您好! 请 登录 | 注册

声门下血管瘤

2023年01月07日 285人阅读 返回文章列表

婴幼儿声门下血管瘤(subglottichemangioma,SGH)是一种并非少见的喉部疾病,约占先天性喉部疾病的1.5%[1]。该病可引起声门下狭窄、气道阻塞,可引起呼吸窘迫甚至死亡,及早诊断并治疗至关重要[2]。2008年Léauté-Labrèze等[3]偶然发现普萘洛尔可成功治愈婴幼儿皮肤血管瘤,随后口服普萘洛尔治疗血管瘤的方法被广泛使用。2009年Denoyelle等[4]第一次报道普萘洛尔可治愈SGH。SGH由于位置特殊、深在,临床上开放性手术、气管切开、CO2激光、局部注射硬化剂等方法,手术难度高,术后疤痕形成继发喉气管狭窄风险大,这些治疗方法目前仅用于普萘洛尔治疗无效或严重威胁生命的患儿[5-6]。目前关于普萘洛尔治疗SGH报道仍然很少,仅见于一些零星的病例报道。因此,本文对我院使用普萘洛尔治疗SGH并已停药的13例患儿进行研究分析,现报道如下。
1资料与方法
1.1资料2015年11月~2020年3月我院确诊SGH并口服普萘洛尔治疗的患儿,收集以下资料:一般情况:性别、起病年龄、确诊年龄、治疗终止年龄、治疗时间、临床资料:临床表现、误诊漏诊史、SGH位置、合并其他部位血管瘤情况、随访情况。见表1。13例SGH患儿,其中男5例,女8例;起病年龄1天~8月,中位数起病年龄1月;确诊年龄1.3月~13.2月,中位数确诊年龄3月。SGH位于左侧5例,右侧8例。临床表现喉喘鸣13例,呼吸窘迫6例,犬吠样咳嗽5例,喂养困难4例,三凹征4例,紫绀2例,声嘶1例。12例有过误诊史,分别为支气管炎、肺炎10例,喉软化3例,哮喘1例,喉肿物1例。合并其它一个或多个部位血管瘤5例,分别为背部、双手、肩背部、双臂、臀部、颈部、舌、眼睑等。13例患儿均行电子喉镜检查,10例行颈部增强CT检查。2例全麻下行喉探查术。
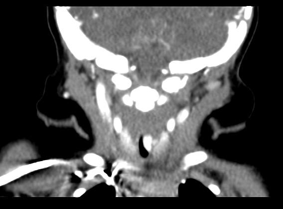
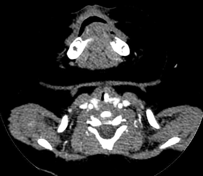
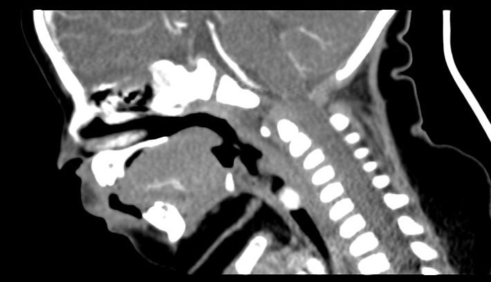
1.2诊断标准与方法对于可疑SGH患儿均需行纤维喉镜检查,声门下单侧或双侧局部隆起,表面光滑、暗红色,阻塞声门下气道,则高度怀疑SGH(图1)。颈部增强CT见声门下局部软组织增厚,气道变窄,增强扫描强化明显(图2a,b,c),诊断明确后给药。
1.3用药方案用药前需完善血糖、血压、生化、心电图、心脏超声等检查,排除禁忌后收住院,心电监测下给药,普萘洛尔起始剂量为1mg/kg·d,分3次口服。如无异常,第2天加量至1.5mg/kg·d,并维持该剂量出院继续居家服药,门诊定期随访内镜、血糖、血压、心电图等,剂量不再增加,直至治疗结束。当患儿无喉喘鸣等临床症状,内镜检查或者颈部增强CT显示声门下血管瘤消失,可以停药。(见图1b)。
2结果
随访13例患儿全部治愈。治疗结束年龄9月~38月,平均(19.3±7.7)月;治疗时间6~21.3月,平均(13.3±4.9)月。病例3口服普萘洛尔治疗,第4天开始出现呼吸困难、喉喘鸣,逐渐加重并于第8天气管插管,继续口服普萘洛尔治疗,第13天拔管。病例9口服普萘洛尔1年后停药,呼吸困难症状渐进性加重,来我院复诊,喉梗阻II度,给予收入院并心电监测下给药,次日呼吸困难即有明显改善,出院后居家继续治疗6个月,治愈;病例10于外院42天、4月分别气管插管,5月气管切开,28月我科确诊后给药,30.3月拔管;病例13入ICU后插管,插管第3天确诊后给药,第8天拔管。
