高位颈椎病的前路微创手术
2023年01月09日 71人阅读 返回文章列表
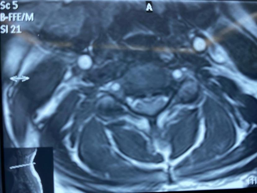
患者,男,30多岁,四肢麻木有7年了,进行性加重,一直没能明确诊断,近两个月来走路很吃力,双下肢紧绷感,走路摇摇晃晃,一不小心就摔跤,就诊我门诊后经磁共振检查示:高位颈椎病(颈3-4椎间盘突出、脊髓严重受压变细、脊髓变性),采用前路ACDF微创术式,术程1小时、出血约20ml、切口长约2.5cm,术后第一天感觉到双手轻松了很多,术后第二天正常下地走路,对比了术前术后走路的感觉,明显感觉到腿脚利索有力了,走路较术前稳当很多,术后第三天出院。温馨提醒:脊髓损伤严重、脊髓变性大部分是不可逆的,颈椎病发展到踩棉花感、走路不稳等情况请尽早就医,以免耽误病情。颈椎磁共振示:高位颈椎间盘突出,脊髓受压严重,脊髓变性
颈椎磁共振平扫示:脊髓神经受压严重,颈椎管狭窄
颈椎X线示:由于手臂肩膀疼痛,头偏向一侧
术中透视手术减压很彻底,内固定位置良好!术后第二天早上下地走路,较术前有力、稳当,矫健了很多,术后第三天出院,希望经过后期的康复训练,四肢的功能能恢复正常。
浙公网安备
33010902000463号