您好! 请 登录 | 注册

第一鳃裂畸形

2023年01月07日 230人阅读 返回文章列表

1、胚胎学与发病机制
先天性第一鳃裂畸形(Congenitalfirstbranchialcleftanomaly,CFBCA)由胚胎时期第一鳃弓与第二鳃弓未能正常融合,鳃器上皮残留、鳃沟闭合不全所致。外耳道和面神经的结构分别起源于第一鳃弓和第二鳃弓,当前两者消失时,腮腺开始发育,这种胚胎发育导致CFBCA通常靠近外耳道、腮腺和面神经。瘘管与面神经的关系可呈现出三种状态:①位于神经浅面;②位于面神经深面;③位于面神经分支间。正是基于上述胚胎发育过程,病灶可以出现在从外耳道到腮腺乃至到下颌下三角的任何地方。
2、临床表现
CFBCA占所有鳃裂畸形的1%~8%,几乎都发生于Pochet’s三角区(颏下、舌骨和乳突之间的三角形区域),外窦口或囊肿常位于舌骨水平以上,最常见于耳周及颌下区(图2A),内瘘口多见于外耳道。临床可呈现囊肿、瘘管和窦道。一般在出现反复红肿、流脓、切开引流后才被发现,超过一半病例术前有过抗感染、切开引流史。该病无特异性临床表现,易引起漏诊或误诊,如诊为局部脓肿、腮腺炎、淋巴结炎等。主要表现有无痛性肿块、反复肿胀流脓、外耳道溢液三类症状,男女发病率相当。WorkI型是耳后区的囊性肿块,延伸至EAC后壁。病变起源于外胚层,病变常远离面神经或位于其外侧。II型多位于耳垂至下颌角。这些病变既有外胚层也有中胚层,与面神经关系密切,常位于面神经深面或分支间。
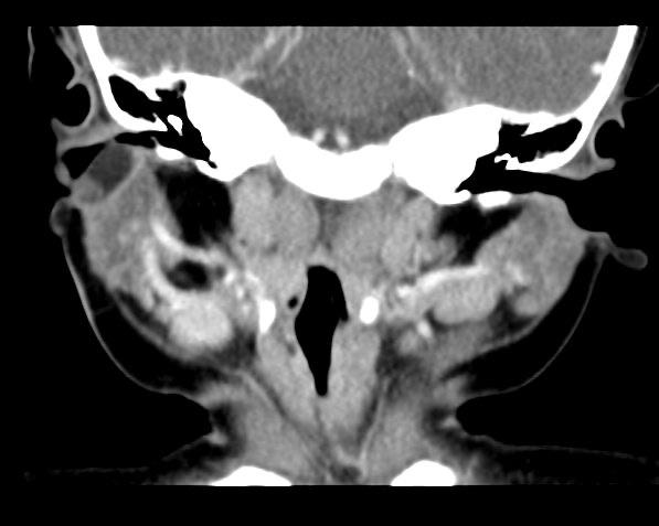
3、CT影像特征性表现
CT表现为病灶位于Pochet’s三角区,常位于舌骨水平以上,最常见于耳周及颌下区。耳周和腮腺内囊状、分叶状、管状低密度影,与耳道关系密切,增强扫描见囊壁或管壁明显强化,部分见管腔与皮肤相通,位于腮腺浅叶或深叶。CT显示病变与面神经、腮腺、外耳道关系密切且复杂多变(图2B),可协助临床医生设计切口,在完整摘除病变的基础上,避免面瘫、外耳道狭窄等。
4、治疗进展
炎症静止期实施根治性手术是唯一有效的治疗方法。术中注意保护面神经,分离耳道软骨时避免切除太多的外耳道皮肤或软骨,若损伤,可术后碘仿纱条填塞2周预防感染及瘢痕形成,避免外耳道狭窄。术中常可见瘘管内含豆腐渣样脓性分泌物。(图2C)
右侧颌下反复炎性肿块。

CT显示右侧腮腺外皮下见一条管状低密度影,大小约0.6*0.6*0.9cm,延续至外耳道。

术中见瘘管连接外耳道底壁,囊内见豆渣样脓性分泌物。

0