复出院,很开心收到锦旗一面,感谢您对我工作的认可,祝您全家身体健康!
浙公网安备
33010902000463号