您好! 请 登录 | 注册

一个有尖角的肺磨玻璃结节

2022年07月24日 3954人阅读 返回文章列表

今年春夏之交,一个苏南地区的女病人来挂我星期五上午的门诊。她请我看南京市鼓楼医院的CT。我没有看鼓楼医院的CT胶片。我用我的手机扫描鼓楼医院CT报告的二*维*码,打开电子影像,在手机上上研究了一会儿薄层CT

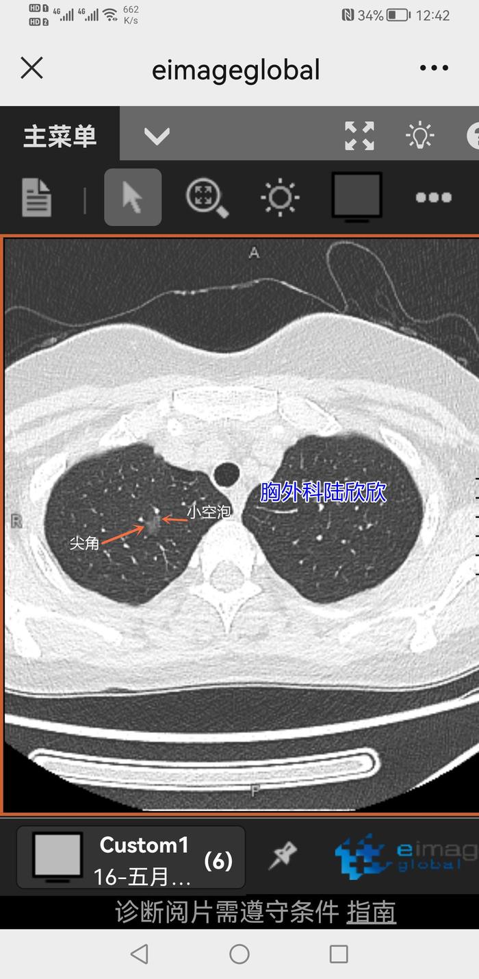
我对病人说:“你的右上肺有一个磨玻璃结节。最大径大约是10毫米。形状不是规则的球形,不是椭圆形。边界有点不规则。局部突起像是一个尖角。”我把手机上磨玻璃结节的尖角指给病人看。

我接着对病人说:“你的右上肺的磨玻璃结节,里面有两个发暗的地方,是两个小空泡,一个空泡明显一些,另外一个不明显。”我把手机上磨玻璃结节的小空泡指给病人看。

最后,我判断:“这个磨玻璃结节形状不规则,局部突起像是一个尖角,里面有两个发暗的小空泡,基本上像是恶性的磨玻璃结节。尽管这个磨玻璃结节看起来比较淡。但是应该已经突破原位癌的阶段,达到微小浸润性腺癌的阶段。”

下面是我那天门诊手机上的截图:

上图可能保存放大后看更清晰。

门诊病历如下图:

当时没有床位,病人等待两周以后住院,做了胸腔镜微创手术。

术后的病理果然是微小浸润性腺癌

病人出院时非常感慨,没有想到当初门诊几分钟时间,我对结节的病理估测居然和术后的病理一模一样。


0