下肢动脉血管堵掉了,很多患者和家属对植入支架有所忌讳或者质疑。
目前我们科有很多针对下肢动脉堵塞的治疗方法,激光减容,斑块旋切,溶栓,吸栓,药物球囊,可吸收支架,您或者家人如果有血管方面的问题可以咨询我。
今天展示的病例是,老年男性,左下肢大腿血管堵掉了,下肢动脉cta的片子如下
患者和家属对于植入支架比较犹豫,要求尽量减少支架的植入。
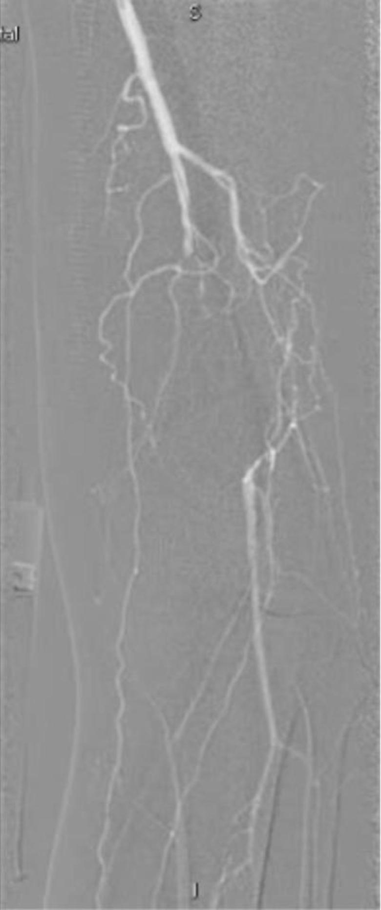
下面是术中dsa造影血管堵塞的情况

我们采用先进的激光消融技术,如下

辅以药物球囊治疗,延长血管的通畅率
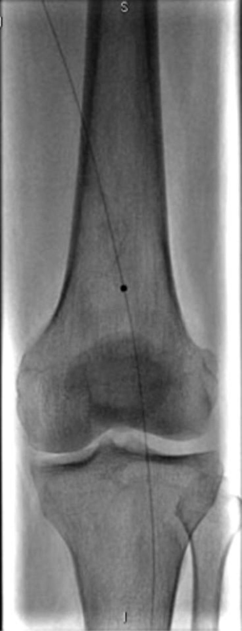
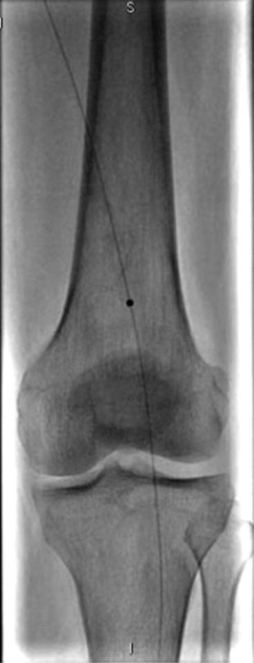
下面是药物球囊扩张

最后的结果令人满意,而且达到了患者的诉求,尽量不植入支架,来看看最后的造影结果吧