您好! 请 登录 | 注册

肺磨玻璃结节消融,小李飞针之老来宝密室消磨!

2022年08月22日 4627人阅读 返回文章列表

常听人说老来宝老来宝,描述的是老人上了年纪,性格开朗,脾气和善,成天笑呵呵,像孩子般纯真无忧。这不李医生就遇到了钟奶奶。
钟奶奶85岁了,是女儿陪着来看病的。她步态优雅,神情轻松自信。不紧不慢的说,李医生我这个结节看了好多医院,他们都说我年纪大,不能手术了。女儿在一旁补充说道,妈,我们本来也不想手术的!开刀创伤太大,您身体也吃不消。钟奶奶笑嘻嘻的点头称是。
看着这一对自信优雅的母女,李医生难得冲动的打了包票,没问题,小李飞针专治不适合手术或者手术创伤太大的肺结节!尤其是肺磨玻璃结节!话一出口,李医生就咯噔一下,不会又是一个高难度的吧😂。钟奶奶接口说,李医生,久仰您医术高超,您看看片子吧。
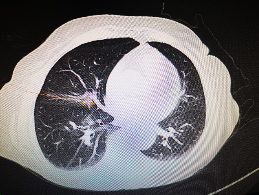
接过CT片,李医生仔细分析起来。果然又是一例顽皮的肺磨玻璃。只见,在右肺中叶外侧段,一个8mm的混合磨玻璃结节,躲藏在封闭的房间内,也就是我们常常说的密室。密室的外墙是右肺中叶肺动脉、中叶支气管、斜裂胸膜,门是中叶分支动脉。通往密室的是斜裂和右肺中叶动脉和支气管形成的一个小通道。好在还有路径可以通过!老话说谨言慎行,一点没错😂,不过谁让咱是江湖兵器排行前十的小李飞针呢,为了最小的创伤解决患友的疾苦,咱们必须不畏艰难,知难而进,迎难而上!将密室中的磨玻璃结节消灭!
术前我和钟奶奶说,我们肯定用最安全的方法彻底解决这个磨玻璃结节。事实上单从技术角度来说,这个手术并不是李医生遇到最难的,但是因为钟奶奶年岁已高,可能难以耐受手术出现的气胸出血并发症。不打无准备之仗,做好万全准备,向来是小李飞针的座右铭之一。因此,在规划手术方案的过程中,我们慎之又慎设定了三个备选方案,并且做了充分的准备应对可能出现的气胸和出血。
