您好! 请 登录 | 注册

“3D打印个性化膝关节矫形器”让膝关节炎病痛困扰多年的阿婆又重拾昔日徒步旅行的快乐

2020年06月22日 8089人阅读 返回文章列表

个性化3D打印单侧减荷式膝关节支具,不同于传统的使用石膏取模的方式,通过光学扫描仪获得体表信息,结合患者下肢CT数据通过计算机精准设计,部分或全部3D打印工艺制作完成。患者适配精准调整后佩戴矫形器拍摄X光片,做到精准矫正与治疗。

就诊流程如下:

一.临床诊断:

潘阿姨,女,71岁,诊断为右膝骨关节炎

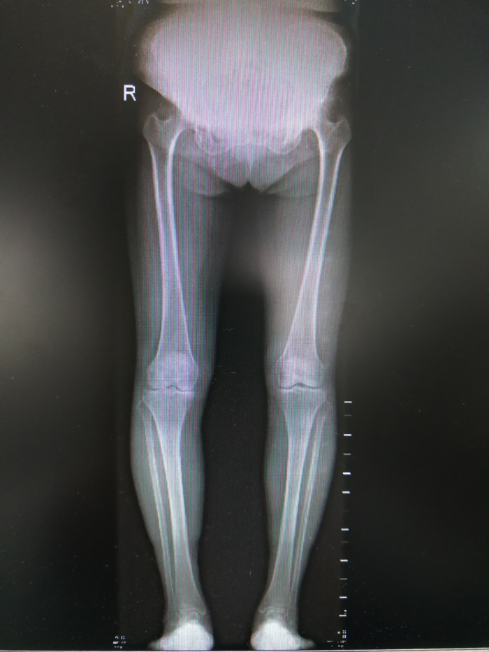
昔日曾经喜欢爬山涉水外出旅行的潘阿姨于2018年8月30日因近3年右膝关节疼痛,来我院骨科就诊,行一段时间常规治疗后,疼痛无明显缓解,她只好放弃自己外出徒步旅行的爱好,渐渐随着活动减少,体重不断增加,年底例行查体医生告诉她要警惕高血压及糖尿病的状况,嘱咐她适当注意控制体重,避免过度肥胖。后于2019年01月15日来我院3D打印中心就诊,行影像学检查,结果:双下肢欠对称、构成诸骨骨质增生,双膝关节间隙狭窄,右膝为著,关节面毛糙,关节面下骨质密度不均。医生为患者评定WOMAC骨性关节炎指数,得分为40分。

下图为患者2019年01月15日双下肢力线全长X光片

上海交通大学医学院附属第九人民医院骨科王金武教授针对患者目前病情,推荐患者佩戴3D打印个性化膝关节矫形器,并为其讲解病情及治疗效果。希望通过3D打印矫形器缓解膝关节内髁软骨的受力,减少其磨损并延缓其退变,有望解除困扰阿婆数年的膝关节疼痛。

二.CT、三维扫描:

在患者同意定制膝关节矫形器后,由专业人员通过光学扫描仪为患者进行膝关节三维扫描,通过下肢的扫描数据获得体表信息,同时进行CT检查,获得下肢三维重建模型。

下图为患者下肢三维扫描数据模型

三.计算机设计:

专业矫形器师通过患者的三维扫描数据及下肢CT数据通过计算机为患者更加精准的设计个性化膝关节矫形器。

四.3D打印制作:

工程师在矫形器设计完成后,通过部分或全部3D打印工艺制作,并完成膝关节矫形器的对线和组装。

五.适配与调整:

患者于2019年9月前往3D打印中心适配定制式增材制造膝关节矫形器。王金武教授及团队工程师、矫形器师及治疗师一同观察患者适配情况,并对矫形器做出适当调整,同时为患者详细地介绍矫形器的正确穿戴方法及注意事项。

下图为康复工程师与治疗师为患者调节矫形器的零部件,并教会患者如何正确穿戴。


患者在正确穿戴膝关节矫形器后,于门诊走廊上来回行走,不断适应矫形器的同时,也对矫形器能为下肢减轻疼痛而感到十分满意。


患者适配精准调整后佩戴矫形器拍摄X光片,做到精准矫正与治疗。患者穿戴矫形器后再行影像学检查,结果:骨盆及下肢对称,膝关节边缘骨质增生,关节间隙未见明显异常。

下图为患者穿戴矫形器的双下肢力线全长X光片



六.复诊:

患者于2019年10月再次来到3D打印中心复诊,在此次就诊中,特意邀请中国工程院院士戴尅戎院士前来指导,戴院士十分关心患者使用矫形器后的情况,详细地询问了患者目前情况,并为患者清楚地讲解病情及矫形器的相关知识。

下图为戴院士亲临现场指导并为患者讲解病情



潘阿姨在佩戴个性化膝关节矫形器4周后,WOMAC骨性关节炎指数评分表得分由治疗前的40分降为26分,疼痛明显缓解,日常生活活动能力明显提高。

下图为患者佩戴矫形器前及佩戴4周后部分WOMAC骨性关节炎指数评分表得分



潘阿姨自述目前出行及各项活动都更加方便,活动时已基本不再出现疼痛,对其生活质量明显提高。在佩戴膝关节矫形器后,潘阿姨独自旅行、爬山,对于这类运动休闲项目也不再担心出现膝关节的疼痛及不适,随活动增多,体重不再增加,再也不用为例行查体高血压及糖尿病而担忧。

下图为潘阿姨国庆期间登山游玩的照片



七.穿戴注意事项:

矫形器的正确佩戴位置影响矫形效果,应使矫形器双侧活动关节处于膝关节内外侧中间位置。为保证治疗效果,佩戴时注意绷带合适的松紧度,以确保矫形器位置稳定,同时,也切忌因佩戴过紧而影响下肢的血供。

可以通过以下几种方法自行判断下肢血供情况:

1.   佩戴时,绑带与皮肤间距离以一指为宜

2.   佩戴后若感觉佩戴支具一侧下肢发麻或发冷,提示血供出现阻碍

3.   脱去鞋袜,若佩戴支具一侧足背较另一侧足背发白,应放松绑带恢复血供

4.   按压脚趾甲约1-2秒后放松,血供正常时可见脚趾甲由白迅速变红,可通过比较双脚进行判断

触摸足背,感知动脉搏动,若血供正常则搏动明显且有力,可通过对比双脚进行判断。




0