您好! 请 登录 | 注册

突发脖子疼和腰腿疼,不要忘了看看神经外科/脑血管病外科哦~~~

2022年09月07日 781人阅读 返回文章列表

突发脖子疼和腰腿疼,不要忘了看看神经外科/脑血管病外科哦~~~
最近,春秋之交,凉意渐浓~~~
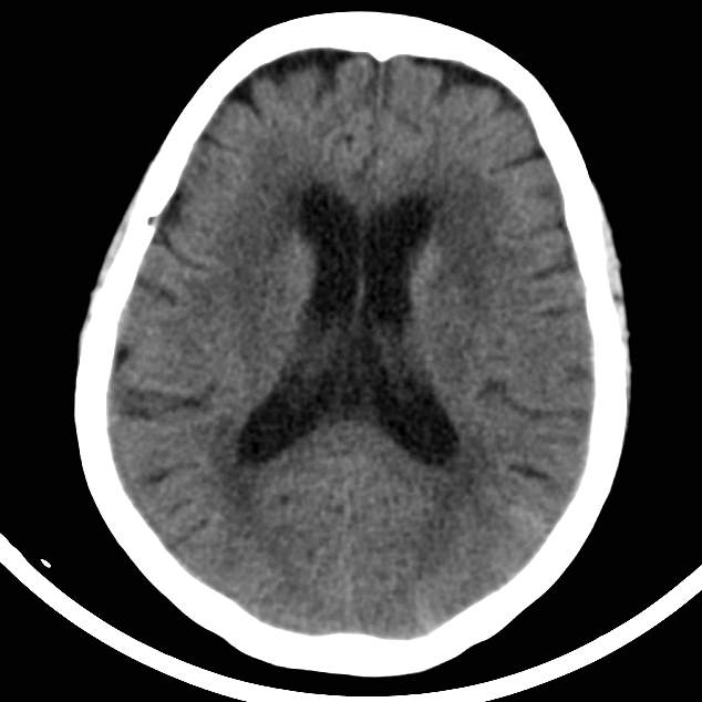
一位76岁的老人家,说最近10天一直脖子疼和腰疼,休息后也无明显缓解。人年龄大了,这个脖子和腰部啊,在气候交替的季节,有点疼痛似乎也是司空见惯的事情,可能受凉了呗。近10天来,患者也在医院几个科室之间辗转,后来拍了一张脑CT,颅内隐约在一个脑沟内有点淡淡的、若有若无的高密度影,不仔细看,都看不到的那种若隐若现~~~,你说是颅内出血或者蛛网膜下腔出血吧,老人家也没有说过头痛啊,这主诉和查体似乎也不太支持出血的诊断~~~;你说是皮层静脉血栓吧,后续的窦和深静脉也没有看到高密度啊,也不太支持血栓~~~,这无缘无故的一个脑沟的高密度似乎也不能空穴来风吧?
古往今来,大意失荆州。出于警惕和职业的敏感性,还是赶紧做个腰穿吧,至少要知道是出血&血栓&正常吧!不做不知道,一做吓一跳,妥妥的血性脑脊液啊………,关键时候,还是腰穿靠谱!!!
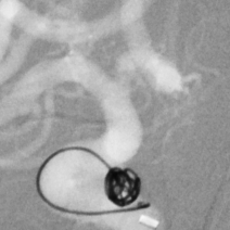
啥也别说了,赶紧去做脑血管造影备治疗吧,结果发现颅内一个炸弹💣(颅内动脉瘤),而且长在一个不太容易破裂的部位(床突旁),形状也不太规则,上面还有一个细长的小泡(破裂点),破裂机制:这个破裂小口,多次小量出血,通过反复的脑脊液循环大部集聚到了腰大池,出现了颅内几乎看不到啥异常而腰大池内为血性不凝脑脊液的巨大反差,血液在蛛网膜下腔进一步刺激神经根,才导致了脖子疼和腰疼~~~,但是,这是脑动脉瘤反反复复破裂出血导致的哦,细思极恐………
这样的脖子疼和腰疼,如果单纯仅仅在推拿室、针灸科、骨科、脊柱外科、疼痛科等科室的诊治的话,后面会不会就会很被动?动脉瘤一旦一次破裂出血较多,重者可能立即死亡,想想真的是很吓人哈~~~
各位看官,以后碰到脖子疼和腰疼,记得也要去神经外科/脑血管病外科做个脑CT哈,必要时进一步做个腰穿~~~

这个患者是幸运的,毕竟最后找到了颅内潜伏的炸弹,微创手术顺利拆除,消除了再次出血的风险。

0