一例巨大的骶管囊肿
2017年08月30日 9605人阅读 返回文章列表
这位患者的骶管囊肿非常巨大

前磁共振上可见,囊肿从骶1下段一直延伸到骶5,严重侵袭了骶骨。骶尾神经根损害很严重,大小便障碍已经非常严重。还有明显的骶尾会阴部疼痛。磁共振上显示了漏管的位置。如果不封堵漏管,这么巨大的骶管囊肿是无法治愈的。

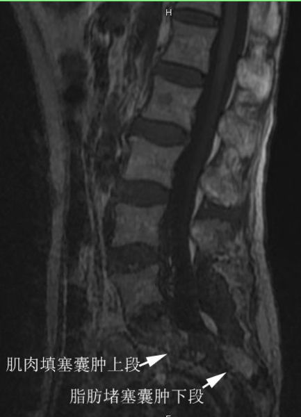
术后磁共振T2相显示,漏管已经被肌肉片从上向下的封堵成功,在此基础上,用肌肉(T2显示为灰黑色)填塞了囊肿的上段,用脂肪(T2显示为白色)填塞了囊肿的下段。囊肿内完全没有脑脊液了。

术后磁共振T1相显示,囊肿已经完全封堵了,肌肉(T1显示为灰色)填塞了囊肿的上段,用脂肪(T1显示为白色)填塞了囊肿的下段。囊肿内完全没有脑脊液了。
该患者术后骶尾会阴部疼痛已消失,但大小便障碍目前没有明显改善。说明骶尾部神经根的功能一旦丧失,很难挽回,因此如果骶管囊肿患者出现大小便障碍(便秘、尿频、尿裤等)不宜久拖。
浙公网安备
33010902000463号