您好! 请 登录 | 注册

你听说过“杂交疗法”吗?

2023年03月11日 109人阅读 返回文章列表

王阿姨,今年70岁,平时没什么大毛病,就是走路有点喘,她觉得年纪大了没当回事。去年冬天去菜市场路上一下子感觉胸口发紧,心发慌,路边休息了好久才好点。后来她感觉越来越疲惫,走个一两百米路程要歇上好几次;喉咙像被人掐住了一样,两条腿也肿了。有天早上,她起床感觉眼前一黑,瘫坐在了地上。家人吓坏了,急忙送她到医院急诊科,当地医院立马通知病危,建议转院到上海市肺科医院肺循环科进一步抢救。

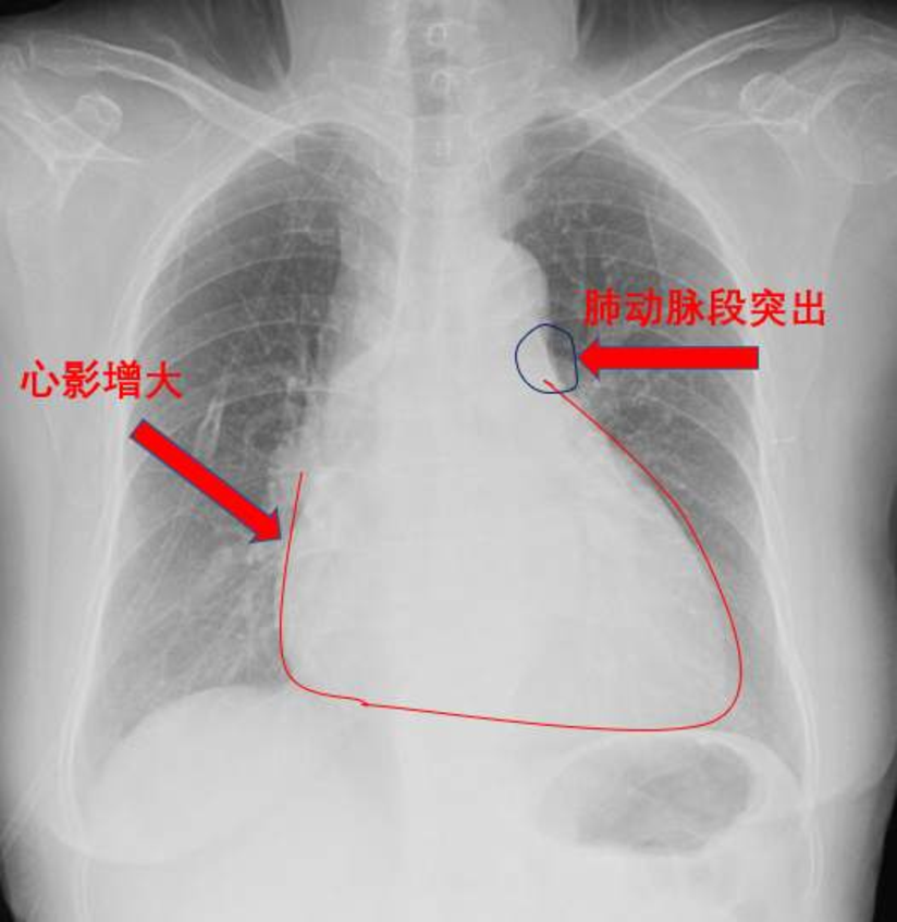
当天120急救送到了我们科室。只见王阿姨表情痛苦,口唇、指端明显紫绀,气喘得不能讲话,端坐在床上,无法躺平,双腿肿的很厉害。心率116次/分,血压90/50mmHg,血氧饱和度80-85%。急查血,氧分压49.4mmHg,心衰指标(NT-proBNP):15378pg/ml,D-二聚体:4219ng/ml,心电图示窦性心动过速。胸片提示肺动脉段突出,心影明显增大(图1)。

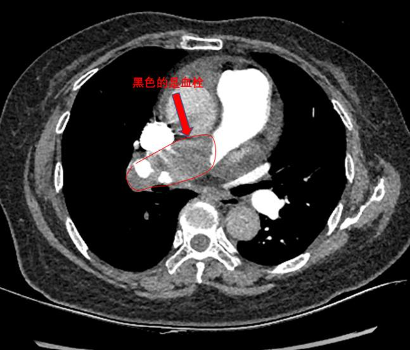
下肢静脉彩超提示双侧小腿多支静脉血管血栓形成。心超彩超示重度肺动脉高压(肺动脉收缩压101mmHg),右心明显增大,TAPSE:1.68cm,少量心包积液(图2)。肺动脉CT(CTPA)示主肺动脉及右肺动脉干明显增宽,右肺动脉干见巨大充盈缺损,叶、段肺动脉均未显影;左侧肺动脉多发分支充盈缺损(图3)。肺动脉造影提示右肺动脉叶段分支均未显影(图4)。

图1胸片

图2心超 图3

图4 左图为本患者肺动脉造影图,右图为正常肺动脉造影参考图

综合以上情况,考虑肺栓塞(考虑慢性肺血栓,本次急性发作)、慢性血栓栓塞性肺动脉高压、心力衰竭、呼吸衰竭诊断,病情危重,随时可能猝死。考虑血栓负荷大,给与肺动脉吸栓术,术后右肺动脉叶段多支显影,见下图。

图5 右肺动脉造影图(吸栓后)

吸栓后患者胸闷、气促较前有好转,考虑到重度肺动脉高压,右心功能明显减退,病情危重,与家属沟通后,予加用曲前列尼尔+利奥西呱+马西腾坦三联靶向降压,同时予强心、利尿支持治疗。3个月后,王阿姨自觉胸闷、气喘较前有好转,可以平步行走,但是6分钟步行距离仍然小于50米,氧分压为58.2mmHg,NT-proBNP降低至4465pg/ml,她自觉病情改善不满意。与王阿姨家属沟通后,6个月,每月执行一次肺动脉球囊扩张术(球囊扩张术、BPA)。最后一次球囊扩张术结束后,王阿姨已经像换了个人一样,几乎感觉不到胸闷、气喘,基本恢复了生病前的状态。用她的话说,她不仅捡回了一条命,而且还能像正常人一样做饭干家务,完全超出了自己跟家人的预期,球囊扩张术太神了。

图6 左图为宫主任正在为患者做球囊扩张术,右侧上图为球囊扩张术中图,右侧下图为球囊扩张术后图

 我们再来看看王阿姨其他的检查结果。

我们可以看到王阿姨的各项指标都明显好转了,现在她已经停用了其他靶向药物,因为她的血管病变太重了,很多已经闭塞的肺血管已经无法开通,但目前的效果已经远超过了我们的预期。后期,建议王阿姨长期服用利肺动脉高压靶向降压及抗凝治疗,定期随访就可以了。如果定期随访,维持目前治疗,她的生活基本不受影响。


由王阿姨及我们中心(上海市肺科医院肺循环科团队)临床上更多类似的例子可以看到,慢性血栓栓塞性肺动脉高压的靶向降压与球囊扩张术的联合治疗非常有效。这次分享这个病例,也是希望广大病友们能够对这类疾病有更多的认识,一定要到专业的肺动脉高压中心就诊,能得到及时有效的治疗。

0