您好! 请 登录 | 注册

磨玻璃结节故事10:一个2厘米的恶性混合磨玻璃结节两年半来几乎不增大

2020年11月19日 28069人阅读 返回文章列表

有一个老太太,2018年3月发现左下肺一个混合磨玻璃结节,当地医院和南京市的**医院两年来一直考虑是良性的。

上图可见蓝色箭头指示的2018年3月左下肺混合磨玻璃结节,大小约20毫米,实性成分为主,照片上结节内部有一些发暗的的小缝隙,使这个混合磨玻璃结节看起来像一个洋葱头。这是一个混合磨玻璃结节,但是当时接诊的医生由于水平有限,认为是慢性炎症,没有认出这个结节其实是一个实性成分为主的混合磨玻璃结节。

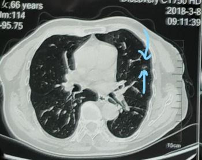
上图可见蓝色箭头指示的2018年3月左上肺实性结节,大小约9毫米,距离肋骨处的胸膜较近。当时也认为是慢性炎症。

上图可见蓝色箭头指示的2018年3月左上肺混合磨玻璃结节,大小约10毫米,内部点状实性成分。这个结节由于影子较淡,当时被忽略掉了,没有医生看见这个结节。

上图可见蓝色箭头指示的2019年7月左下肺混合磨玻璃结节,可见仍然为20毫米,变化不大。

两年期间曾经静脉抗炎,结节无变化。

今年终于有医生怀疑可能是恶性的,进行了肺穿刺检查,证实是肺腺癌。其实如果看CT片水平高,两年半前就可以看出是肺癌。病人后来到我这儿住院,病人较矮小,体型类似于大龄儿童,体重极低,还曾经有过脊柱压缩性骨折。围手术期风险很大。


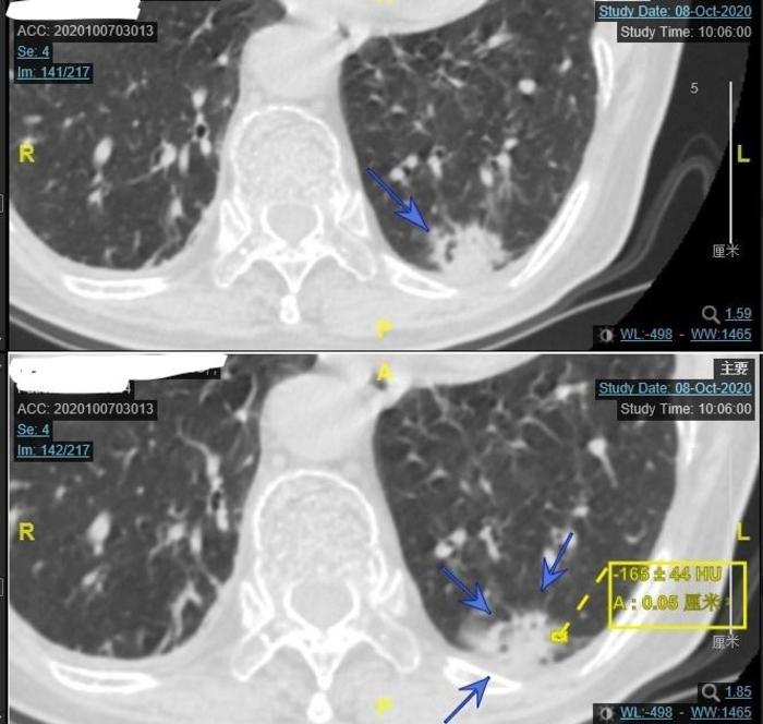
上图为今年9月份住院后的CT,由两张CT组成。上面的CT的蓝色 箭头指向的是混合磨玻璃结节内部有一个腰果形缝隙,所以这个结节不是一个纯实性结节。下面的CT上面两个蓝色 箭头和左下方蓝色箭头指向的是结节内部小空泡(看起来在白色背景中发暗一些)。右边的蓝色箭头指向的是结节外侧有一小块磨玻璃成分。

