您好! 请 登录 | 注册

突发眩晕伴严重耳聋咋办呢?

2022年09月07日 694人阅读 返回文章列表

突发眩晕伴严重耳聋咋办呢?
“眩晕”啥滋味呢?小时候围着一棵树使劲转圈……,然后,就可以躺在大地上尽情享受眩晕的滋味………
“耳聋”啥滋味呢?好好的一个人,突然重度耳聋听不见,听不清,………,整个世界突然一下子就安静了。如果耳聋好不了,会不会以后就会和别人生活在两个平行的世界?
“眩晕+耳聋”啥滋味呢?晕啊,下不了床,还听不见,以后的工作、生活可咋办呢?
这不,老李同志就摊上这事了,一周前突然出现了眩晕和重度两耳耳聋,这可急坏了家里人,立即送去医院,观察保守治疗一周不见好转,家里人也是焦急万分、坐卧不安、四处打听……,经高人指点,有缘人终于相逢~~~
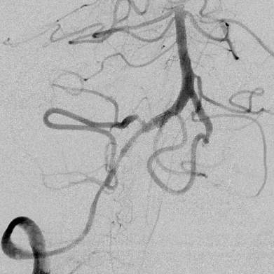
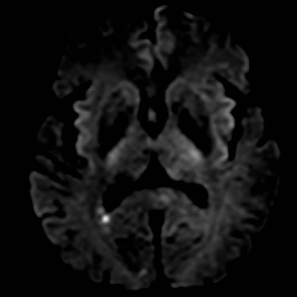
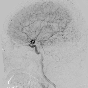
相逢就是缘,有求必全力以赴。立即进行全面评估,CTA和MRI发现颅内多发脑梗塞,脑干为重,双侧椎动脉颅内段基本看不到了,而进一步的DSA造影更为糟糕,左侧椎动脉的颅内颅外段直接全程完全闭塞,右侧颅外剩下一个小尾巴在血液中摇摇欲坠……,诺大的后循环仅仅靠纤细的后交通动脉从前循环借点血液过来,勉强续命,仅仅靠这点前循环的救急,可谓“杯水车薪”,不是“长久之计”,于是决定开通右侧闭塞的椎动脉(颅内+颅外,主要集中在V3+V4段)。
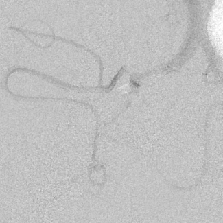
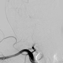
开通这么长节段的夹层所致的椎动脉,说说可以,做起来绝非易事,特别是颅内段,一旦跑到血管外出血,接近脑干,后果严重,谨慎开通的过程还算顺利,微导管带过就是磕磕绊绊不顺利,好吧,小球囊从上到下扩下来,不通,更换稍大球囊扩下来,还是不通,这夹层和狭窄不一样啊,支架导管带过仍然磕磕绊绊,不顺畅,铺开第一个支架,直接来了末端打开不良……,这么长的闭塞段,那得需要多少支架啊?万一放完了,钱花了,不通咋办?
向左走,向右走?结束?还是继续?
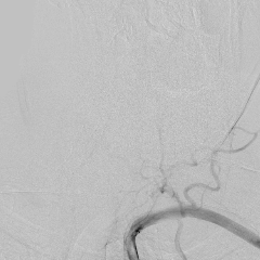
微导管继续超过去,轻轻造影,开通的路径隐约返流闪现,立即改变策略,逆向铺路,开通成功。
术后查房,患者头晕消失,双侧听力基本恢复,整个手术时间历时7个小时,过程是艰难的,结果是欣慰的~~~
对于患者个人来说,在茫茫人海这个大海里,只是一滴水而已。相对家庭来说,就是天,就是地,就是顶梁柱……,妻子不能没有丈夫,孩子不能父亲,哥哥不能没有弟弟……
作为一名小小的医者,能够帮助患者驱离病痛,尽早回归家庭和社会,是最开心的事情了……



0