您好! 请 登录 | 注册

得了膀胱癌一定要切除膀胱吗?叶定伟教授的保膀胱病例介绍

2022年05月01日 6991人阅读 返回文章列表

膀胱癌治疗中常用手段为根治性膀胱切除术,但术后的储尿和排尿问题严重困扰着患者,对患者的生活质量和正常社交有极大影响。因此,保留膀胱的治疗方案显得尤为重要,是目前学界探索和讨论的热点。近日,由复旦大学附属肿瘤医院叶定伟教授牵头发起、经全国泌尿肿瘤专家共同深入讨论制定的《中国膀胱癌保膀胱治疗多学科诊治协作共识》在《中华肿瘤杂志》上发表,该共识对肌层浸润性膀胱癌(MIBC)和非肌层浸润性膀胱癌(NMIBC)保膀胱治疗的相关临床证据进行了梳理和总结,对膀胱癌保膀胱的诊疗路径和方案给出了推荐。叶定伟教授是该共识的制定者和通讯作者,领衔的膀胱癌多学科团队多年来一直致力于改善膀胱癌患者无进展生存和总生存的同时,改善患者生活质量,在保膀胱治疗方面积累了丰富的经验。

王先生今年50岁,因为血尿去医院就诊,经尿道膀胱肿瘤电切术后的病理显示为肌层浸润性膀胱癌,辗转多家医院均建议行全膀胱切除手术。王先生还年轻,还在上班,无法接受切除膀胱的方案。他慕名来到叶定伟教授的门诊,想寻求能否在控制肿瘤的同时保留膀胱的治疗方案。

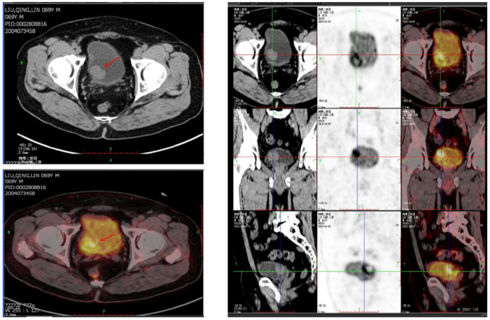
检查后核磁共振显示: 膀胱右后壁可见不规则肿物,约30*20mm大小,浸润肌层可能性大,盆腔未见肿大淋巴结。全身PET-CT显示:1.膀胱肿瘤电切术后改变,膀胱内不规则糖代谢显著增高的高密度影,考虑肿瘤残留。 

 

叶定伟教授膀胱癌多学科团队经过充分的评估和讨论之后,确定王先生的临床诊断是膀胱高级别肌层浸润性尿路上皮癌、肿瘤分期:cT2N0M0。团队制定了个体化的治疗方案,建议王先生首先做最大化的经尿道膀胱肿瘤电切术,将膀胱内的病灶完全切除。手术后王先生开始接受吉西他滨加顺铂化疗联合放疗的治疗方案

TURBT+化疗+放疗的经典三联保膀胱综合治疗方案(TMT)之后,王先生的复查结果显示核磁共振: 膀胱充盈良好,膀胱壁均匀稍增厚。膀胱右后壁见宽基底与膀胱壁相连并凸入腔内结节影,12*7mm大小增强扫描明显强化。膀胱周围及盆腔淋巴结无肿大膀胱镜示完全缓解,目前王先生已经16个月没有复发,一般情况好,生活质量高,已经恢复了正常的工作和生活。

 

 

目前全膀胱切除手术是可手术的肌层浸润性膀胱癌(MIBC)和卡介苗(BCG)治疗失败的高危非肌层浸润性膀胱癌(NMIBC)的标准治疗,另一方面保膀胱治疗在一定程度上平衡了肿瘤控制和生活质量,存在极大的临床需求。经尿道膀胱肿瘤电切术(TURBT)、膀胱部分切除术(PC)、化疗、放疗等都是保膀胱治疗的主要手段,已报道的荟萃分析和匹配队列研究显示,TURBT+化疗+放疗的经典三联保膀胱综合治疗方案(TMT)的有效性并不劣于全膀胱切除手术,两者10年总生存率和疾病特异性生存率相当;同时,使用TMT方案的患者生活质量更高,精神、心理、社会功能也得到了更好的维护。

然而,从国内外的应用现状来看,保膀胱综合治疗在临床实践中仍面临诸多挑战和争议,如缺乏临床试验数据支持、临床实际操作层面未按照标准的保膀胱路径实施、缺乏多学科诊疗(MDT)团队的紧密协作和转诊以及患者对保膀胱治疗认知不足、治疗的依从性不佳等,因此国内MIBC保膀胱比例要明显低于国外:国外约一半的患者接受了保留膀胱相关的治疗,而国内的保膀胱治疗患者比例则不足1/3(图1)。

 

随着免疫治疗等新兴治疗手段的出现,不同的药物组合排兵布阵聚焦保膀胱综合治疗让其再度成为热点。目前国内对保膀胱治疗缺乏规范性指导建议,规范化保膀胱治疗路径是必然趋势。复旦大学附属肿瘤医院的膀胱癌多学科团队专家结合现有的循证医学证据及国内膀胱癌保膀胱治疗的临床实践经验制定了肌层浸润性膀胱癌患者的保膀胱治疗指南。

以多学科诊疗模式为基础,在保膀胱多学科诊疗的组织架构和工作流程、保膀胱治疗的患者选择、治疗方案、随访监测以及保膀胱治疗复发后的方案选择等方面具有丰富的经验


0