您好! 请 登录 | 注册

经鼻蝶微创切除垂体瘤-让左眼失明患者重返光明

2019年07月15日 8468人阅读 返回文章列表

垂体瘤发病率逐年升高,且无性别、年龄差异,年轻患者以阳痿早泄、不孕不孕、毕竟泌乳为主要表现,老年患者多以视力视野障碍,视物模糊前来就诊。部分患者表现为向心性肥胖、甲亢、肢端肥大等内分泌长期紊乱导致的临床症状。对于老年人,多数以视野缺损为主,视力障碍不明显,感觉敏感性减退,加之老年人“老花眼”疾病较多,纵使出现视物模糊,也常常就诊于眼科,往往会忽略该疾病的诊断。复旦大学附属肿瘤医院神经外科高阳

该患者高XX,老年男性,因视物模糊1个月前来我可就诊。患者曾于外院眼科就诊,诊断为眼部疾病给予营养神经等对症治疗,未见好转。患者病情逐渐加重,左眼接近失明。辗转来到我院神经外科(原脑脊柱外科)就诊.

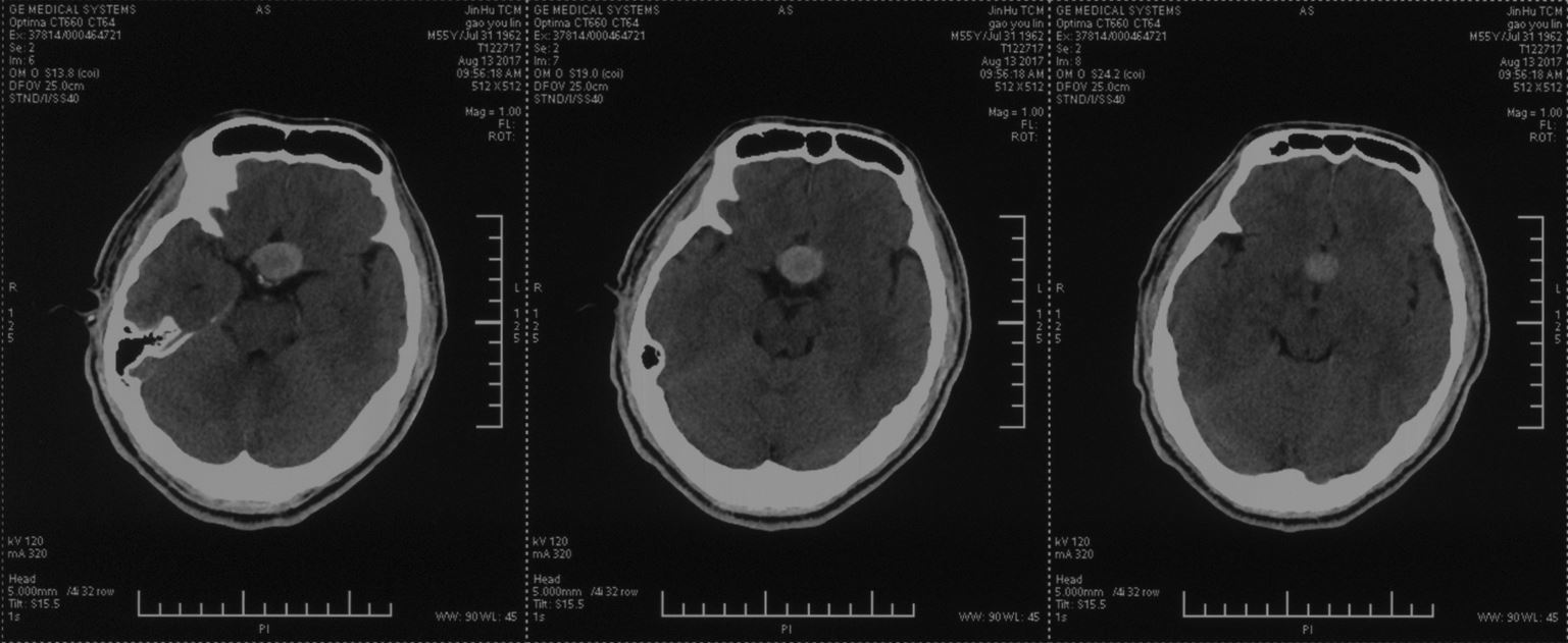
头颅CT示:鞍区占位性病变,局部高密度影,考虑垂体瘤卒中。

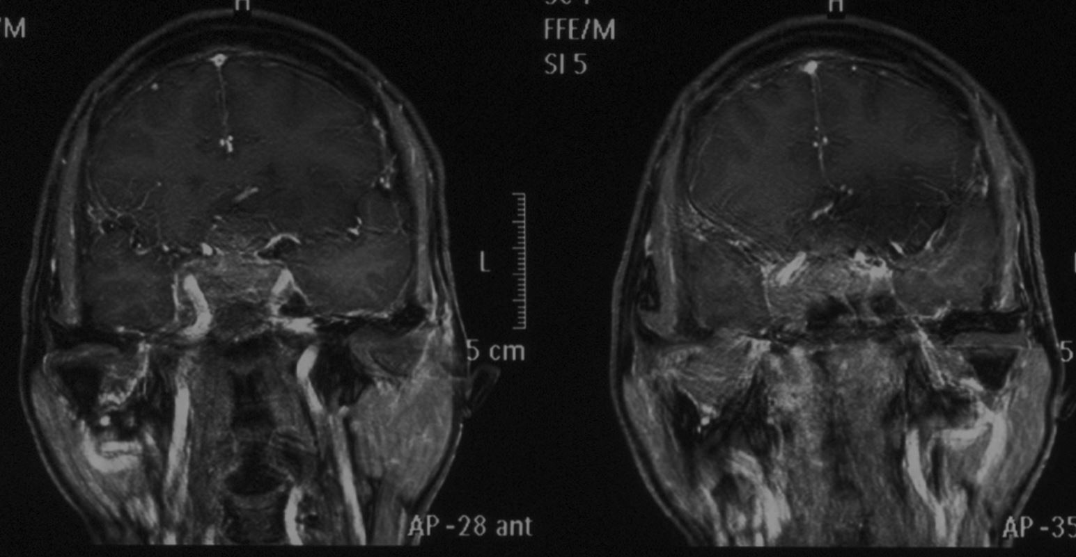
头颅MRI示:鞍区占位性病变,肿瘤大小约2*2.8cm,T1等信号,T2混杂信号,增强后部分强化。肿瘤刚突破鞍底向蝶窦生长,向上突破鞍隔向上生长,视交叉明显受压,左侧较为严重。肿瘤向两侧生长,海绵窦及颈内动脉受侵犯。垂体瘤卒中可能大。

术前激素检查:IGF-1、GH升高明显。患者入院后明确诊断,排除手术禁忌,经科室讨论,经诊断为垂体瘤卒中,手术指正明确,拟全麻下经鼻蝶行肿瘤切除术。

术中见灰白色肿瘤组织,局部可见暗褐色陈旧性出血,肿瘤全切,鞍隔明显塌陷,无脑脊液漏。

手术顺利,术后复查如下:

术后复查视力视野检查示:视野较术前明显改善。

术后病理提示:GH型垂体腺瘤。