走进手术时,钟奶奶还是那么优雅,微笑的和我说,李医生,不紧张,我听你的指挥,积极配合你们!不知她说的不紧张是在安慰自己,还是在安慰我们,亦或是二者皆有吧!
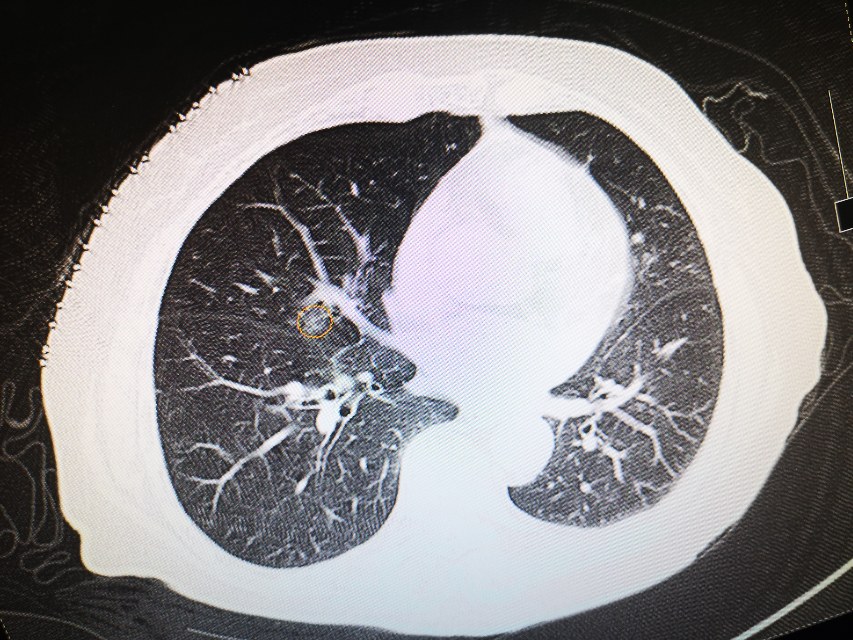
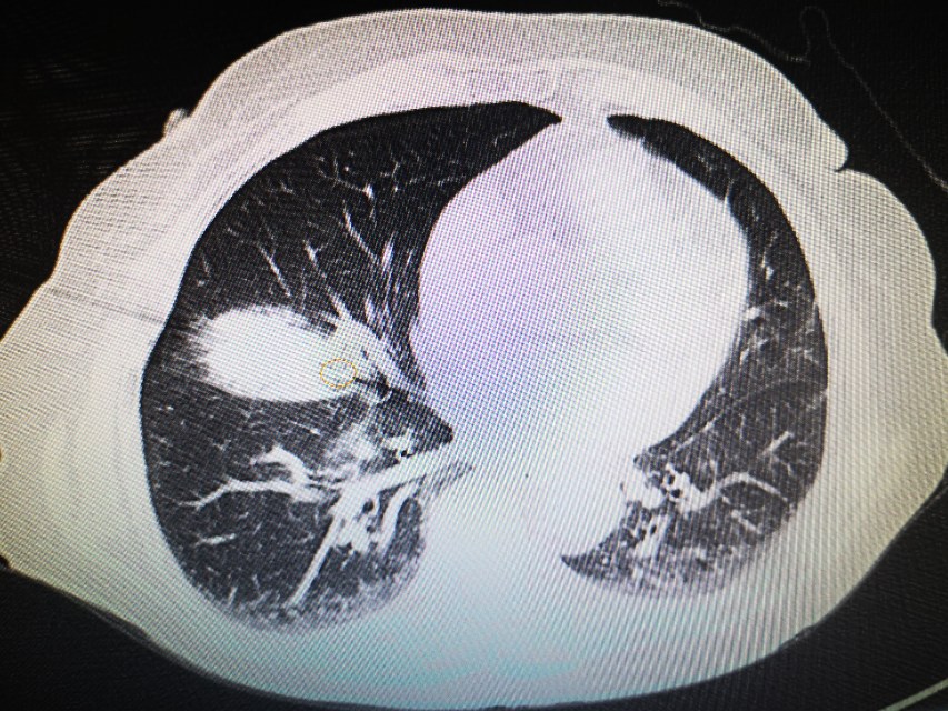
在穿刺针进入皮肤的那一刻,李医生就有感觉,今天的针应该是很准的。为了避开血管和胸膜,李医生中途停下两次,调整消融针的方向和角度,确保不损伤任何一根微小的血管,确保不影响任何一寸薄弱的胸膜!这个过程比穿的准要和更难更复杂!在团队的集体努力下,小李飞针终于避开所有血管、支气管和胸膜,到达了肺结节的中心!李医生的几位助手都长舒一口气。此时,我们回头看看钟奶奶,发现她安静的闭着眼睛,好像睡着了。就是现在,开始消融,经过仔细调整消融参数后,手术顺利取得了预期的效果。也没有气胸咯血等并发症。密室消磨,完美成功!

肺结节消融,肺磨玻璃结节消融,精准精确才会有完美的结果!不手术治疗肺结节,肺结节消融,小李飞针一直在努力!要感谢患友的信任,感谢团队的支持,感谢科室和医院的平台,我们可以尽心尽力,为患友解除病痛烦扰!小李飞针,向着下个目标🎯🎯🎯……

李明,博士,副主任医师。上海市第十人民医院中西医肺结节中心,专家门诊,门诊5楼,周一下午,周四下午,周五上午。电话,021-66301250。

附:小李飞针的由来,
李医生是一名呼吸科医生,擅长精准定位,肺结节消融,尤其是肺磨玻璃结节消融。从刚毕业的时候李医生就一直被叫小李,小李,小李,当然也有人叫我老李,一直叫到了今天。
虽然小李是一名呼吸内科医生,但是我们一直在不断的思考,不断的探索,怎么样用最微创、损伤最小的办法,解决肺结节患友的难题。
庆幸的是现在医学技术不断发展,我们掌握了肺结节消融的技术,经过不断的手术磨练,肺结节消融技术越来越成熟,肺结节消融针也越来越准!因此常被打趣,小李,你这针越来越准,跟小李飞刀似的,指哪打哪!🏹🏹🏹💘💘💘

1