您好! 请 登录 | 注册

多生牙(牙瘤)致乳牙阻生一例

2018年09月17日 9428人阅读 返回文章列表

江苏省口腔医院 儿童牙科   张耀国

多生牙(牙瘤)致恒牙阻生,尤其是中切牙阻生的病例很常见,请参看我的科普文章:说说多生牙的那些事、教你几招及时发现门牙萌出异常,等。但是多生牙(牙瘤)导致乳牙阻生非常罕见。本文给您介绍一例。
患儿 女 六岁,家长偶然发现孩子少一颗乳牙,带来就诊。
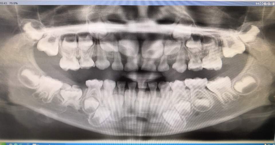
临床检查:患儿发育正常,上颌10颗乳牙正常萌出,下颌9颗乳牙正常萌出,右下第二乳磨牙未见萌出,对应区域牙龈没有隆起。全景片及牙片见下图。
X线片示:右下第二乳磨牙阻生,合面见两个高度钙化物影像,右下第二双尖牙缺失。
全景片示:右下第二乳磨牙阻生,合面钙化物影像

根尖片示:右下第二乳磨牙阻生,合面钙化物影像

手术取出的钙化物是三颗牙齿

处理:局部麻醉下,切开牙龈,翻瓣,取出钙化物,钙化物是三颗牙齿,见附图
嘱观察3个月视萌出情况再做处理。

讨论:1.多生牙(牙瘤)致恒牙阻生很常见,致乳牙阻生很少见。
2.这类牙齿发育异常如何及时发现和治疗
带孩子定期进行口腔检查,至少半年一次。家长也要学习一些牙齿生长发育的基本常识(参看我的有关科普),如几岁长牙,几岁换牙,乳牙几颗,恒牙几颗,萌出对称规律,时间顺序规律等等。
3.该患儿阻生的第二乳磨牙本该在2岁半左右就萌出,对称的左边已萌出,但该乳磨牙阻生没能被及时发现,直到六岁半才被家长发现,以至于被牙瘤长期压迫,失去萌出机会,造成阻生。
如果在2岁半左右发现牙瘤,及时治疗,取出牙瘤,也许这颗乳牙可以正常萌出。

再次提醒家长要带孩子进行定期口腔检查!
该患儿同时伴有右下第二双尖牙缺失,本文不予讨论。

1