您好! 请 登录 | 注册

一个小型胸腺癌的治疗经过

2022年03月27日 7998人阅读 返回文章列表

有一个病人术前因咳嗽发现有前纵隔肿瘤,肿瘤偏向左侧。肿瘤不大,最大径25毫米。包膜完整,术前考虑低度恶性的胸腺瘤这么小的肿瘤一般不会咳嗽。咳嗽的原因是着凉后上感引起的咳嗽

上图,CT示胸腺瘤局部稍有分叶征。

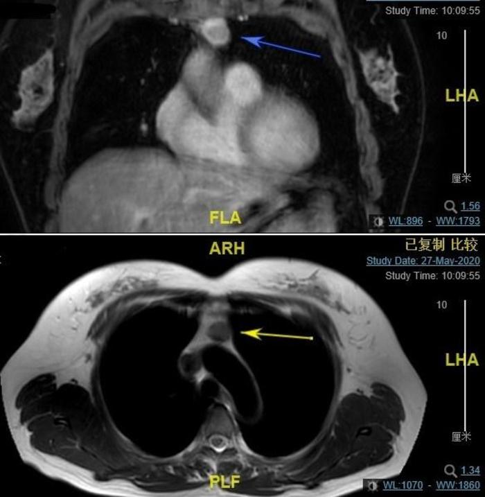
上图,磁共振可见肿瘤包膜完整。总体而言,术前考虑低度危险的胸腺瘤。

胸腔镜手术左进胸,切除肿瘤,见此肿瘤包膜完整。这是将来治疗效果好的一个预后指标。但是术后病理是B3型胸腺瘤(恶性胸腺癌)。

术后分析此患者CT,有分叶征,在分叶征附近肿瘤组织的前后密度不同:靠腹侧的密度低一些,看起来暗一些;靠背侧的密度高一些,看起来亮一些。可能这是一个提示恶性度较高的征象。视频如下:


 

Ki-67高达70%,说明肿瘤恶性度较高,虽然手术前生长较慢,但是在手术前已经进入快速生长的快车道。虽然分期较早,属于一期的胸腺癌,但是因为肿瘤恶性度较高,术后为了提高治愈率,进行了术后放疗,可以大大提高生存时间。

还可以参考下面的文章链接:

胸腺瘤的临床分期

胸腺瘤的病理分型

胸腺瘤各期的治疗效果怎么样?复发率多高?胸腺瘤术后寿命有多长?

Ki-67可以参考肺癌里面的Ki-67。

肺癌肺结节病理报告上的Ki67是什么意思?


0