我对左下方混合磨玻璃结节外侧的一小块磨玻璃成分进行了CT值测量,发现其CT值是-165,因为其CT值是负的,不是正的,证实结节的外侧边缘有磨玻璃成分,所以这个结节一实性成分为主、磨玻璃成分为辅,是一个大型混合磨玻璃结节。即使不就行肺穿刺检查,也有95%的把握这个结节是恶性的肺癌,而且应该已经到了浸润性腺癌阶段。

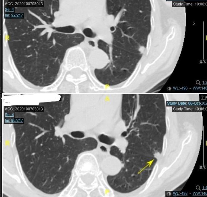
上图为今年9月份住院后的CT,由两张CT组成。上面的CT的蓝色 箭头指向的是左上肺实性结节。下面的CT黄色箭头指向的是这个结节紧贴斜裂,好像比两年半前大了1毫米,差别不大。

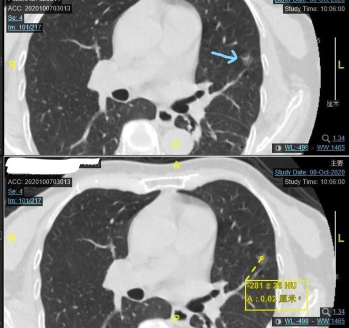
上图为今年9月份住院后的CT,由两张CT组成。上面的CT的蓝色 箭头指向的是左上肺混合磨玻璃结节。下面的CT黄色方框是这个结节的最高CT值-281,大小与两年半前比变化不大。应该是一个早期肺癌。


上图是今年住院后左下肺癌的PET,可见结节的代谢稍增高,看起来局部发红一些。


上图是今年住院后左上肺结节的PET,可见结节的代谢正常,看起来与周围组织颜色一样,PET 考虑这个结节是慢性炎症。

术前考虑:左下肺的混合磨玻璃结节已经肺穿刺确诊为肺癌,需要左下肺的肺叶切除术;左上肺的实性结节PET考虑为良性或炎性病变,可以不手术;左上肺的10毫米磨玻璃结节如果手术,担心切除的肺太多,这个老太太身体顶不住,所以这个磨玻璃结节暂时不手术。

结果国庆节后胸腔镜微创手术时,发现左上肺的实性结节累及斜裂胸膜,看起来似乎是恶性的,就先做了一个楔形切除手术。

上图两个箭头中间指示的是左上肺的实性结节,累及胸膜,看起来灰暗色。术中快速病理诊断为腺癌。PET判断实性结节的良恶性诊断准确率大约90%左右,这个结节恰好PET判断不准确。

下面做了左下肺叶切除术。

上图4个箭头中间指示的是剖成两半的左下肺混合磨玻璃结节,累及胸膜,看起来像板栗的颜色一样。

这两个结节都侵犯胸膜,术后需要化疗或靶向治疗。左下肺混合磨玻璃结节的Ki-67为3%,说明这个结节长得比较慢,与两年来的CT表现一致。术中清扫的淋巴结病理在另外一张病理报告上。

这是病人术后1月的CT,可见剩下的左上肺膨胀非常好,胸腔里面没有积液,比一般病人的术后CT好得多。术后肿瘤组织基因检测有基因突变,进行口服靶向药物治疗。

关于磨玻璃结节的生长速度可以参考下面两篇健康号文章,文章标题可以直接点击:

磨玻璃结节生长速度有多快?磨玻璃结节长的有多快?

肺癌生长速度有多快?长得有多快?(较大实性肿物的倍增时间)

关于Ki-67的含义,可以参考下面一篇健康号文章,文章标题可以直接点击:

肺癌肺结节病理报告上的Ki67是什么意思?











1