您好! 请 登录 | 注册

颅内动脉瘤,为啥午夜容易引爆?

2023年03月20日 12人阅读 返回文章列表

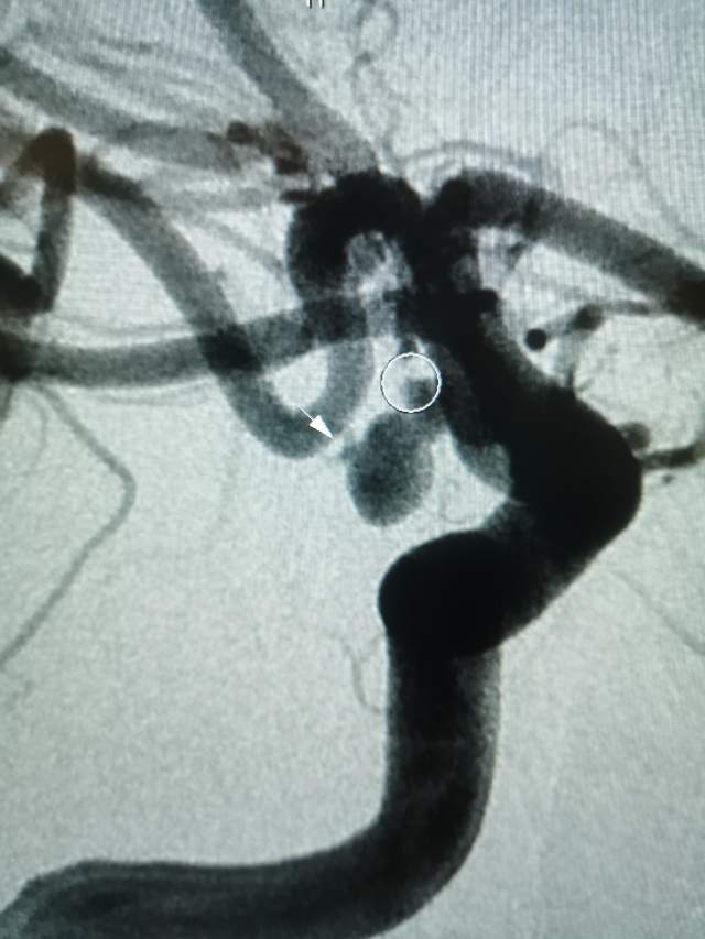
午夜,54岁中年女性,颅内多发动脉瘤破裂出血 ,一个左侧A1动脉瘤,一个左侧胚胎型大脑后动脉瘤(责任动脉瘤;起始部和远端上壁各见一个小泡,后面这个为破裂点;起始部累及粗大胚胎型大脑后动脉),
急诊绿色通道给予责任动脉瘤栓塞,远端破裂小泡完全不显影,近端瘤颈处小泡也基本不显影,胚胎性大脑后动脉保留良好。

希望患者尽快度过这个黎明前的黑夜,迎接早晨的朝阳~~~

0