您好! 请 登录 | 注册

今日话题:大面积脑梗塞后遗留超过3个月的肢体残疾和失语,还有机会康复吗?

2023年03月18日 18人阅读 返回文章列表

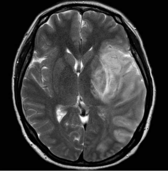
46岁青年女性患者,无高血压和糖尿病病史,突发大面积脑梗塞(图1-2)
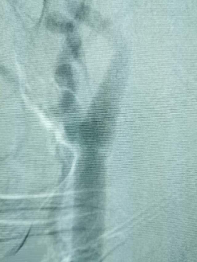
遗留右侧肢体残疾,尽管卧床康复3个月,肢体也只能在床上平移,无法抬离床面,完全性失语,不能说话。家属老爸经人介绍辗转收入我科,看看能否得到进一步的改善。第一次晨间病房查房,看到纯朴、善良、苍老的老爸站在床边,向我们不紧不慢的诉说着女儿的病情,年轻秀丽的女儿静静躺在床上,一言不发(完全性失语),想到独生子女家庭在老年突然遭遇失独、残疾等意外后,本是年轻人照顾老年人的季节,现如今却成了白发人弓着背照顾残疾的黑发人,让人心中一阵苍凉和心酸。患者左侧大面积脑梗塞三个月,右侧肢体肌力只有2级,完全性失语;左侧大脑前动脉向左侧大脑中动脉代偿供血,基于上述情况,可能能够做的外科工作并不多,进一步康复的希望也不大。尽管如此,我们还是认真的对患者进行了详尽细致的评估,看看能否找到突破点。造影发现患者颈内动脉起始部存在颈动脉蹼(可能是三个月前引起梗塞的原因,图3)
还有两处隐约可见的颈动脉夹层,造影期间血管局部构型短时间内出现改变,提示夹层影响远端血流,修复夹层对患者至关重要
于是一个支架重建两处夹层和颈动脉蹼(花钱少,一个支架解决3个病变),手术顺利。

术后次日,患者右侧下肢肌力由2级恢复到3级,可以自行抬离床面了,眼睛也变得清亮了,这是对生活重新恢复了自信。
出院前,患者完全性失语恢复到可以数数(1、2、3、4、5、6……)。

术后2周不到,今天我们组马医生通过患者老爸进行随访,患者的老爸说:现在可以自己站立走路了,也能说话了,但是记忆力还不好……,这恢复速度,也太快了,超出我们的预料……
希望下次见到患者,患者能够康复的更好。毕竟,自己能走路、自己能说话比啥都好~~~

0