3讨论
婴幼儿血管瘤是胚胎时期血管形成过程中出现的一种先天性的发育异常,发病率约4-5%[7],但是SGH罕见,如诊治不及时,病死率可达50%[8-10]。SGH女性发病率高于男性,约73%为女性[6,11],左侧好发[11-12],约50%的患儿伴发其它部位皮肤血管瘤[9,13]。本研究,男性5例,女性8例,男女比例1:1.6。SGH位于左侧5例,右侧8例,合并其他部位血管瘤占38.5%(5/13),与文献报道有差异,可能与样本量太小有关。血管瘤一般在2-6个月进入快速增殖期,1岁左右进入相对稳定期,18个月后进入自然消退期[5]。80%-90%的SGH患儿,在6月龄前出现临床症状,平均确诊年龄为2.56个月[6,13]。在本研究中,起病年龄1天~8月,中位数起病年龄1个月,确诊年龄1.3月~13.2月,中位数确诊年龄3个月,与文献报道基本一致。临床表现常见的有喉喘鸣、犬吠样咳嗽、喂养困难和呼吸窘迫等[6,12],其中喉喘鸣是最常见的临床症状[14]。当婴儿试图协调吸吮和呼吸时,喂养可能会受到影响,声嘶很少见。临床症状常常在合并上呼吸道感染时加重,就医时很容易被误诊为支气管炎、肺炎、喉软化、咳嗽等[12],此时给予抗炎、激素、雾化治疗后症状减轻,使得SGH诊断更加困难[9]。本组患儿,临床表现喉喘鸣100%,呼吸窘迫、三凹征和紫绀53.8%(7/13),犬吠样咳嗽38.5%(5/13),喂养困难31.1%(4/13),声嘶7.8%(1/13)。被误诊为支气管炎、肺炎10例(76.9%),喉软化(23.1))3例。与文献报道一致。内镜检查是SGH诊断金标准[2],临床工作中,常常同时结合颈部增强CT/MRI等检查,通常不需要病理活检[8-9]。血管瘤内镜下特征是声门下表面光滑、质软、圆形、血管样粘膜下病变[8]。颈部增强CT见声门下局部软组织增厚,相应气道受阻变窄,增强扫描强化明显。本组患儿均行电子喉镜检查,76.9%(10/13)行颈部增强CT检查,2例患儿因用药后呼吸困难加重,不能配合检查,行全麻下内镜检查。
SGH的治疗方法有全身/局部激素、CO2激光、博来霉素、气管切开、开放性手术等[8,12-13]。激素治疗仅对30%-60%的患儿敏感,长期激素治疗还能造成10%-20%的不良反应,如满月脸、多毛等库欣综合征症状,向心性肥胖、免疫力下降等[6,12-13]。博来霉素等硬化剂瘤内注射治疗,常常需要在全麻下进行,需要多次注射,不能立即解除气道梗阻,且容易造成局部气道水肿明显,术后常常需要进ICU病房监护,目前应用较少[6,13]。使用CO2激光治疗具有瘢痕组织形成的风险并可能继发声门下狭窄[10]。1940年Suehs等[15]首先将气管切开术用于SGH的治疗,然而术后容易出现感染、气切口肉芽增生、护理困难、继发喉气管狭窄等并发症,目前此方法少有采纳。颈部径路完全切除血管瘤被认为是一种有效的手术方式,虽然手术效果好,但是由于其创伤较大,手术难度高,目前临床开展报道很少[16]。