您好! 请 登录 | 注册

科学用氟,让孩子的牙齿更坚固

2021年04月29日 8966人阅读 返回文章列表

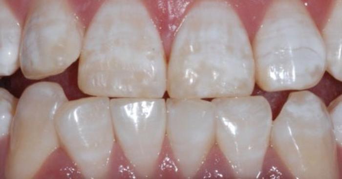
我们人体中的氟主要来自于摄入的食物和水。在牙齿生长发育和矿化时期,如果摄入过量的氟,容易患氟斑牙,其表现是牙表面的釉质出现白色的条纹或斑块,或波及整个牙面,随后可有色素的沉着而呈黄褐色,严重的甚至出现牙釉质的缺损甚至是牙冠缺损。



那么氟化物对孩子生长发育是有害的吗?其实并非如此。首先氟化物对人体健康的影响与氟的摄入量有关。在一定范围内,氟具有维护机体正常生理机能和预防疾病的作用,而超过一定剂量才会导致机体出现急慢性中毒的症状。我们建议:每公斤体重每天氟的适宜摄入量一般在0.050.07mg。其次,仅仅是在牙齿发育矿化时期,如果摄入过量的氟会对牙齿发育产生影响。在这一时期,只要科学适量用氟不仅不会导致氟斑牙的产生,还能抑制牙齿表面溶解脱矿,促进再矿化,提高牙齿的抗龋能力。

对于6岁以上的儿童和成人,我们建议每天用含氟浓度为1100mg/kg的牙膏刷牙两次,每次用量约1g(约1cm长度的牙膏量),能够达到有效的防龋效果。36岁的儿童每次牙膏的用量约为豌豆大小,同时应在家长的监督和指导下使用。出生6个月到3岁的婴幼儿在第一颗乳牙萌出后,家长应该使用含氟浓度为5001100mg/kg的含氟牙膏帮助孩子刷牙,每天2次,每次牙膏使用量为米粒大小(1520mg),刷牙后用纱布将口腔中残留的牙膏去除。 

    除此之外局部用氟的途径还有:含氟漱口液、含氟凝胶、含氟泡沫和含氟涂料等。含氟漱口水需要在医生的指导下适量使用,后三者的使用则需要专业口腔医师进行操作,否则会导致机体氟摄入量过高。特别注意的是,对于3岁以下的婴幼儿,我们不建议使用含氟泡沫、含氟凝胶和含氟漱口水。

随着儿童口腔健康科普的推广,越来越多家长知道要定期带小朋友来医院涂氟。涂氟过程中,医生会用小刷子或者棉签将含氟凝胶、涂料直接涂抹在各个牙面上,等待其凝固即可。涂布后一般要求患者最好在24小时内不进食,当天晚上不刷牙,以保证药物更好的作用于牙齿。



在儿童口腔科,相对于其他治疗,涂氟是最无创,也是最能得到孩子配合的项目。一般情况下,建议家长1年带孩子涂两次氟即可达到有效的预防效果。对于容易蛀牙的孩子,可以适当增加次数,124次。

当然家长也应该理性的看待涂氟,涂氟并不能代替日常的口腔卫生清洁,涂过氟的牙齿也会有一定的几率患蛀牙。因此,培养孩子良好的饮食习惯和口腔卫生习惯依然是实施其他预防措施的前提和基础。各位家长快行动起来吧,科学用氟,让孩子的牙齿变得更加坚固!


0