术后第一天:IGF-1、GH恢复到正常。

术后头颅CT示:鞍区干净无出血。

术后患者恢复顺利,视野改善明显,视力无明显变化。患者精神状态较术前明显改善:“是医师帮我从黑暗中解脱出来,重见光明,感谢医生给我发现美的眼睛!”。

目前该患者密切随访中。

总结,对于垂体肿瘤造成的视觉障碍,肿瘤体积越小,症状持续时间越短,术前损害程度越轻,术后恢复效果越好。这就需要广大患者提高自身认识,早发现、早诊断、早治疗

因此对于有视力下降、视野缺损(尤其是双颞侧偏盲)的患者,除了排除眼部疾病(眼睑病、泪器病、结膜炎、角膜炎、晶状体浑浊、玻璃体病、青光眼、白内障、视网膜脱落、近视、弱视等)外,要及时神经外科就诊,以免耽误病情,也许就是垂体瘤压迫视神经导致的视物模糊。

垂体瘤科普文章:

垂体瘤是什么?垂体瘤的症状和治疗

垂体瘤宣教十问

垂体瘤惹的祸

垂体瘤是否容易复发?

垂体瘤影响眼睛看东西吗?

《泌乳素型垂体瘤与怀孕》一直困扰着人们的话题!

垂体瘤的药物治疗

垂体瘤术后有哪些注意事项?

垂体瘤术后为何要用激素药物?要终身服用吗?

垂体瘤卒中要及时治疗

垂体瘤手术出现脑脊液漏该如何处理?

难治性垂体瘤的诊疗进展

GH型垂体腺瘤/肢端肥大症的诊断和治疗

垂体瘤有哪些分类方法?

垂体柄效应-让泌乳素水平千变万化

垂体瘤微创手术治疗肢端肥大症-上海市肿瘤医院神经外科

眼睛是心灵的窗户—影响垂体瘤患者视觉恢复的因素有哪些?

神经内镜下经单鼻孔垂体瘤切除术-让患者重见光明

神经内镜下经单鼻孔微创切除垂体瘤-上海肿瘤医院脑脊柱外科

高龄患者得了垂体瘤还能手术吗?

复旦大学附属肿瘤医院神经外科 脊柱肿瘤诊治中心 为您的健康保驾护航!

当前浏览器不支持播放视频,建议使用火狐或者谷歌浏览器

0