自2008年Léauté-Labrèze等[3]无意中发现普萘洛尔对婴幼儿血管瘤疗效显著后,耳鼻咽喉科医师开始逐渐将之用于SGH的治疗并取得了良好的治疗效果,目前普萘洛尔治疗婴幼儿SGH被推荐位为一线治疗方案[10,13,16-17]。普萘洛尔治疗血管瘤的副作用发生率较低,最常见的不良反应为低血糖、心率减慢、低血压等,严重并发症很少发生[13]。用药前需要向家长告知,尽量在进食后服药,并且初始用药需在心电监测下进行[16]。本组患儿,用药前均完善血糖、肝肾功能、心电图、心脏超声等检查,排除禁忌后收住院,心电监测下给药。病例3口服普萘洛尔治疗,第4天开始出现呼吸困难、喉喘鸣,逐渐加重并于第8天气管插管,继续口服普萘洛尔治疗,第13天拔管。其余病例,用药过程中未出现明显副反应。其中,病例10口服普萘洛尔2月后拔除气管套管,病例13给药5天后拔除气管插管。尽管普萘洛尔治疗SGH越来越得到认可,但是截至目前仍然没有诊疗指南,尤其针对普萘洛尔的剂量和用药时间[6],这可能主要是由于SGH罕见,缺乏随机临床试验[13]。通常推荐剂量为1-3mg/kg·d,分三次给药,从较低剂量开始,通过心率、血压和血糖监测逐渐增加剂量[12,18]。HardisonS等[13]认为,用于治疗SGH的儿童普萘洛尔剂量远低于用于高血压(1-5mg/kg·d)或四联症(4-8mg/kg·d)等心脏病的剂量,推荐3mg/kg·d作为常规维持剂量。本组患儿,普萘洛尔起始剂量为1mg/kg·d,分3次口服。如无异常,第2天加量至1.5mg/kg·d,并维持该剂量出院继续居家服药,然而并没有因体重增长而增加药量,而是继续诊断时维持起始剂量(1.5mg/kg体重),这就产生了与持续剂量减少同等的效果。我们的结果证实了使用最小有效剂量的普萘洛尔治疗SGH的高效性。SchwartzT[6]等研究发现,复发时平均年龄在19月龄。鉴于血管瘤的生长周期特性,结合目前的研究综述,HardisonS等[17]建议治疗应至少持续到12月龄,并可能持续18月龄[13]。本组患儿,治疗时间平均13.3月,治疗结束年龄平均19.3个月,病例9口服普萘洛尔1年后停药,此时14.4月,随后2周内呼吸困难、喉喘鸣渐进性加重,收住院,心电监测下给药,次日喉喘鸣即改善,继续治疗6个月停药,随访未在复发,此时21月龄。结合本组患儿停药时年龄超过2岁仅2例,我们第一次提出用药至2岁停药可能是最佳时机。AndersenIG等发现[19],随着年龄从2个月到18个月,患儿对普萘洛尔的反应有变差的趋势。所以一旦确诊,应该尽快治疗[10]。普萘洛尔治疗声门下血管瘤的具体作用机制尚不完全清楚,其理论包括血管收缩、生长因子下调或细胞凋亡介导等[2,12],仍需要进一步研究,方能更好的服务、指导于临床。
综上所述,临床工作中遇到2岁以内的婴幼儿喉喘鸣经过常规治疗效果不佳或者病情反复,应考虑到SGH的可能。纤维喉镜检查并结合颈部增强CT检查值得推荐。口服普萘洛尔治疗SGH安全有效,及时诊断并给药是SGH治疗成功的关键,同时需要加强随访,建议用药至19月龄以上,2岁龄停药可能是最佳时机。

颈部增强CT:左侧声门下局部软组织增厚,向气道内突起,强化明显。

a.治疗前见声门下左侧壁红色、光滑隆起。  

b:口服普萘洛尔治疗1年后复查喉镜,声门下血管瘤消失。

0